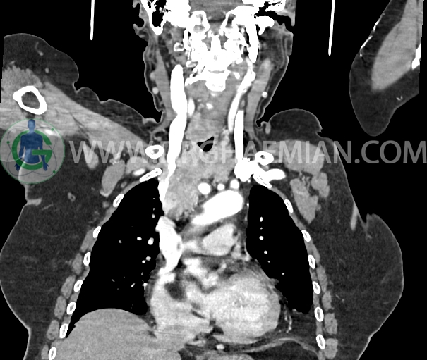
سی تی اسکن گردن با استفاده از تشعشعات تصاویری با جزییات از ناحیه گردن ایجاد میکند. در این کیس سندرم svc (سندروم بزرگ سیاهرگ زبرین)، توده در ناحیه حلق، متاستاز ریوی و تغییرات دژنراتیو دیده می شود.
گزارش پزشک
در سی تی اسکن اسپیرال از گردن و ریه و مدیاستن با تزریق (مولتی دیدکتور 16 با مقاطع ظریف و بازسازی های ساژیتال و کرونال) :
نمای لارنکس و وکال کورد در حد نرمال می باشد.
سینوسهای پیریفورم دو طرف سیمیتریک میباشد. راه هوائی باز و طبیعی میباشد.
نازوفارنکس و فضای پارافارانژیال طبیعی هستند.
برونش های اصلی نرمال اند.
پنومونی، پلورال افیوژن، جابجایی محتویات مدیاستن و Collection مشهود نیست.
لنف نودهای کوچک در level های مختلف گردن به حداکثر SAD=7mm دارای هیلوم چربی در level 1 سمت چپ مشهود است.
غده بزاقی ساب مندیبولار چپ نسبت به سمت مقابل prominent است .
شواهد DJD در مهره ها مشهود است .
تصویر توده نسج نرمی با enhancement هتروژن و حدود لوبوله به ابعاد 25x55x93mm با شروع از خلفی فضای ساب گلوت (ابتدای تراشه) و امتداد در بستر تیروئید ومدیاستن قدامی دیده می شود
توده مذکور به درون تراشه گردنی bulge شده و موجب narrowing تراشه شده و به نظر می رسد invasion به لومن وریدهای براکیوسفالیک دو طرف و SVC دارد .
وریدهای واریسی متعدد در اطراف مهره ها در مجموع می تواند SVC syndrome را مطرح کند.
شواهد مطرح کننده لنفادنوپاتی و یا recurrent/remnant توده می باشد.
ندول های round متعدد به صورت پراکنده در فیلد ریه ها مشهود است که مطرح کننده متاستاز ریوی می باشد






















