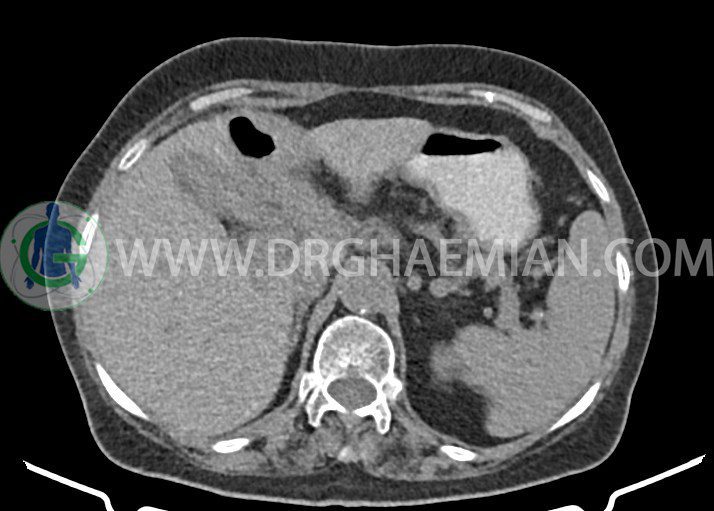
سی تی اسکن شکم یکی از روش های تصویربرداری با سی تی اسکن است. این روش با استفاده از اشعات ایکس تصاویر عرضی از ناحیه شکمی ایجاد میکند. در این کیس چندین سنگ کیسه صفرا، افزایش ضخامت دیواره کیسه صفرا، لنفادنوپاتی و کلسیفیکاسیون دیواره آئورت دیده می شود.
گزارش پزشک :
در سی تی اسکن اسپیرال شکم و لگن با و بدون کنتراست خوراکی و وریدی – پروتکل تری فازیک (مولتی دیدکتور 16 با مقاطع ظریف و بازسازی های ساژیتال و کرونال) :
ضایعه ای در کبد، مجاری صفراوی، کلیه ها، پانکراس و آدرنالها مشهود نیست.
کلیه ها کنتراست را ترشح کرده اند و نمای سیستم پیلوکالیسیل و حالب دو طرف نرمال است .
مایع آزاد در حفره شکم و لگن رویت نمی شود.
ضایعه ای در مثانه مشهود نیست.
باندهای اتلکتازی در لوب تحتانی ریه راست
تصویر سنگ های متعد به قطر تا 6mm در کیسه صفرا
افزایش ضخامت دیواره کیسه صفرا به ویژه در ناحیه فوندوس همراه با fat stranding در اطراف آن و چند لنفادنوپاتی به حداکثر SAD= 15mm در لیگامان گاستروکولیک و در مدیال کیسه صفرا
لنفادنوپاتی با حداکثر SAD= 14mm در ائورتوکاوال و پورتاهپاتیس ، بالاتر از عروق رنال
تصویر درن اوپک مجاور کولون صعودی و خم کبدی کولون
tract درن قبلی همراه با fat stranding در اطراف آن ، بین خم کبدی کولون و کیسه صفرا
توده های سالید به قطر 12mm و 13mm در چربی پاراکاردیاک راست و به قطر 12mm در اومنتوم مجاور طحال
کلسیفیکاسیون دیواره آئورت
تغییرات post menopausal در رحم وتخمدانها و
اپاندیس نرمال رتروسکال به قطر 6mm
مشهود است.






















