در سی تی اسکن از ریه بیمار کووید، دستگاه با سرعت بالا تصاویر با جزییات از بدن ایجاد می کند. این تصویربرداری ممکن است برای گرفتن تصاویری بهتر از ساختار های داخل قفسه سینه استفاده شود. سی تی اسکن یکی از بهترین روش های برای مشاهده نسج نرم مانند قلب و ریه ها است.
از زمان شیوع ویروس کرونا یا همان کووید-۱۹، سی تی اسکن ریه در کنار سایر تست های کرونا یکی از ابزارهای تشخیص بوده است. سی تی اسکن ریه به راحتی می تواند ندول های بسیار کوچک را نشان دهد بنابراین برای تشخیص سرطان ریه در مراحل اولیه بسیار موثر است.
روش کار کووید 19 چیست؟
سی تی اسکن از ریه بیمار کووید نقش مهمی در تشخیص و مدیریت بیماری کرونا ایفا می کند اما نباید از آن بی رویه استفاده کرد.
کووید 19 مستقیما بر روی ریه ها تاثیر می گزارد و به کیسه های هوایی صدمه میزند. کار کیسه های هوایی انتقال اکسیژن به عروق خونی یا مویرگ ها است. این عروق خونی یا مویرگ ها اکسیژن را به سلول های قرمز خون می برد و این سلول های قرمز خونی هستند که در نهایت اکسیژن را به تمام اعضای بدن می رساند.
روش کار این ویروس صدمه زدن به دیواره کیسه های هوایی و مویرگ ها است. پسمانده های این تخریب که پروتئین پلاسما است بر روی دیواره کیسه های هوایی جمع شده و باعث ضخیم شدن آن می شود. با ذخیم شدن دیواره کیسه های هوایی جابجایی اکسیژن به سلول های قزمز خون مختل می شود. هر چقدر که دیواره کیسه های هوایی ضخیم تر شود انتقال اکسیژن به سلول های قرمز خون سخت تر و در نتیجه باعث تنگی تنفس می شود چراکه اکسیژن کمتری به بدن می رسد.
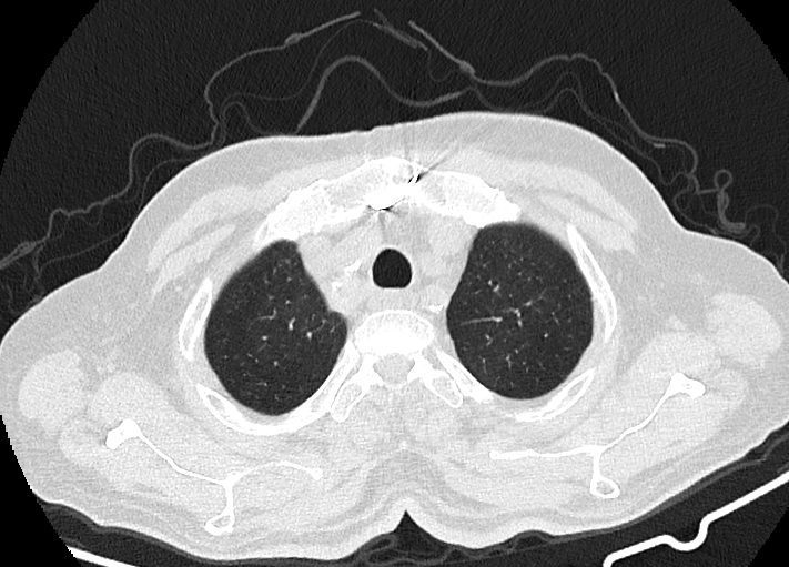
گزارش پزشک:
در HRCT از ريه ها(اسپيرال ، مولتي ديتکتور 16، مقاطع اگزيال با ضخامت 1mm بدون فاصله ) ، بدون كنتراست تزريقي :
-Ground glass opacities Patchy پراکنده در ريه ها مشهود است که مطرح کننده Viral pneumonia مي باشد . ( با درگيري 20 درصد حجم ريه )
-کلسیفیکاسیون دیواره آئورت و عروق کرونر ، تغییرات DJD در ستون فقرات ونشانه های CABG مشهود است .
نتیجه: Highly suggestive of COVID-19






















