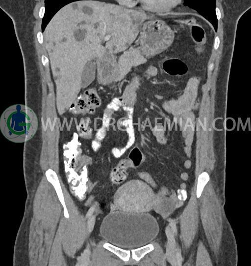
سی تی اسکن شکم و لگن با استفاده از اشعات ایکس تصاویر عرضی از ناحیه شکم و لگن ایجاد میکند. در این کیس کبد پلی کیستیک، کیست در تخمدان چپ، توده در دیواره سرویکس و اسپوندیلولایزیس دو طرفه مهره L5 دیده می شود.
گزارش پزشک
در سی تی اسکن اسپیرال شکم و لگن – 5Phasic (بدون کنتراست – با کنتراست در فاز آرتریال ، پورتال و تاخیری 5 دقیقه و 10 دقیقه، مولتی دیدکتور 16 با مقاطع ظریف و بازسازی های ساژیتال و کرونال) :
ضایعه ای در کیسه صفرا، مجاری صفراوی، طحال، کلیه ها، پانکراس و آدرنالها مشهود نیست.
لنف آدنوپاتی در اطراف آئورت و IVC دیده نمیشود .
کلیه ها کنتراست را ترشح کرده اند و نمای سیستم پیلوکالیسیل و حالب دو طرف نرمال است .
ضایعه ای در معده ، روده باریک و کولون مشهود نیست .
مایع آزاد در حفره شکم و لگن رویت نمی شود.
collection مشهود نیست.
ضایعه ای در مثانه و رحم مشهود نیست.
-ضایعات سیستیک فراوان به قطر 5 تا 30mm پراکنده در کبد بدون جزء سالید، بدون septation و بدون اینهنسمنت پس از تزریق کنتراست مطرح کننده polycystic liver disease
-کیست ساده به قطر 31mm در تخمدان چپ
-توده هیپودنس به قطر 13mm در دیواره قدامی سرویکس نیازمند مطابقت سونولوژیک
-اسپوندیلولایزیس دو طرفه L5 همراه با آنترولیستزیس gread 1 و تغییرات DJD در L5/S1
مشهود است.






















