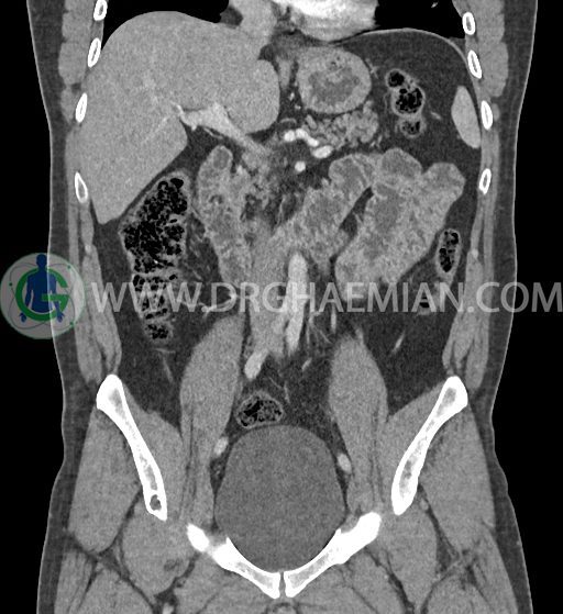
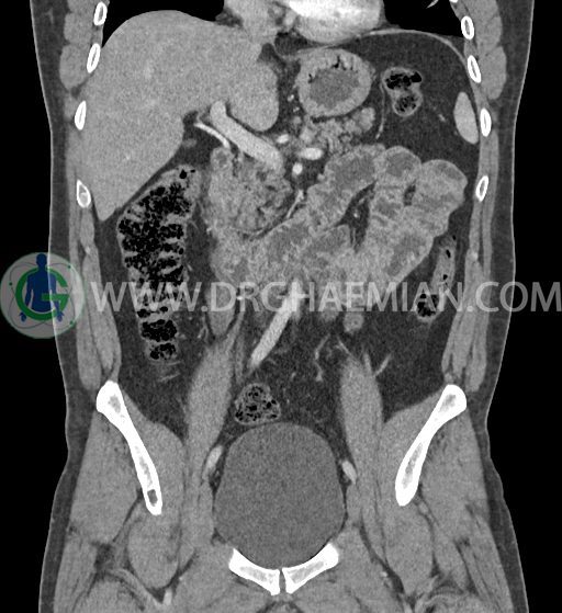
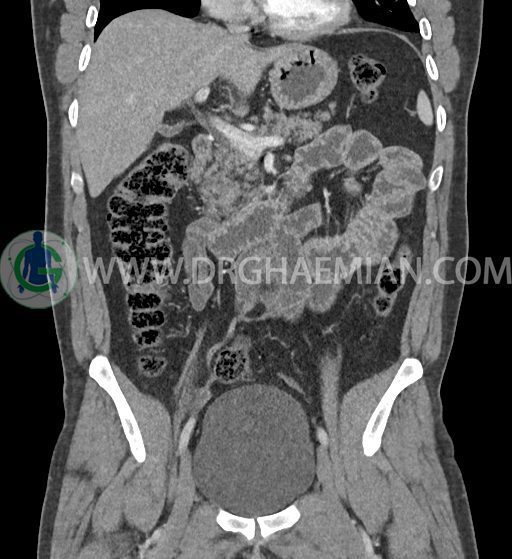
سی تی اسکن شکم و لگن با استفاده از اشعات ایکس تصاویر عرضی از ناحیه شکم و لگن ایجاد میکند. در این کیس فتق هیاتوس و هیدرویورترونفروز دیده می شود.
گزارش پزشک
در سی تی اسکن اسپیرال شکم و لگن با کنتراست خوراکی و وریدی (مولتی دیدکتور 16 با مقاطع ظریف و بازسازی های ساژیتال و کرونال) :
ضایعه ای در کبد، کیسه صفرا، مجاری صفراوی، طحال، کلیه ها، پانکراس و آدرنالها مشهود نیست.
لنف آدنوپاتی در اطراف آئورت و IVC دیده نمیشود .
کلیه ها کنتراست را ترشح کرده اند و نمای سیستم پیلوکالیسیل و حالب دو طرف نرمال است .
ضایعه ای در معده ، روده باریک و کولون مشهود نیست .
مایع آزاد در حفره شکم و لگن رویت نمی شود.
ضایعه ای در مثانه و پروستات مشهود نیست.
-sliding hiatal hernia به ابعاد 60x44mm با جابجایی JE.junction و فوندوس معده به فضای مدیاستن خلفی دیده می شود.
-هیدرویورترونفروز جزئی دو طرفه دیده می شود که می تواند ثانویه به اتساع مثانه باشد.






















