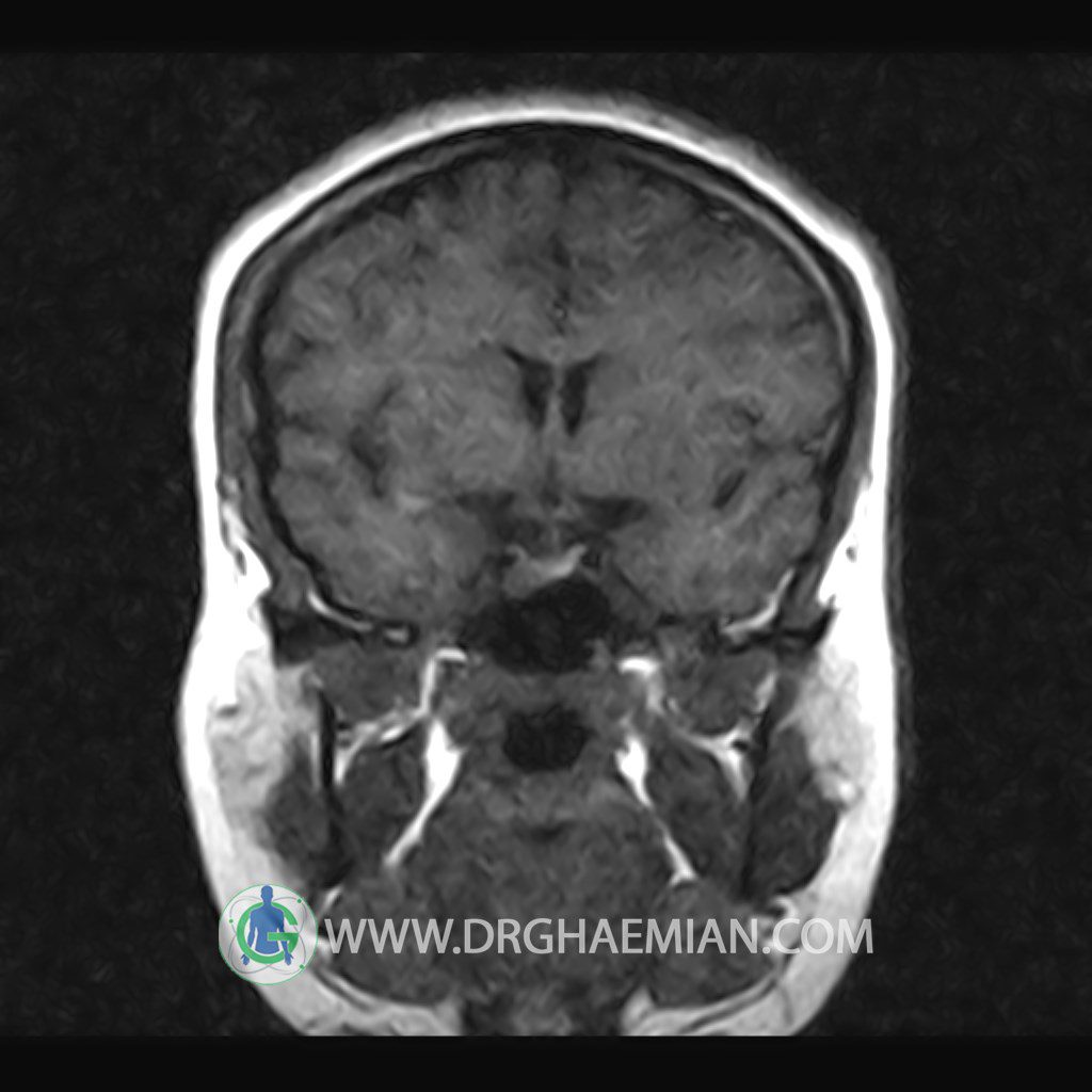
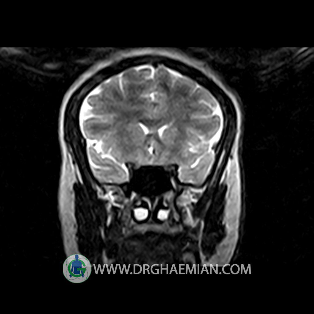
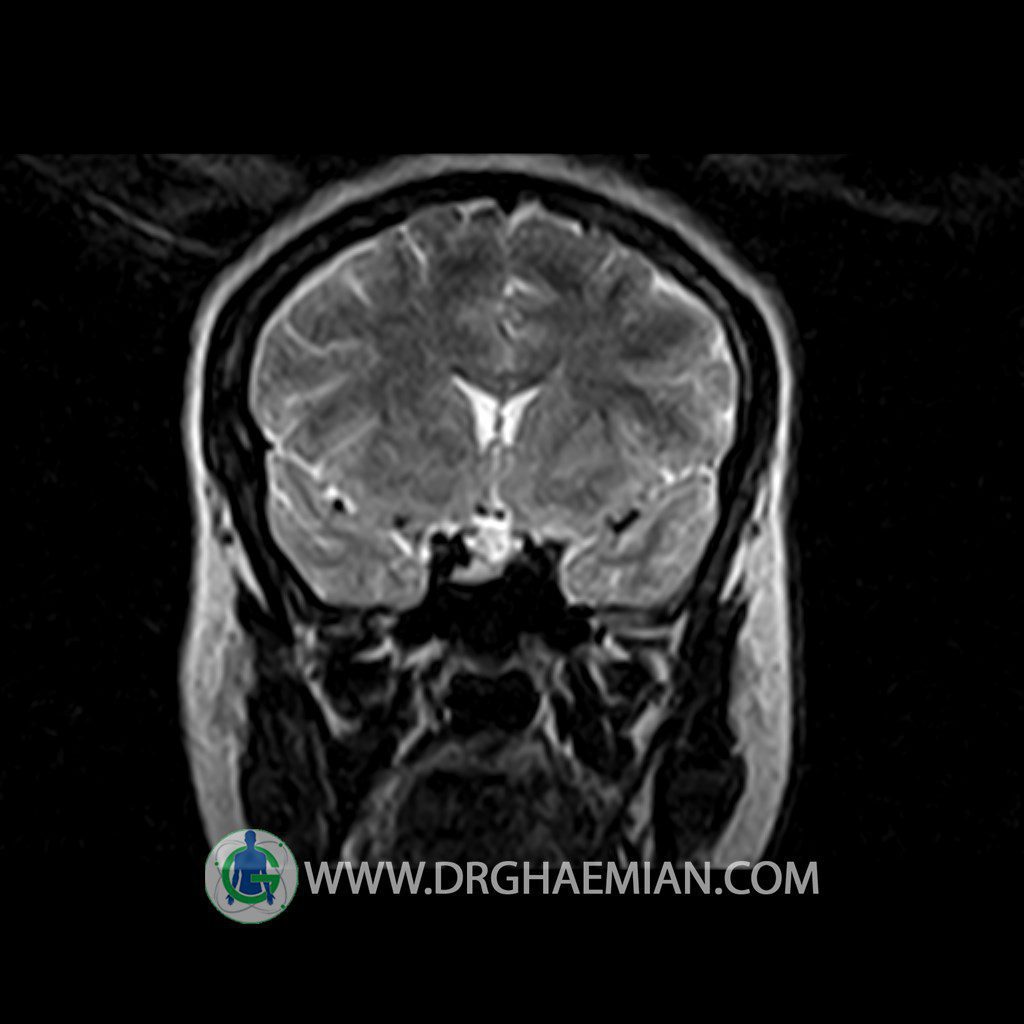
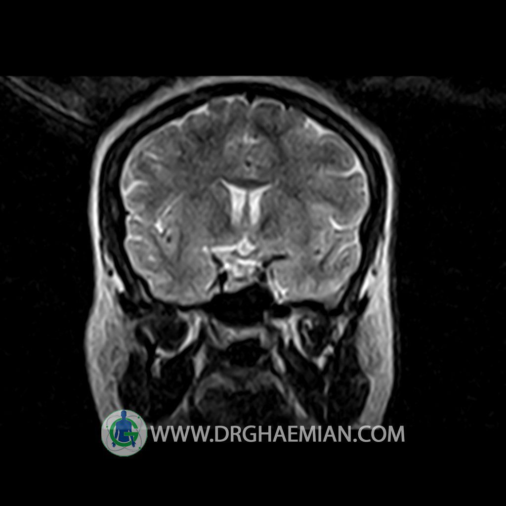
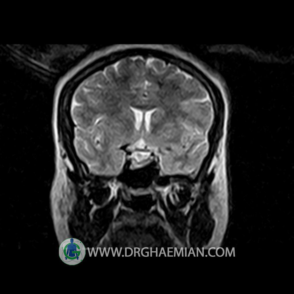
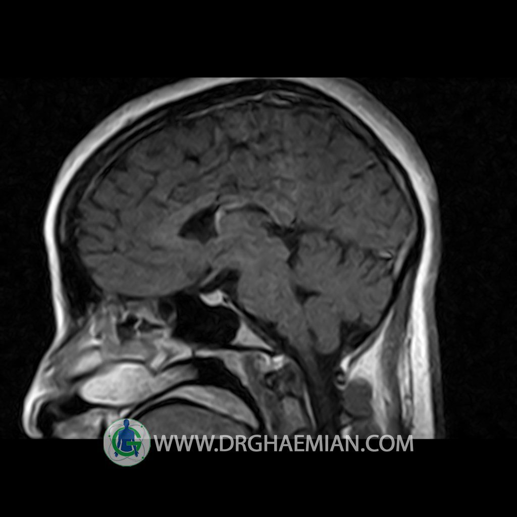
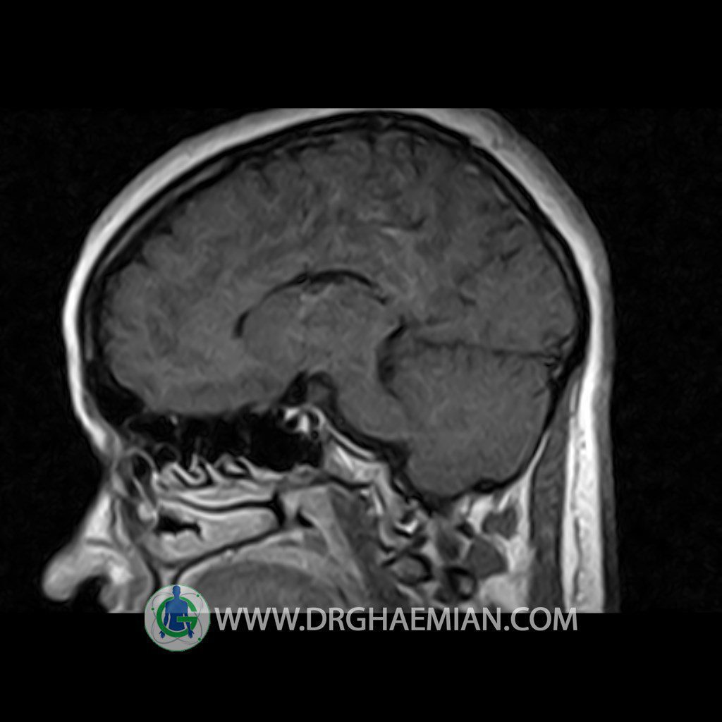
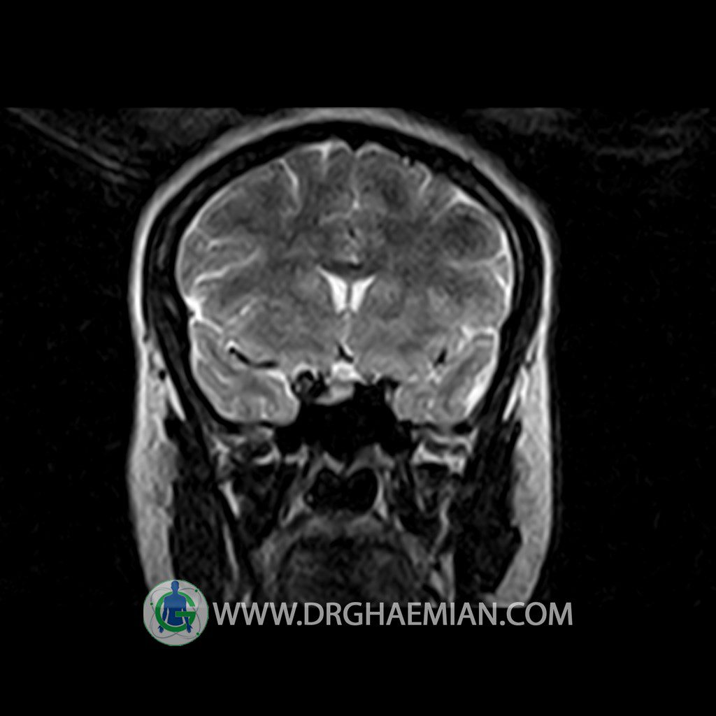
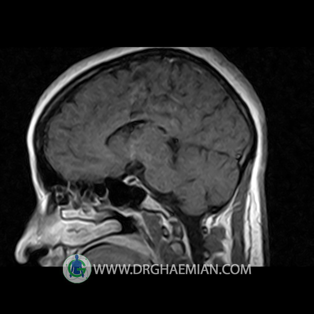
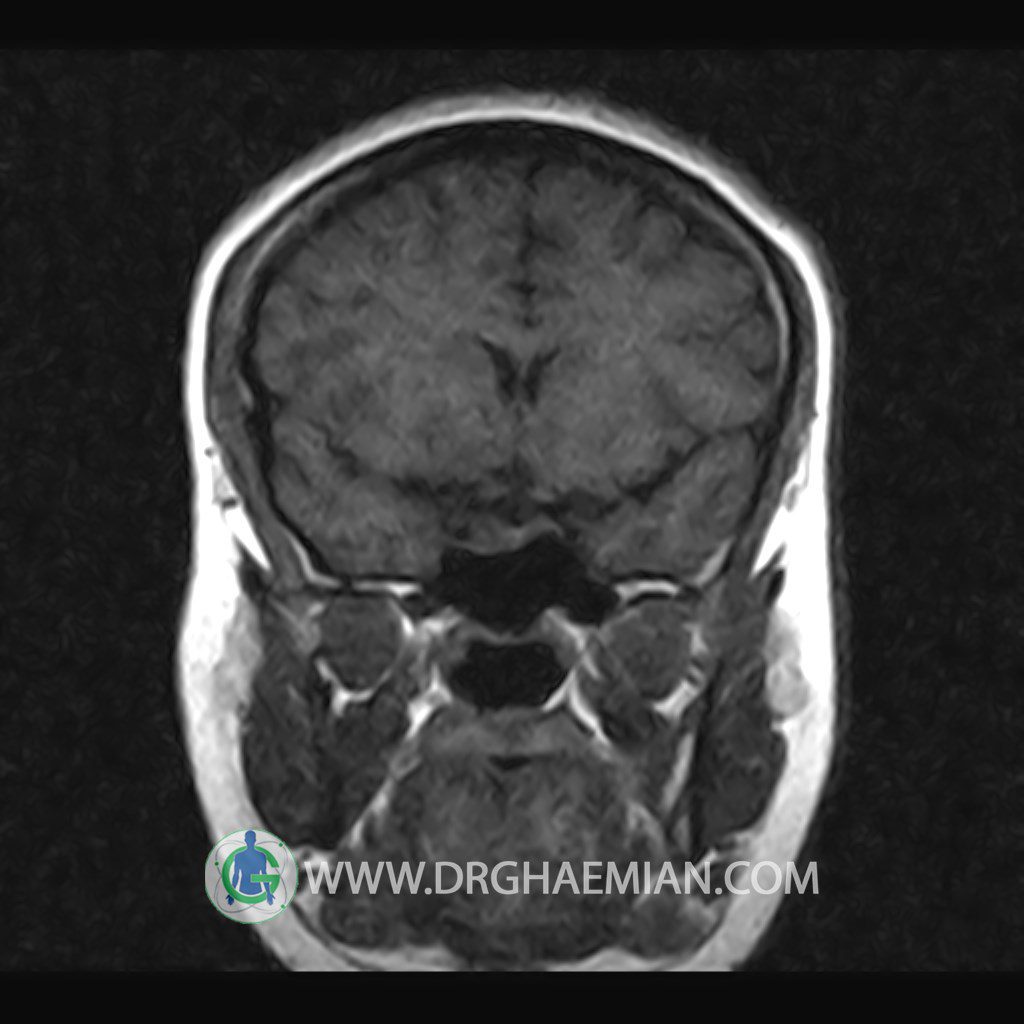
ام آر آی هیپوفیز یک روش تصویر برداری است که از غده هیپوفیز (غده ایی کوچک در مغز که هرومون ها و دیگر غدد بدن را کنترل می کند) و ناحیه های پیرامونش در مغز تصاویری ایجاد می کند. در این کیس سلای نسبتا خالی در ناحیه هیپوفیز بیمار مشاهده می شود.
گزارش پزشک:
HYPOPHYSIS MRI
(with and without contrast)
Technique: Axial , coronal T1 , Axial , coronal , sagittal T2 , Axial, coronal T1 post Gd & 64 dynamic thin coronal slices.
REPORT :
The pituitary tissue shows normal , position, shape , size and homogeneous signal intensity both before and after contrast administration .
Anterior and posterior pituitary gland were normal .
It contains no circumscribed hypointense or hyperintense areas .
The infundibulum is centered and of normal size .
The optic chiasm and suprasellar spaces appear normal .
The cavernous sinus and imaged portions of the internal carotid artery and carotid siphon are unremarkable .
Evaluable portions of the neurocranium show no abnormalities .
The sphenoid sinus is clear and pneumatized .
Imaging of the hypothalamus after contrast medium administration was normal.
– Extension of suprasella cistern to sella with thin pituitary gland in floor of sella ( partial empty sella )
is seen

