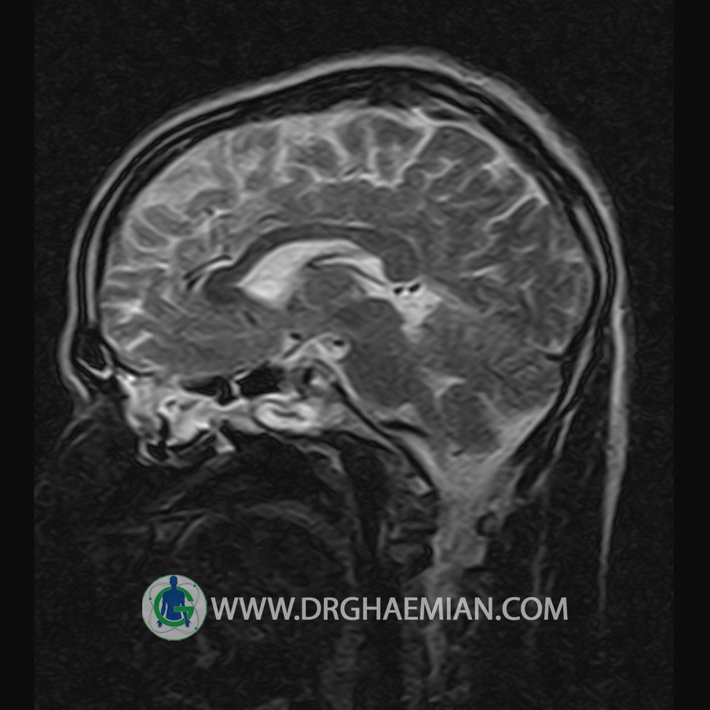
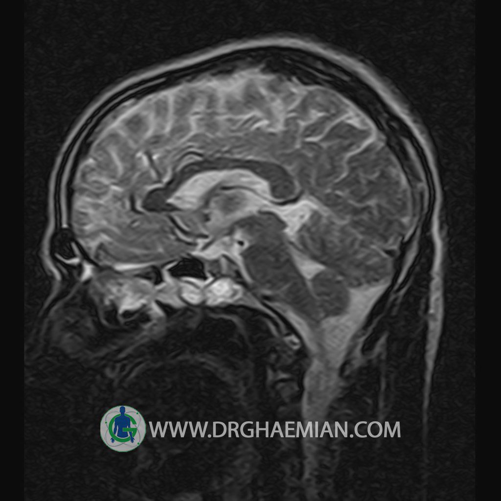
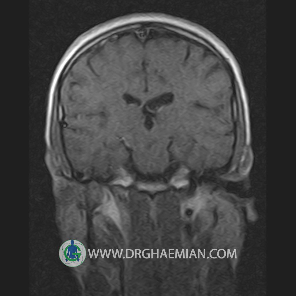
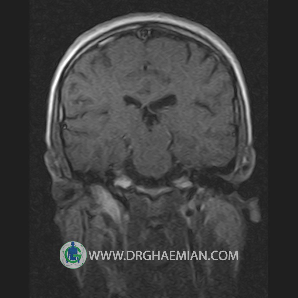
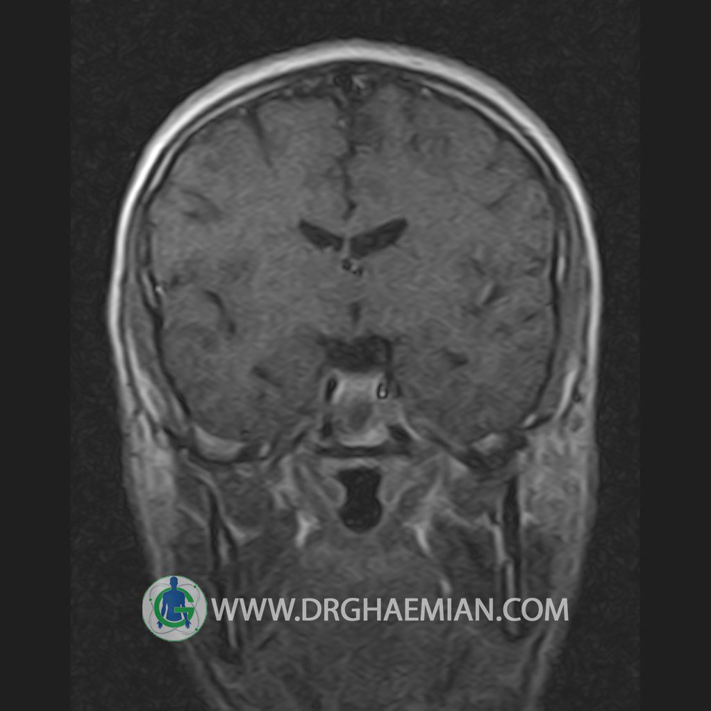
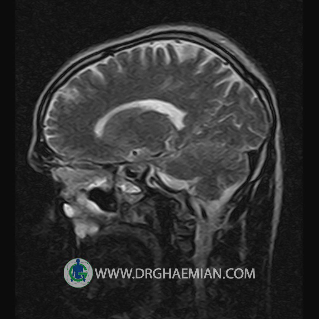
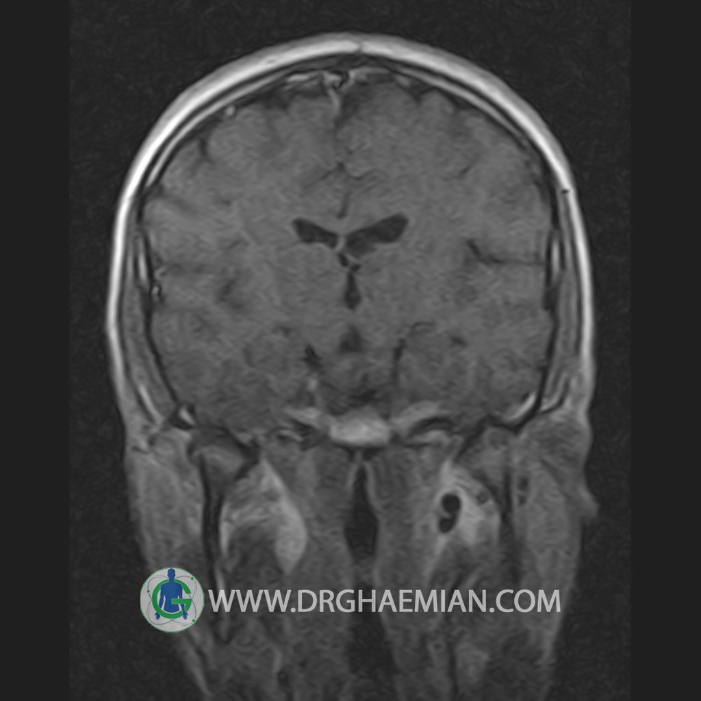
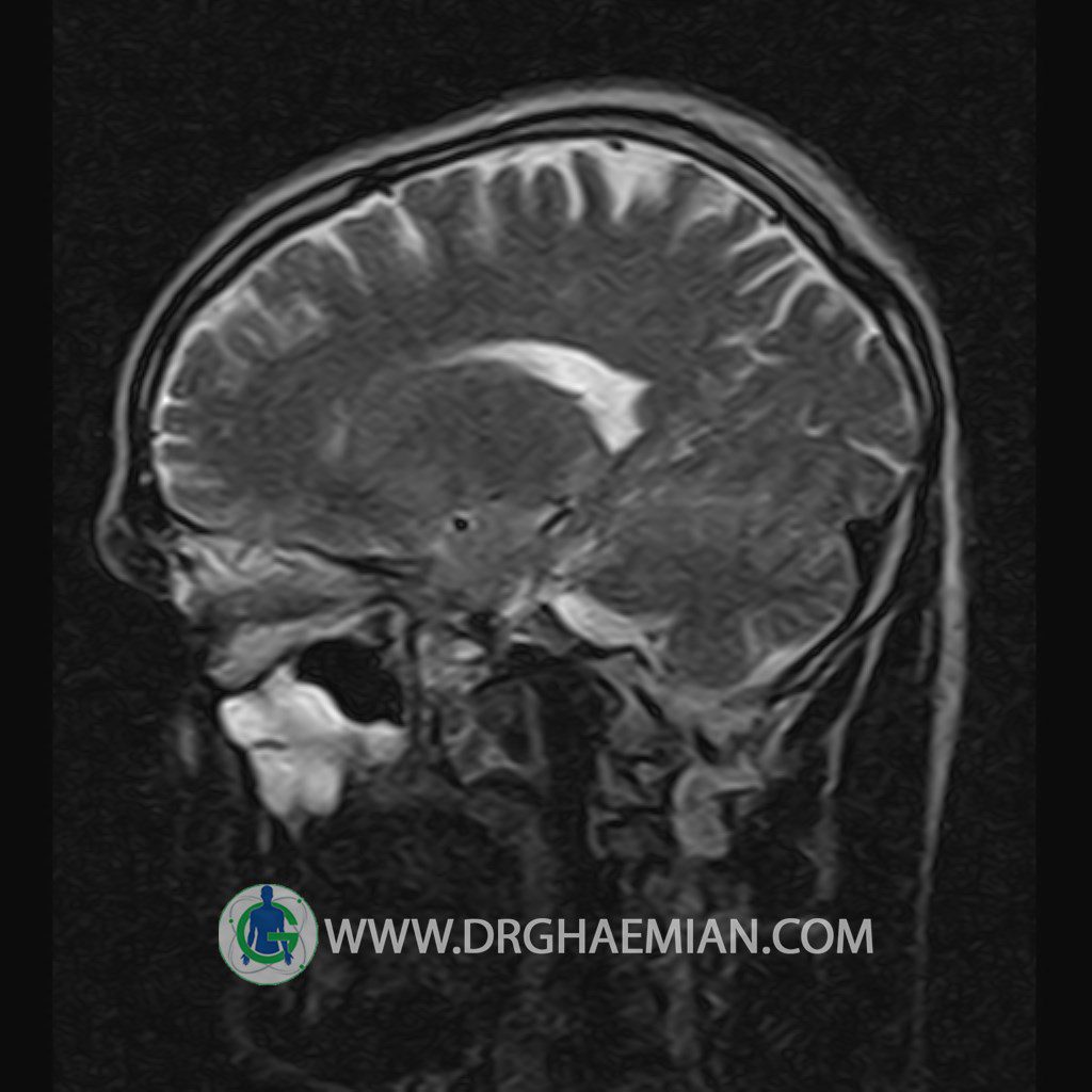
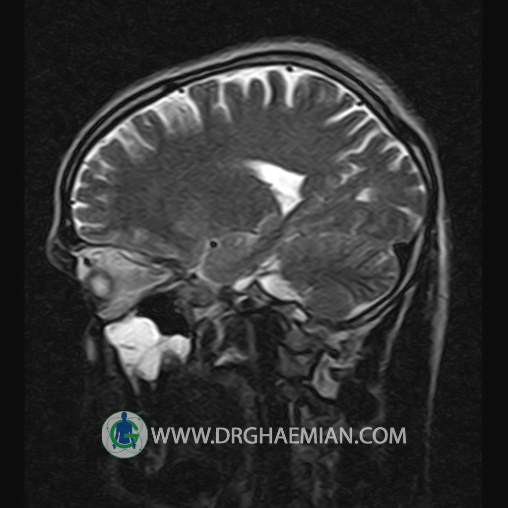
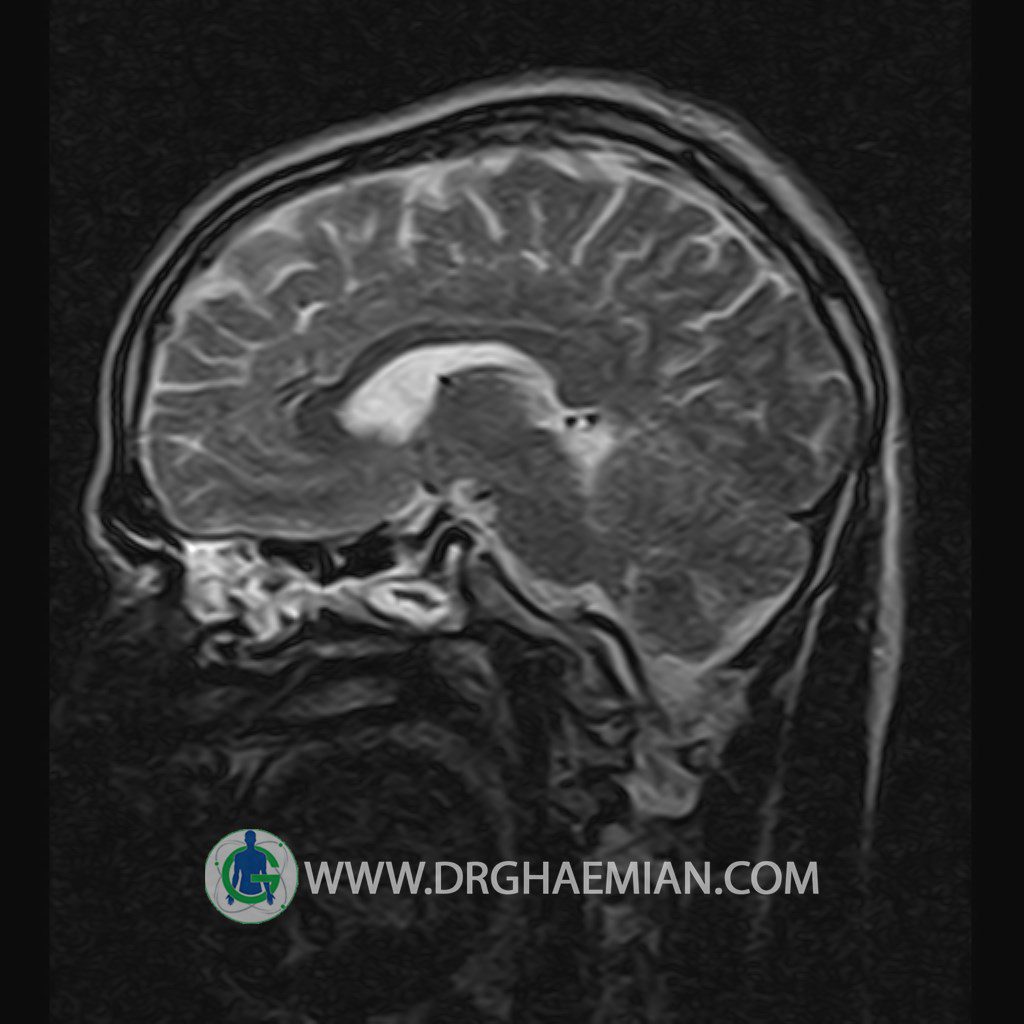
پزشکان اغلب از تصویربرداری ام آر آی برای تشخیص و درمان عارضه های پزشکی که فقط با استفاده از اشعه ایکس یا میدان مغناطیسی و امواج رادیویی قابل مشاهده است، استفاده می کنند. دستگاه ام آر آی تصاویر دقیق از ساختار های داخلی بدن ایجاد می کند. در این کیس یک میکروآدنوم در هیپوفیز بیمار مشاهده می شود.
گزارش پزشک :
HYPOPHYSIS MRI
(with and without contrast)
Technique: Axial , coronal T1 , Axial , coronal , sagittal T2 , Axial, coronal T1 post Gd & 64 dynamic thin coronal slices.
REPORT :
The infundibulum is centered and of normal size .
The optic chiasm and suprasellar spaces appear normal .
The cavernous sinus and imaged portions of the internal carotid artery and carotid siphon are unremarkable .
Evaluable portions of the neurocranium show no abnormalities .
The sphenoid sinus is clear and pneumatized .
Imaging of the hypothalamus after contrast medium administration was normal.
– Small hypoenhancing mass lesion ( 3 x 4 mm ) in posterior of pituitary stalk suggestive for micro adenoma
– Mucosal thickening in ethmoid & maxillary sinuses
is seen


































