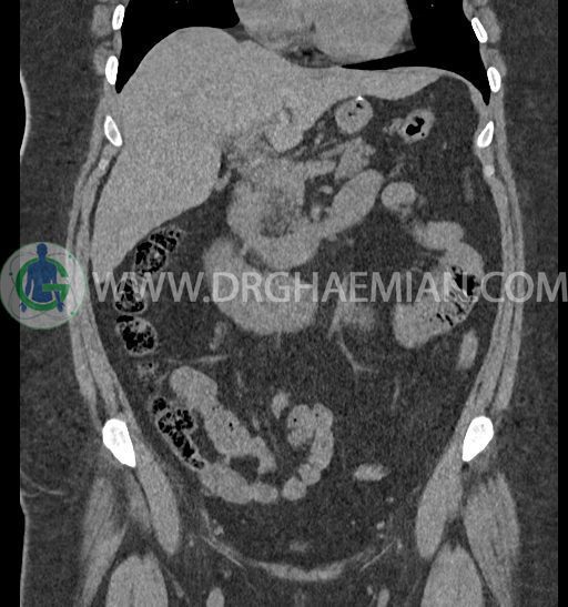
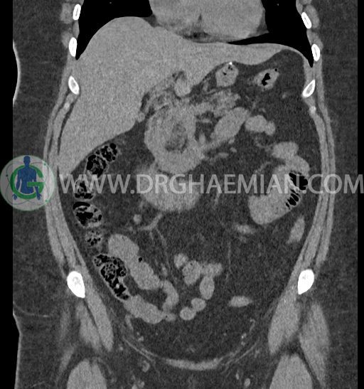
سی تی اسکن شکم و لگن با استفاده از اشعات ایکس تصاویر عرضی از ناحیه شکم و لگن ایجاد میکند. در این کیس کلیه نعل اسبی و سنگ کلیه مشاهده می شود.
گزارش پزشک
در سی تی اسکن اسپیرال شکم و لگن بدون کنتراست (مولتی دیدکتور 16 با مقاطع ظریف و بازسازی های ساژیتال و کرونال) :
ضایعهای در کبد، کیسه صفرا، مجاری صفراوی، طحال، پانکراس و آدرنالها مشهود نیست.
لنف آدنوپاتی در اطراف آئورت و IVC دیده نمیشود.
مایع آزاد در حفره شکم و لگن رویت نمی شود.
توده، کیست و collection مشهود نیست.
ضایعه ای در مثانه و حفره لگن مشهود نیست.
-horseshoe kidney
-حداقل سه سنگ 5mm در کلیه راست و یک سنگ 3mm در کلیه چپ بدون شواهدی از هیدرونفروز
-شواهد جراحی اسلیو قبلی در Body و فوندوس معده
-آپاندیس نرمال بصورت رتروسکال
مشهود است.
برچسب های مرتبط :

