سی تی اسکن شکم و لگن با استفاده از اشعات ایکس تصاویر عرضی از ناحیه شکمی ایجاد میکند. در این کیس التهاب پانکراس، کیست کاذب پانکراس، کیست های کورتیکال، کلسیفیکاسیون دیواره آئورت و … مشاهده می شود.
گزارش پزشک
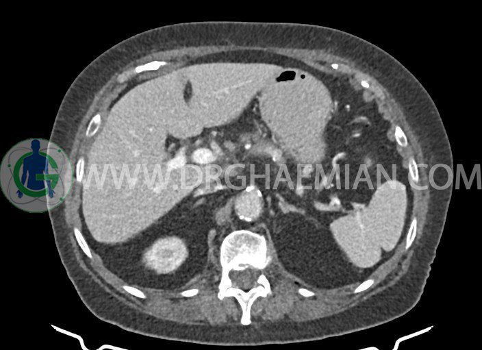
در سي تي اسکن اسپيرال شکم و لگن بدون کنتراست و با کنتراست در فاز ارتريال و پورتوونوس (مولتي ديدکتور 16 با مقاطع ظريف و بازسازي هاي ساژيتال و کرونال):
ضايعه ای در کيسه صفرا، مجاری صفراوی، طحال، کليه ها و آدرنالها مشهود نيست.
لنف آدنوپاتی در اطراف آئورت و IVC ديده نميشود .
کليه ها کنتراست را ترشح کرده اند و نماي سيستم پيلوکاليسيل و حالب دو طرف نرمال است
ضايعه اي در معده ، روده باريک و کولون مشهود نيست .
ضايعه ای در مثانه مشهود نيست.
– ساختمان سيستيک به ابعاد mm 25 x 35 در ناحيه سر و گردن پانکراس همراه با تجمع مقداري مايع در اطراف گردن و تنه پانکراس، بدون ديلاتاسيون مجراي پانکراس، مطرح کننده پانکراتيت و کيست کاذب پانکراس
– وجود مقداري اسلاژ در کيسه صفرا بدون نشانه هاي کوله سيستيت
– گرانولوم کلسيفيه بدون اهميت به قطر 7 mm در ساب کپسولر فوقاني سگمان 4 کبد
– کيست هاي کورتيکال 6 mm و 22 mm در کليه چپ و 7 mm 8,mm و 23 mm در کليه راست
– نشانه هاي TAH- BSO با vaginal cuff نرمال
– کلسيفيکاسيون ديواره ائورت، شريان هاي ايلياک و پروگزيمال شريان هاي سلياک و رنال و
– اسکوليوز توراکولومبار همراه با تغييرات DJD
مشهود است.

