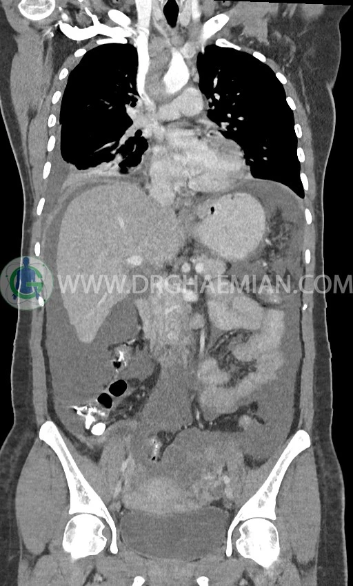
سی تی اسکن ریه با استفاده از اشعه ایکس تصاویر عرضی مقطعی از ریه و بالا تنه ایجاد می کند. در این کیس افیوژن پلور، لنفادنوپاتی، تخریب ریه سمت راست، توده پستان، آسیت و توده تخمدان دیده می شود.
گزارش پزشک
در سی تی اسکن اسپیرال ریه، مدیاستن و شکم و لگن با کنتراست خوراکی و وریدی (مولتی دیدکتور 16 با مقاطع ظریف و بازسازی های ساژیتال و کرونال) :
تراشه و برونش های اصلی نرمال اند.
پنومونی، جابجایی محتویات مدیاستن، فیبروز ریوی و Collection مشهود نیست.
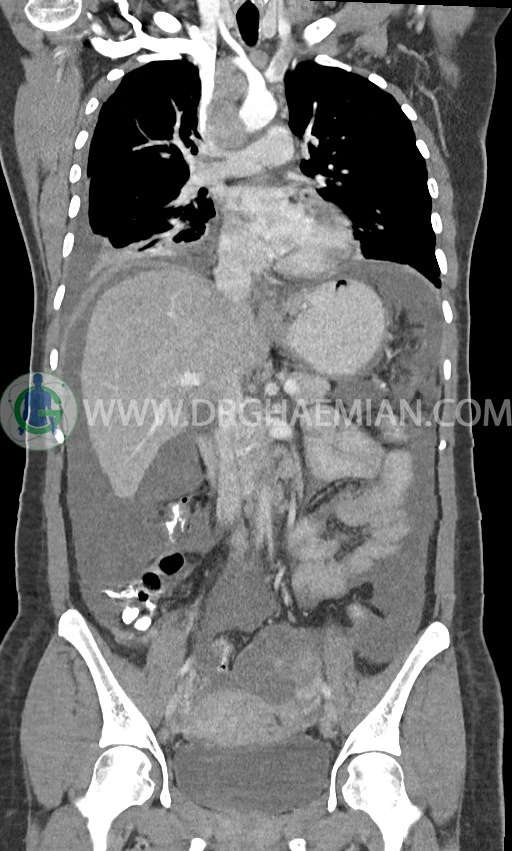
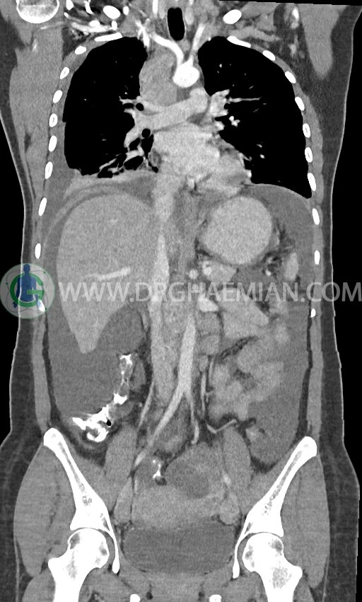
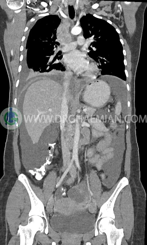
ضایعه ای در کبد، کیسه صفرا، مجاری صفراوی، طحال، کلیه ها، پانکراس و آدرنالها مشهود نیست.
کلیه ها کنتراست را ترشح کرده اند و نمای سیستم پیلوکالیسیل و حالب دو طرف نرمال است .
ضایعه ای در مثانه مشهود نیست.
لنفادنوپاتی فراون با حداکثر SAD=25mm در مدیاستن
لنفادنوپاتی با حداکثر SAD = 12mm در سوپراکلاویکل چپ (level 4) و در level 6 و level 7
pleural effusion قابل توجه دوطرفه همراه با passive collapse سگمان های بازال (با شدت بیشتر در سمت راست)
توده با حدود صاف و واضح به قطر 17mm درمدیال پستان راست و با حدود لوبوله به قطر 20mm در قسمت خارجی- فوقانی پستان راست
اسیت قابل توجه در حفره شکم و لگن
انفیلتراسیون تومورال در قسمت های مختلف اومنتوم (omental cake)، به ویژه در قسمت تحتانی حفره شکم و لگن
توده سالید – سیستیک به ابعاد 40x60mm در تخمدان چپ و به ابعاد 20x40mm در تخمدان راست و
لنفادنوپاتی فراوان در اطراف آئورت و IVC با حداکثر SAD= 25mm در دیواره دو طرف حفره لگن با حداکثر SAD= 20mm
مشهود است.






















