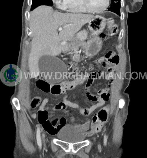
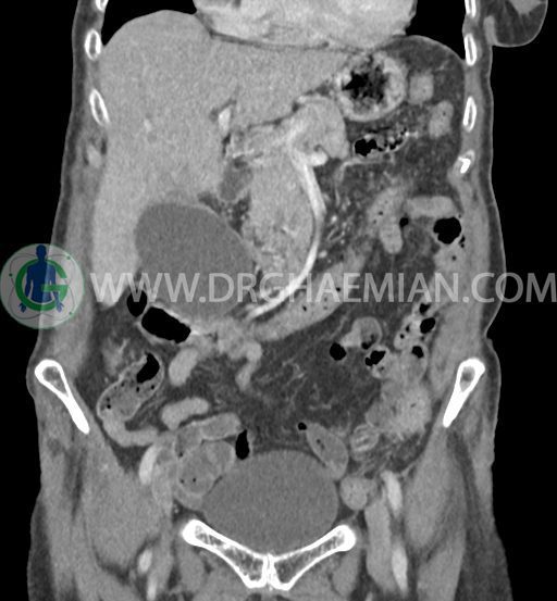
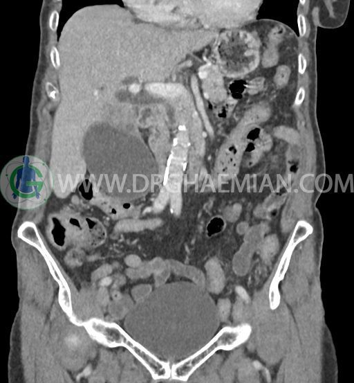
سی تی اسکن شکم و لگن با استفاده از اشعات ایکس تصاویر عرضی از ناحیه شکم و لگن ایجاد میکند. در این کیس سرطان مجرای صفراوی (کولانژیوکارسینوما)، توده در کبد، کیست کورتیکال در کلیه چپ، کلسیفیکاسیون دیواره آئورت و … دیده می شود.
گزارش پزشک
در سی تی اسکن اسپیرال شکم و لگن با و بدون کنتراست خوراکی و وریدی (مولتی دیدکتور 16 با مقاطع ظریف و بازسازی های ساژیتال و کرونال) :
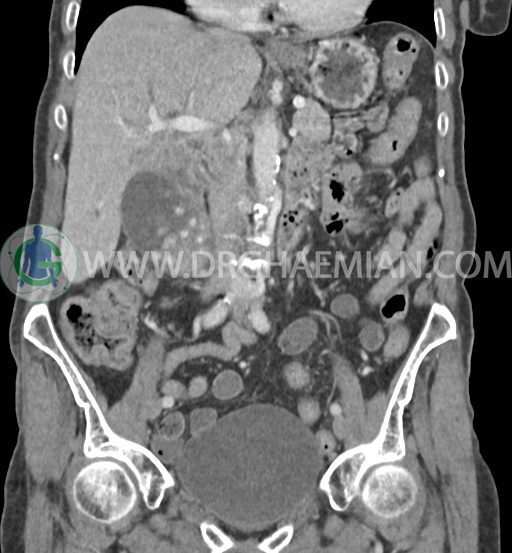
ضایعه ای در مجاری صفراوی، کلیه ها، پانکراس و آدرنالها مشهود نیست.
لنف آدنوپاتی در اطراف آئورت و IVC دیده نمیشود .
کلیه ها کنتراست را ترشح کرده اند و نمای سیستم پیلوکالیسیل و حالب دو طرف نرمال است .
ضایعه ای در معده ، روده باریک و کولون مشهود نیست .
مایع آزاد در حفره شکم و لگن رویت نمی شود. ضایعه ای در مثانه مشهود نیست.
تصویر توده اندکی هیپودنس (HU=40 ) به ابعاد 30x40mm در سگمان 4b کبد ، با حدود ناواضح با enhancement هتروژن و قابل توجه پس از تزریق کنتراست ( HU=70 )، با شواهد تهاجم به گردن کیسه صفرا
تصویر شبیه به توده به قطر 15mm بین خم کبدی کولون و سگمان 6 کبد و قطب تحتانی کلیه راست و به قطر 8mm در انتریور سکوم مطرح کننده توده های peritoneal
کیسه صفرای دیلاته حاوی اسلاژ و سنگ های فراوان به قطر 5mm تا 10mm مطرح کننده کولانژیوکارسینوما
دیلاتاسیون خفیف مجاری صفراوی داخل کبدی
accessory spleen به قطر 12mm مجاور قسمت تحتانی هیلوم طحال
کیست کورتیکال 40mm در قسمت تحتانی کلیه چپ
تغییرات post menopausal در رحم و تخمدانها
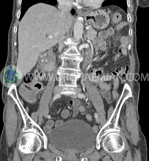
هرنی ونترال در ناحیه اپیگاستر حاوی چربی
کلسیفیکاسیون دیواره آئورت و شریان های ایلیاک و
هیپرلوردوز لومبوساکرال همراه با اوستئوپنی منتشر
مشهود است .
sono guided CNB از توده کبد پیشنهاد می شود .

