ام آر آی از زانو با استفاده از آهنرباهای قوی تصاویری از مفصل، عضلات و بافت های زانو ایجاد می کند. این نوع تصویربرداری از اشعه ایکس استفاده نمی کند.
در برخی ام آر آی ها از رنگی مخصوص (داروی کنتراست) استفاده می کنند. در اکثر مواقع این رنگ مخصوص قبل از تصویربرداری از طریق رگی در دست یا بازوی شما تزریق می شود. این رنگ مخصوص به رادیولوژیست کمک می کند برخی از قسمت ها با وضوح بیشتری دیده شود.
چرا ام آر آی از زانو تجویز می شود؟
اگر شما متبلا به موارد زیر هستید پزشک شما ممکن است ام آر آی از زانو تجویز کند:
- یافتن موارد غیر عادی در رادیولوژی زانو یا تصویربرداری استخوان
- احساس جابجایی و حرکت در مفصل زانو
- تجمع مایعات مفصلی پشت زانو (کیست بیکر)
- تجمع مایعات در مفصل زانو
- عفونت مفصل زانو
- صدمه به کشکک
- درد زانو به همراه تب
- قفل کردن زانو هنگام راه رفتن یا حرکت
- نشانه های آسیب به عضله، غضروف یا رباط های زانو
- درد زانویی که با درمان بهتر نمی شود
- بی ثباتی در زانو
همچنین ممکن است از این ام آر آی برای ارزیابی بهبودی پس از عمل زانو استفاده شود.
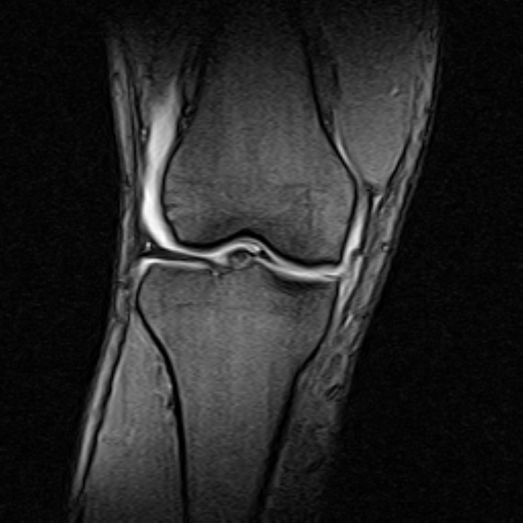
گزارش پزشک:
RIGHT KNEE MRI
(Without contrast)
The bones comprising the knee joint are normal in signal and configuration.
The cortical bone has normal thickness.
Bone marrow signal is normal .
The hyaline cartilage covering patella, fermoral condyles and tibial plateau shows normal signal and thicknees.
Lateral meniscus displays normal configuration .
PCL ,MCL & LCL are intacted.
Patellar ligamentum and quadriceps tendon are normal in shape and signal intensity .
– Knee joint effusion with soft tissue swelling around the knee
– Longitudinal tearing of P.H. of medial meniscus with large bucket handle
– Complete tearing of ACL ( femoral detachment )

