ام آر آی هیپوفیز یک روش تصویر برداری است که از غده هیپوفیز (غده ایی کوچک در مغز که هرومون ها و دیگر غدد بدن را کنترل می کند) و ناحیه های پیرامونش در مغز تصاویری ایجاد می کند.
مهم ترین کاربرد استفاده از دستگاه های ام ار ای، انجام ام آر آی مغز و نخاع و تصویربرداری از آن برای تشخیص انواع بیماری های عصبی همچون ام اس و سکته مغزی و همچنین برای بررسی آسیب های مغزی و نخاعی مورد استفاده است.
به همین دلیل اکثر پزشکان مغز و اعصاب برای تشخیص این بیماری ها و همچنین به دلیل بی خطر بودن این نوع تصویربرداری، به بیماران توصیه می کنند که در ابتدا یک ام آر آی ساده انجام دهند تا زودتر به تشخیص دقیق تر و بهتر برسند.
آمادگی های قبل از ام آر آی هیپوفیز غده چیست؟
- در صورت نیاز پذیرشگر دستورالعمل های لازم غذایی را به شما می گوید.
- لباس راحت بپوشید.
- تمامی زیورآلات، اشیا فلزی را قبل از ام آر آی در بیاورید. اگر شما در بدن خود موردی فلزایی دارید که نمی شود جدا شود (مثل اورتودنسی یا دستگاه های پزشکی) قبل از تصویربرداری به پزشک خود بگویید. پلاک ارتودنسی معمولا قبل از ام آر آی باید برداشته شود.
- این نوع ام آر آی حداکثر 30 دقیقه طول خواهد کشید. این تصویربرداری بدون درد است.
- در ام آر آی غده هیپوفیز تششعات استفاده نمی شود. ام آر آی با استفاده از آهنربا های قوی تصاویری از غده هیپوفیز ایجاد می کند.
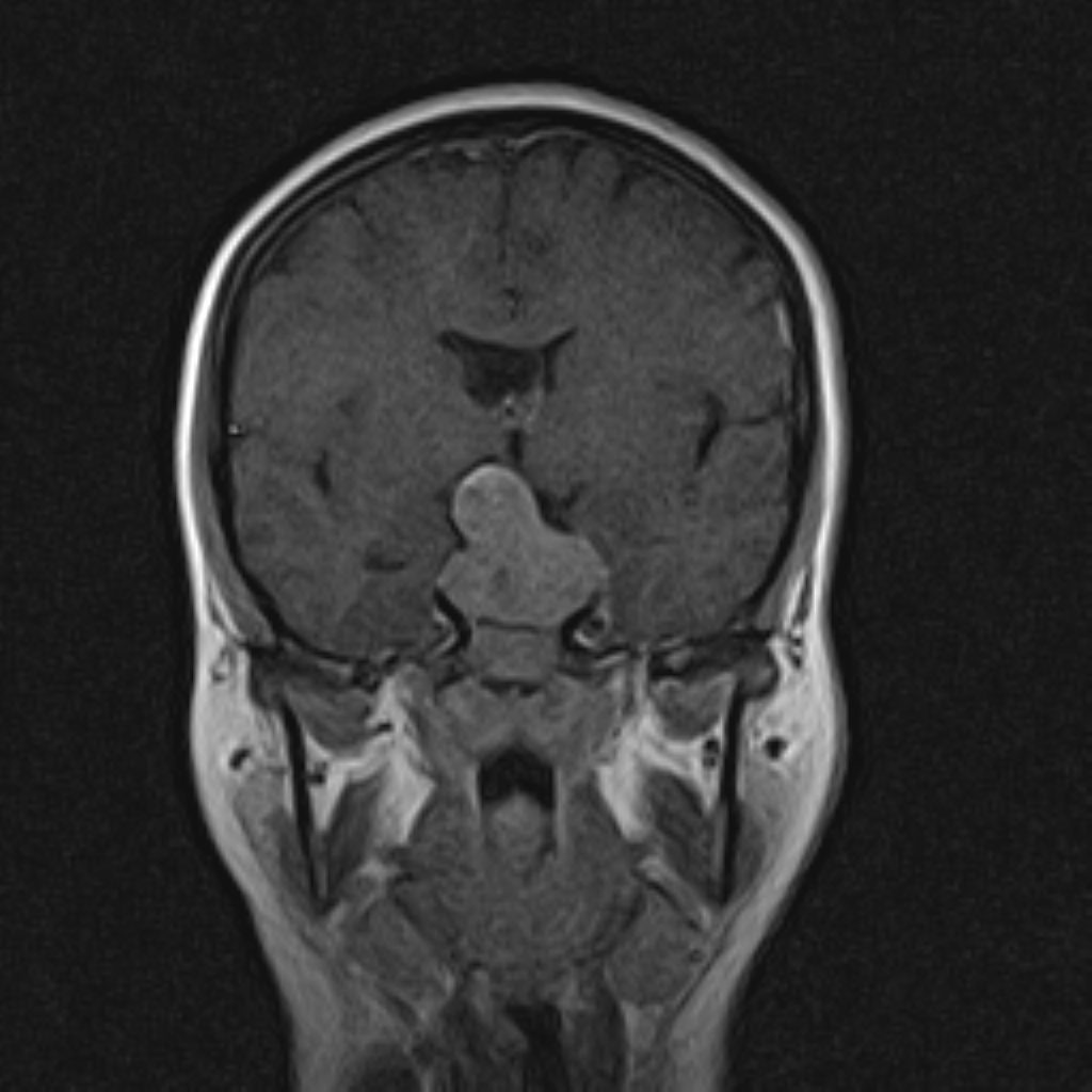
گزارش پزشک:
HYPOPHYSIS MRI
(with and without contrast)
Technique: Axial , coronal T1 , Axial , coronal , sagittal T2 , Axial, coronal T1 post Gd & 64 dynamic thin coronal slices.
REPORT :
The infundibulum is centered and of normal size .
The cavernous sinus and imaged portions of the internal carotid artery and carotid siphon are unremarkable .
The sphenoid sinus is clear and pneumatized .
– A large extra axial – iso signal mass lesion ( 20 x 36 x 48 mm ) in pituitary fossa with extention to supra sella cistern & mass effect in chiasma optic with partial encasement of right & left ICA with pituitary expansion & with post contrast homogeneous enhancement suggestive for pituitary macro adenoma ( snow man disease )

