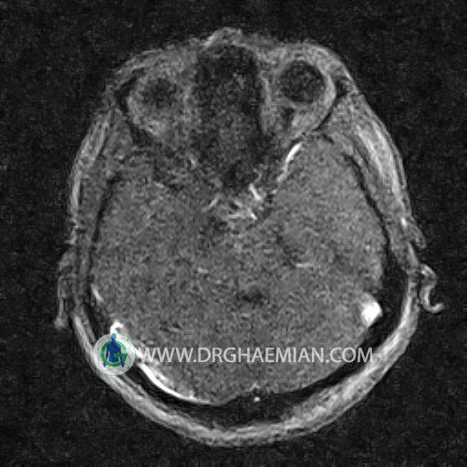
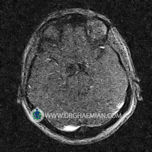
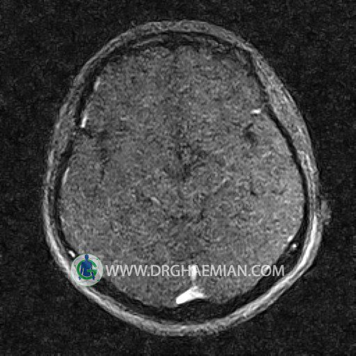
ام آر وی یک روش تصویربرداری دقیق و غیر تهاجمی است که برای معاینه ورید های بدن و ارزیابی سلامت رگ ها استفاده می شود. ورید ها خون را از اعضای بدن به قلب باز می گرداند تا دوباره اکسیژن و مواد مغذی به خون داده شود. ام آر وی جریان خون را ارزیابی و موارد غیرعادی مضر مانند لخته های خونی را شناسایی می کند. در این کیس ترومبوز دیواری مغز در سینوس عرضی راست و ترمبوز جزئی در سینوس عرضی چپ دیده می شود.
گزارش پزشک :
CRANIAL MRV
(With & Without contrast)
Technique: TOF ( time of flight ).
REPORT:
Images of the venous cranial vessels demonstrates a superior sagittal sinus of normal caliber with normal arrangement of draining superficial cerebral veins.
The great cerebral vein Galen inferior sagittal , straight sinus and left sigmoid sinus appear normal.
The right sigmoid sinus present a normal caliber.
The other evaluable deep cerebral veins , basal and labbe are normally developed and patent.
The other evaluable portions of the neurocranium show no abnormalities.
– Narrowing of left transverse sinus with filling defect & inthimal irregularity
suggestive for partial thrombosis
– Inthimal irregularity in anterior wall of right transverse sinus suggestive for mural thrombosis
are seen















































