سی تی اسکن گردن (سرویکال) یک روش تصویربرداری است که با استفاده از تشعشعات تصاویری با جزییات از ناحیه خالی گردن ایجاد میکند. در این کیس توده تیروئید و … دیده میشود
گزارش پزشک
در سی تی اسکن اسپیرال از گردن ، ریه و مدیاستن با و بدون تزریق (مولتی دیدکتور 16 با مقاطع ظریف و بازسازی های ساژیتال و کرونال):
لوب راست و چپ تیروئید شکل ، اندازه و دنسیتی نرمال دارند. نمای لارنکس و وکال کورد در حد نرمال می باشد .
سینوس های پیریفورم دو طرف سیمیتریک می باشد. راه هوائی باز و طبیعی می باشد.
غدد پاروتید و تحت فکی در دو طرف نرمال اند. نازوفارنکس و فضای پارافارانژیال طبیعی هستند.
تراشه و برونش های اصلی نرمال اند.
پنومونی، پلورال افیوژن، جابجایی محتویات مدیاستن، کلسیفیکاسیون، کیست، فیبروز ریوی و Collection مشهود نیست.
حجم ریه ها، طرح برونکو واسکولر ریه ها، فیشر ها و هیلوم دو طرف طبیعی است.
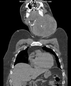
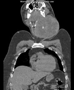
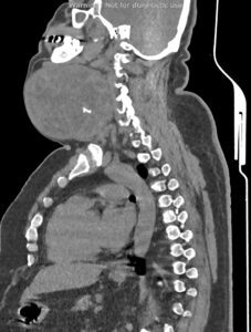
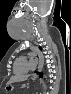
بیمار آقای 44 ساله با توده گردنی جهت بررسی بیشتر، مراجعه نمودند:
تصویر توده بزرگ به ابعاد 118x133mm در پلن آگزیال و دیامتر کرانیو کودال 126mm در سمت چپ گردن با نمای هتروژن و کلسیفیکاسیون Coarse مرکزی رویت می شود. به نظرمنشا توده ذکر شده از لوب چپ تیروئید می باشد. گسترش فوقانی توده تا سطح مهره دوم گردنی و زیر زاویه مندیبل و گسترش تحتانی آن تا ناحیه سوپراکلاویکولار بدون گسترش اینتراتوراسیک رویت می شود.
دو لنف آدنوپاتی سنترال چپ (zone 6) با حداکثر SAD=16mm مشهود است.
تعدادی لنف نود کوچک در زون های لترال دو طرف با ابعاد غیرپاتولوژیک مشهود است.
اثر فشاری توده ذکر شده به تراشه با انحراف آن به سمت مقابل رویت می شود.
اثر فشاری توده ذکر شده به ورید ژوگولارداخلی و CCA با جابه جایی خلفی و به SCM با جابه جایی خلفی لترال آن مشهود است.
مجموع یافته ها مطرح کننده توده تیروئید با اثرات ذکر شده می باشد.
ندول واضح ریوی رویت نشد. ضایعه ی استخوانی مشهود نیست.





