سی تی اسکن ناحیه گردنی ستون فقرات با استفاده از تشعشعات تصاویری با جزییات از ناحیه گردن ایجاد میکند. در این کیس لنفادنوپاتی متاستاتیک و اسکولیوز مهره های سرویکال و … دیده می شود.
گزارش پزشک
در سی تی اسکن اسپیرال از گردن با تزریق (مولتی دیدکتور 16 با مقاطع ظریف و بازسازی های ساژیتال و کرونال):
دانسیته نسوج نرم گردن در حد طبیعی میباشد. Mass و یا لنفادنوپاتی مشهود نمیباشد.
لوب راست و چپ تیروئید شکل ، اندازه و دنسیتی نرمال دارند .
نمای لارنکس و وکال کورد در حد نرمال می باشد .
سینوسهای پیریفورم دو طرف سیمیتریک میباشد. راه هوائی باز و طبیعی میباشد.
شواهد اثر فشاری بر روی عناصر خط وسط و راههای هوائی مشاهده نمیگردد.
غدد پاروتید و تحت فکی در دو طرف نرمال اند.
نازوفارنکس و فضای پارافارانژیال طبیعی هستند.
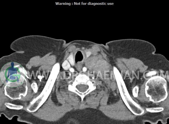
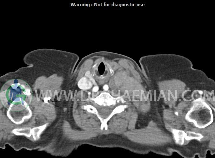
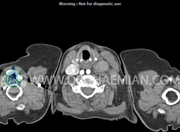
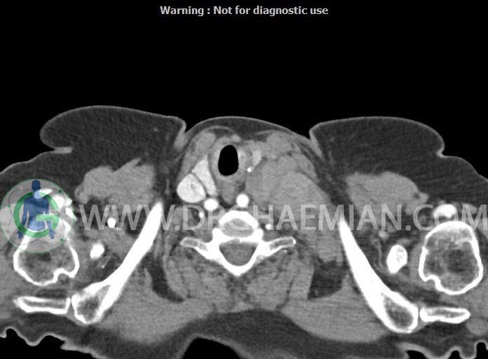
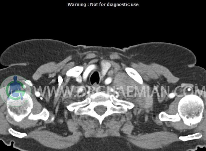
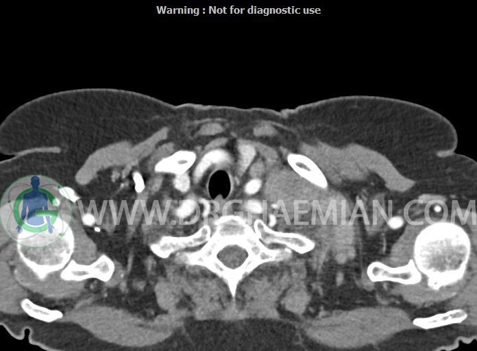
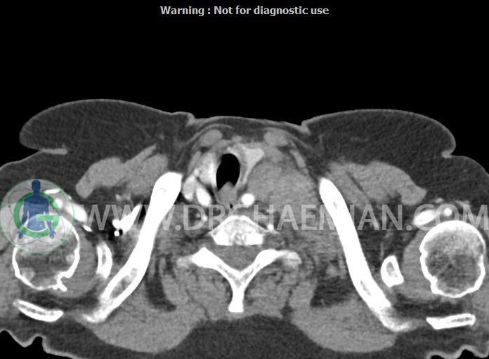
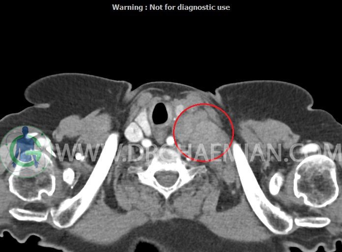
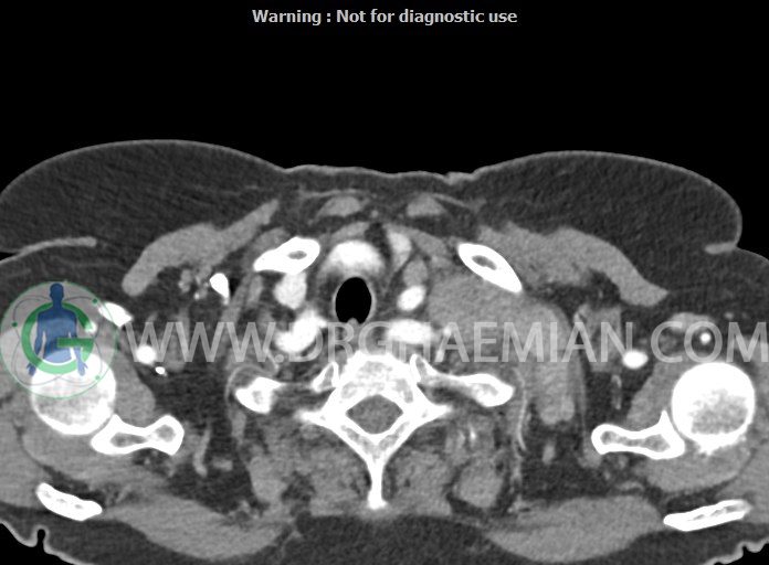
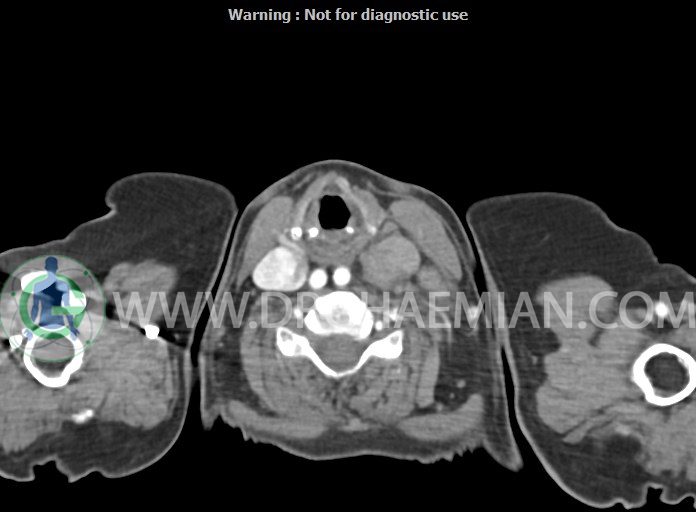
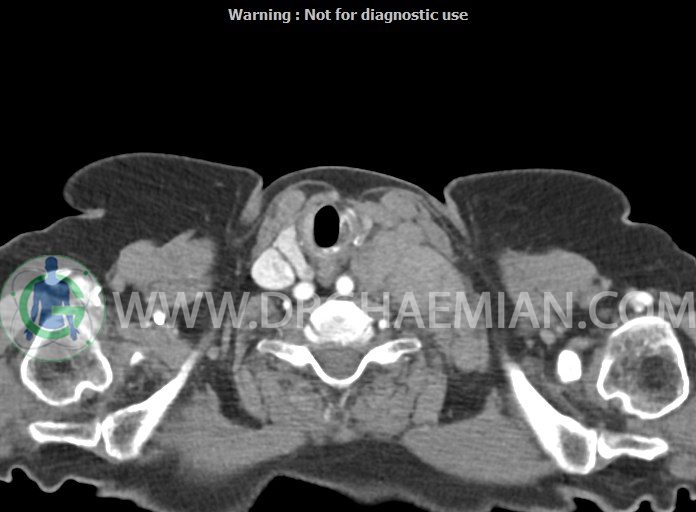
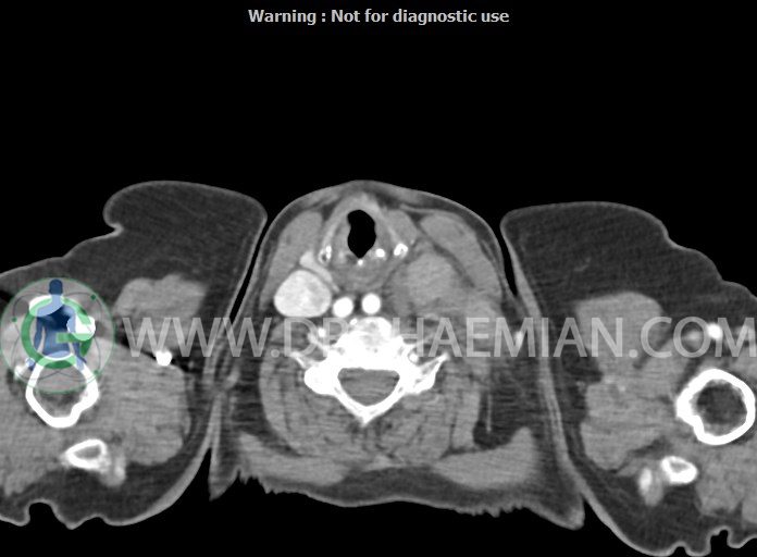
– تصویر توه های نسج نرمی oval shape متعدد با Enhancement تقریباً هوموژن، قرار گرفته در سمت چپ گردن، در لول غضروف کریکوئید با اثر فشاری شدید و compression ورید ژوگولار، با گسترش تحتانی به اینفراکلاویکولار چپ، به حداکثر ابعاد 28x50mm (با Enhancement مختصر هتروژن در این توده)
در درجه اول مطرح کننده لنفادنوپاتی متاستاتیک مطرح می باشد بالین، تومورهای منشأ گرفته از غلاف عصبی زنحیره سمپاتیک چپ گردنی، شبکه براکیال و لنفوم نیز در DDX قرار دارند. لذا نمونه برداری بافتی جهت بررسی بیشتر توصیه می شود.
– اسکولیوز مهره های سرویکال با تحدب به راست، احتمالاً در زمینه اثر فشاری توده های مذکور
مشهود است.
– لنفادنوپاتی واضح در سمت راست گردن مشهود نیست.

