نمونه برداری CNB توده ریه روشی برای برداشتن تکه ایی از توده ریه برای ارزیابی است. این نمونه برداری معمولا بین 30 تا 60 دقیقه طول میکشد.
ممکن است از رادیولوژی یا سی تی اسکن قفسه سینه برای یافتن نقطه دقیق نمونه برداری از توده استفاده شود. اگر با سی تی اسکن انجام شود شما ممکن است در طول نمونه برداری دراز بکشید.
شما باید بین 6 تا 12 ساعت قبل از نمونه برداری ریه ناشتا باشید. دستورعمل های پزشک در مورد مصرف نکردن دارو های ضد انعقادی غیراستروئیدی مانند : آسپرین، ایبوپروفن، یا رقیق کننده های خون مانند: وارفرین برای مدتی کوتاه قبل از نمونه برداری را دنبال کنید.
نمونه برداری CNB ریه چیست؟
نمونه برداری CNB توده ریه (کاور یا پوششی) نوعی از نمونه برداری توده ریه است که در آن سوزنی توخالی که به یک دستگاه برای برداشتن تکه های بافتی متصل است، استفاده می شود.
بافتبرداری یا بیوپسی، که به آن تکهبرداری و نمونهبرداری نیز میگویند، یک آزمایش پزشکی است که معمولاً توسط یک جراح یا متخصص رادیولوژی انجام میشود. بیوپسی روشی برای برداشتن قسمتی از بافت یا نمونهای از سلولهای بدن است تا بتوان آن را در آزمایشگاه تجزیه و تحلیل کرد و برای بررسی وجود یک بیماری یا تعیین وسعت آن استفاده می شود. بافت برداشتهشده معمولاً توسط متخصص آسیبشناسی (پاتولوژیست) زیر میکروسکوپ بررسی میشود، اما میتواند به شکل شیمیایی نیز آنالیز شود. تنها راه تشخیص قطعی اکثر سرطانها، انجام بیوپسی است. بیوپسی روشی کمخطر و بدون درد است.
نمونه برداری CNB توده ریه وقتی که مواردی غیر طبیعی در سطح ریه، خود ریه، یا دیواره قفسه سینه وجود دارد انجام می شود. در بیشتر موارد برای رد کردن احتمال سرطان استفاده می شود. نمونه برداری CNB توده ریه معمولا بعد از اینکه ناهنجاری هایی در رادیولوژی یا سی تی اسکن ریه مشاهده می شود تجویز می شود.
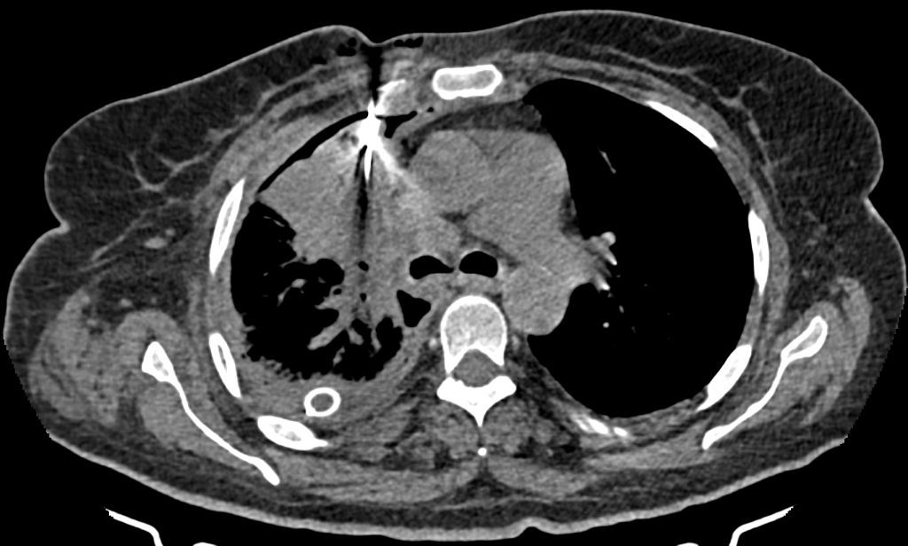
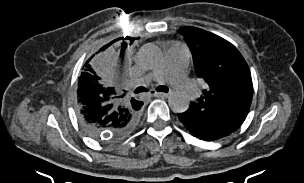
تحت هدايت سي تي اسکن سه نمونه CNB از توده سگمان آنتريور لوب فوقاني راست تهيه شد .
تصاوير پيوست قرارگيري سوزن در توده را نشان مي دهد .







