در سی تی اسکن ادنوم پاروتید امکان دیدن ساختارهای ظریف و پیچیده گوش داخلی را با استفاده از تصویربرداری سه بعدی فراهم می شود و امکان نمایش سه بعدی تصاویر با رزولوشن و وضوح بالا از نواحی انتخاب شده ای مثل کانال های نیمه حلقوی، دهلیز، حلزون گوش، کانال شنوایی داخلی، قسمتهای ماستوئید مربوط به کانال صورت را فراهم می آورد.
ورم های غده ایی (آدنوم ها) تومورهای خوش خیم غدد بزاغی هستند که عمدتا لوب سطحی غده پاروتید را مبتلا می کند. اینکه تومور ها بطور طبیعی پلئومورفیک (چند شکلی) هستند را میتوان با توجه به منشا مخاطی و بافت همبند آن توده توضیح داد.
ادنوم پاروتید چیست و چرا سی تی اسکن ادنوم پاروتید استفاده می شود؟
در سی تی اسکن ادنوم پاروتید، دستگاه تصاویری عرضی مقطع ایی از گوش در ناحیه سر و صروت ایجاد می کند. این تصویربرداری از اشعه ایکس برای ایجاد تصویر استفاده می کند.
این تومور بیشتر در بانوان سنین 30 تا 50 ساله دیده می شود. علامت وجود این تومور ورمی است که بدون علائم و به طور آهسته بیشتر می شود. جراحی برای برداشتن تومور معروف ترین روش درمان است که در آن برای محافظت از اعصاب صورت احتیاط زیادی به خرج داده می شود.
سرطان غده بزاقی بسیار نادر است اما تحقیقات نشان می دهد که هر چه ادنوم ها بیشتر در غده پاروتید بماند احتمال سرطانی شدنش بیشتر می شوند. حدودا 1.5% از تومور ها در پنچ سال اول بدخیم می شوند، که این عدد بعد از 15 سال به 9.5% سال افزایش پیدا می کند.
گزارش پزشک:
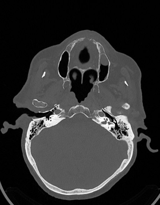
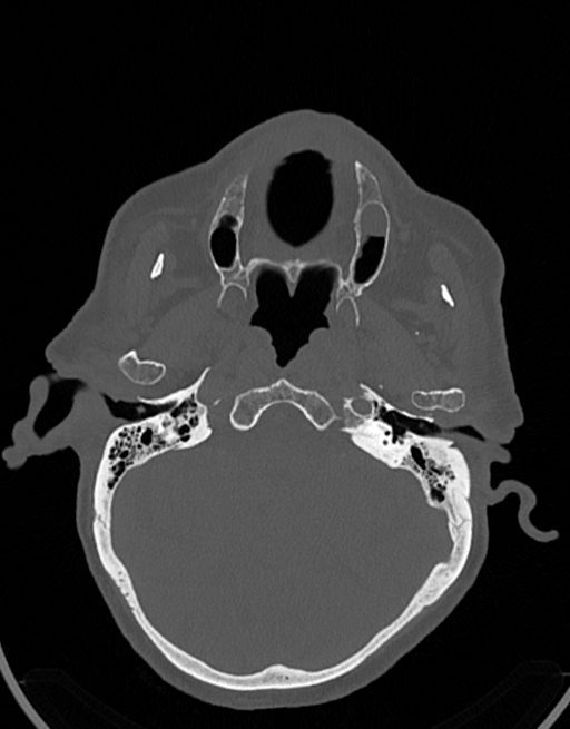
در سي تي اسکن اسپيرال نازو فارنکس با و بدون کنتراست (مولتي ديدکتور 16 با مقاطع ظريف و بازسازي هاي ساژيتال و کرونال):
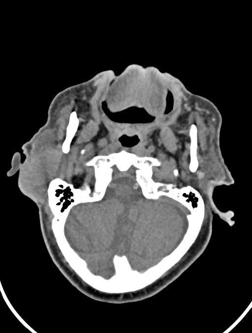
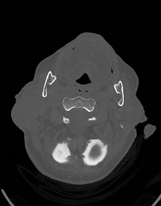
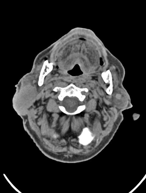
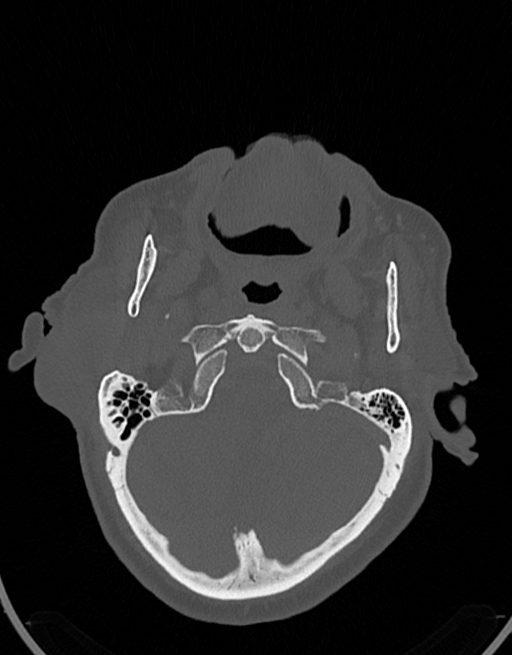
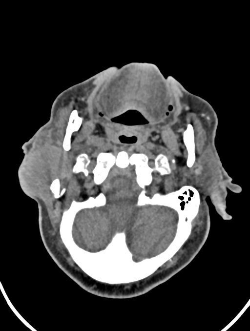
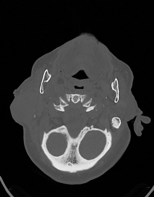
– توده نسج نرمي به ابعاد mm 40 x 45 x 60 در ناحيه پاروتيد راست، با enhancement هتروژن پس از تزريق کنتراست مشهود است که مطرح کننده آدنوم پاروتيد مي باشد.
– شواهدي از تهاجم توده به استخوان و عروق اطراف مشهود نيست .
– کلسيفيکاسيون در ديواره شريان هاي کاروتيد دو طرف مشهود است .
– بررسي بافتي توده پاروتيد راست پيشنهاد مي شود .






















