نظر مراجعه کننده های ما چیست؟

چرا مرکز تصویربرداری دکتر قائمیان؟

null

بدون محدودیت وزن در تمامی خدمات

مرکز تصویربرداری پزشکی دکتر قائمیان تنها مرکز تصویربرداری بدون محدودیت وزن در تمام خدمات در شمال است !
null

ام آر آی 1/5 تسلا با طراحی باز

دستگاه MRI زیمنس آلمان این مرکز یکی از جدید ترین دستگاه های تولید با طراحی Open Bore  که گزینه بهتری برای انجام ام ار ای در افراد مبتلا به کلاستروفوبیا (افرادی که ترس از فضاهای بسته دارند) هستند.
null

انجام انواع نمونه برداری

مرکز دکتر قائمیان تخصصی ترین مرکز پزشکی برای نمونه برداری در شمال کشور است و ماهانه بیش از 500 نمونه برداری در این مرکز انجام می شود!
null

سریع ترین تست BMD

مرکز دکتر قائمیان مجهز به دستگاه BMD شرکت DMS فرانسه است که این تست را در زیر 15 ثانیه و به صورت 3 بعدی انجام می دهد !
null

جوابدهی آنلاین و در طول 24 ساعت

شما می توانید با مراجعه به سامانه جوابدهی و نوبت دهی دکتر قائمیان بصورت آنلاین نوبت گرفته و یا جواب تصویربرداری خود را پس از 24 ساعت دریافت کنید!
null

سی تی اسکن اسپیرال 16 اسلایسه

دستگاه سی تی اسکن Somatom go.Now محصول شرکت زیمنس آلمان نوآوری‌های جدیدی در کاربری و گردش کار ایجاد کرده است که نتایج بسیار خوبی از تصویربرداری‎های روتین در اختیار پزشکان قرار می‎دهد.
null

ماموگرافی با کمترین اشعه

دستگاه ماموگرافی Phillips ساخت هلند مرکز تصویربرداری دکتر قائمیان کمترین اشعه ممکن را برای تصویربرداری ساتع می کند !
null

کادر پزشکی خبره

این مرکز دارای خبره ترین کادر تصویربرداری پزشکی در شمال کشور بوده و از پیشرفته ترین تجزییات بهره می برد!

آخرین مطالب

ام آر آی توده ساکروم

ام آر آی لگن یک روش تصویربرداری است که از طریق دستگاهی با آهنرباهای قوی و امواج رادیویی از ناحیه بین استخوان های ران تصاویری می سازد. این قسمت از…
بیشتر بخوانید

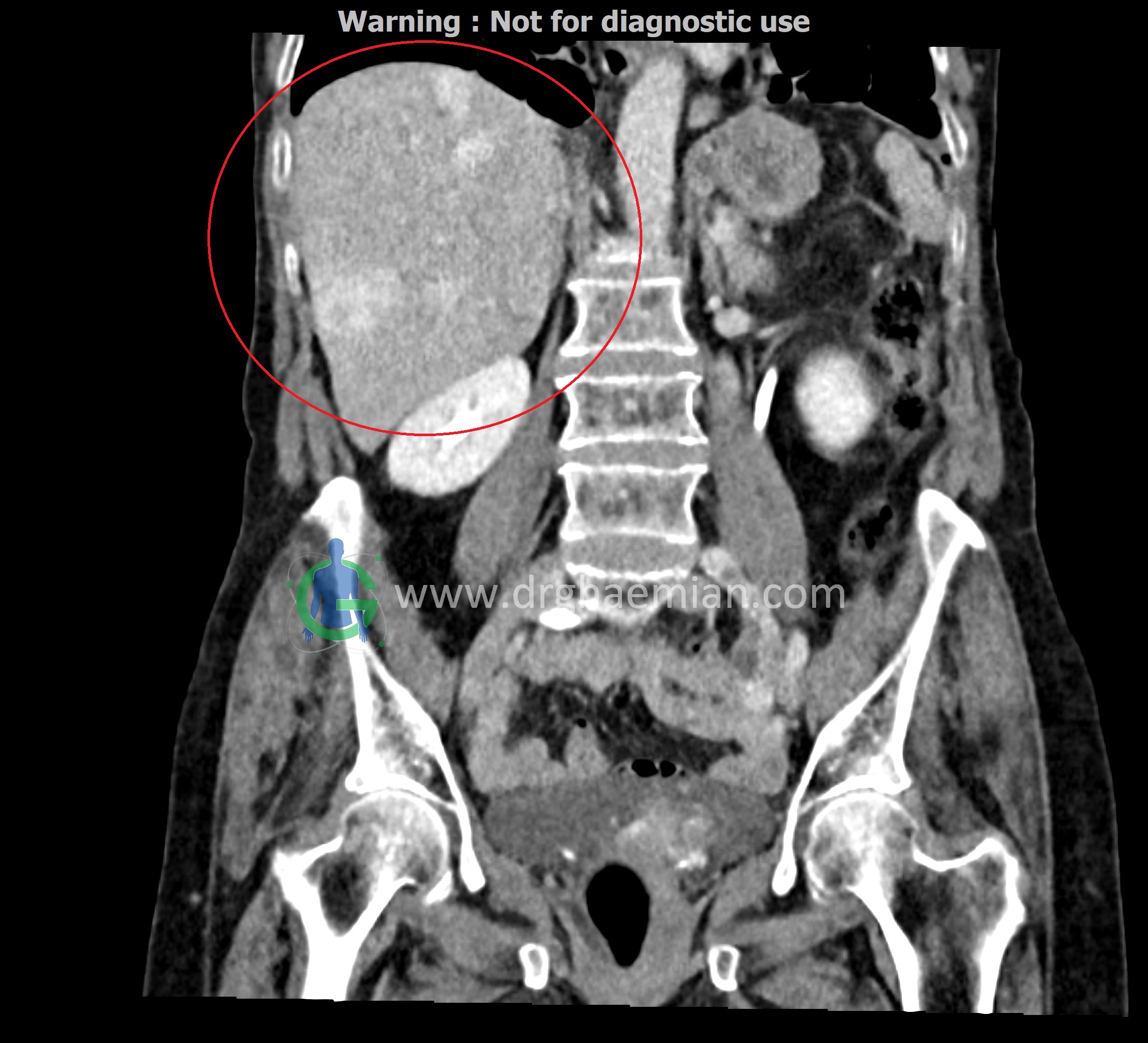
سی تی همانژیوم کبدی

سی تی اسکن شکم و لگن یکی از روش های تصویربرداری با سی تی اسکن است. این روش با استفاده از اشعه ایکس تصاویر عرضی از ناحیه شکمی و لگنی…
بیشتر بخوانید

ام آر بازسازی رباط صلیبی

ام آر آی زانو یک روش تصویربرداری پیشرفته است که با استفاده از امواج مغناطیسی و بدون تابش پرتو، تصاویری دقیق از ساختارهای داخلی زانو، مانند رباط‌ها، غضروف‌ها و استخوان‌ها،…
بیشتر بخوانید

سی تی توده تیروئید

سی تی اسکن گردن (سرویکال) یک روش تصویربرداری است که با استفاده از تشعشعات تصاویری با جزییات از ناحیه خالی گردن ایجاد میکند. در این کیس  توده تیروئید و ……
بیشتر بخوانید

طرف قرارداد با بیمه های (همه خدمات بجز سونوگرافی و نمونه برداری) :

فهرست