سی تی اسکن شکم و لگن با استفاده از تشعشعات تصاویر عرضی از ناحیه شکم و لگن ایجاد میکند. در این کیس دیورتیکول دئودنوم، کاردیومگالی، دیلاته شدن آئورت صعودی، دیلاتاسیون نیمه فوقانی مری و … دیده می شود.
گزارش پزشک
در سی تی اسکن اسپیرال ریه و مدیاستن – شکم و لگن با و بدون کنتراست خوراکی و وریدی (مولتی دیدکتور 16 با مقاطع ظریف و بازسازی های ساژیتال و کرونال):
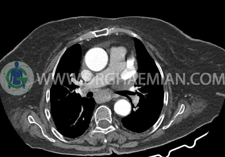
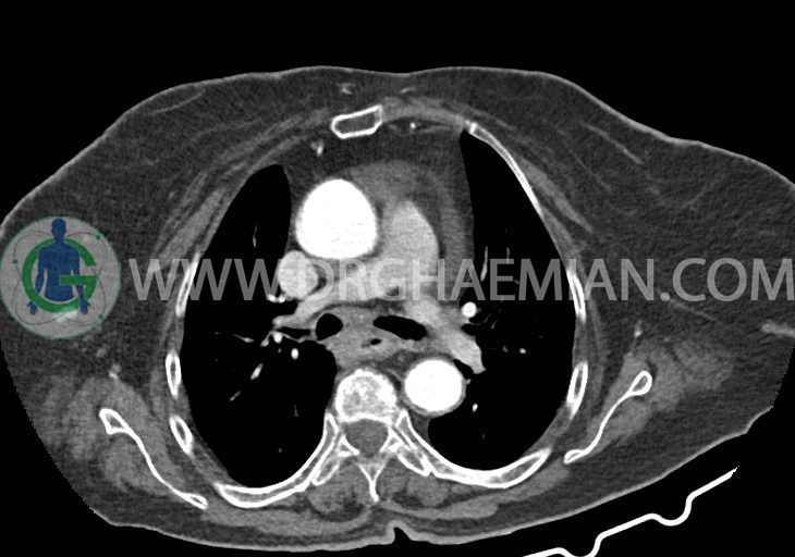
تراشه و برونش های اصلی نرمال اند. پنومونی، پلورال افیوژن، جابجایی محتویات مدیاستن ، فیبروز ریوی و Collection مشهود نیست.
ضایعه ای در کبد، کیسه صفرا، مجاری صفراوی، طحال، کلیه راست، پانکراس و آدرنالها مشهود نیست.
کلیه ها کنتراست را ترشح کرده اند و نمای سیستم پیلوکالیسیل و حالب راست نرمال است .
ضایعه ای در روده باریک و کولون مشهود نیست . مایع آزاد در حفره شکم و لگن رویت نمی شود. ضایعه ای در پروستات مشهود نیست.
بیمار کنسر مری دارد و برای بررسی متاستاز مراجعه کرده است.
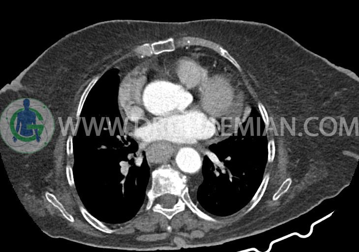
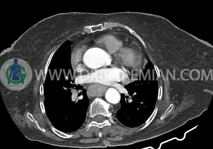
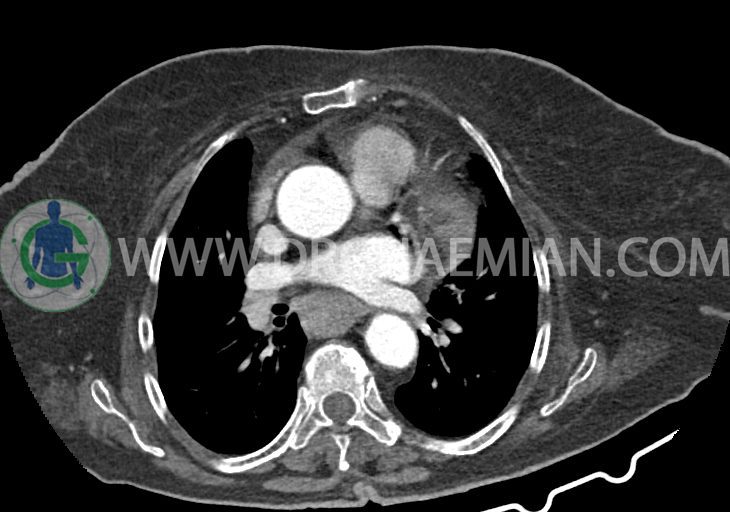
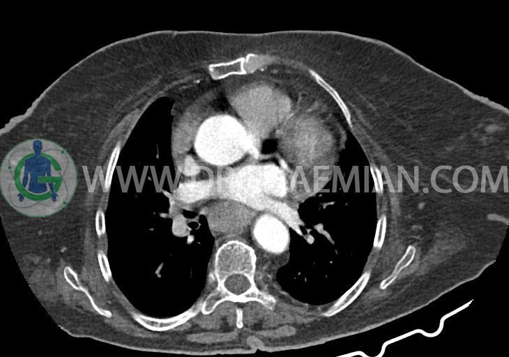
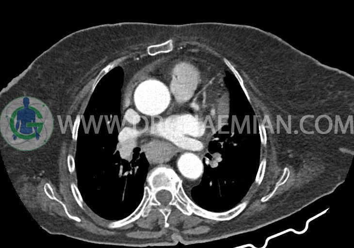
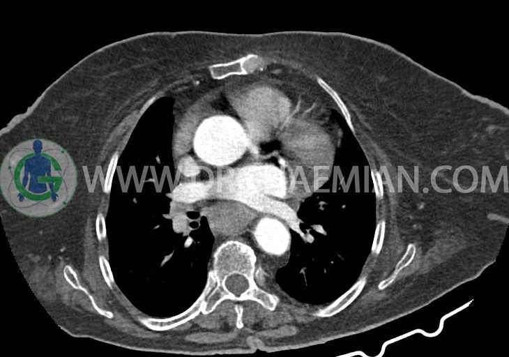
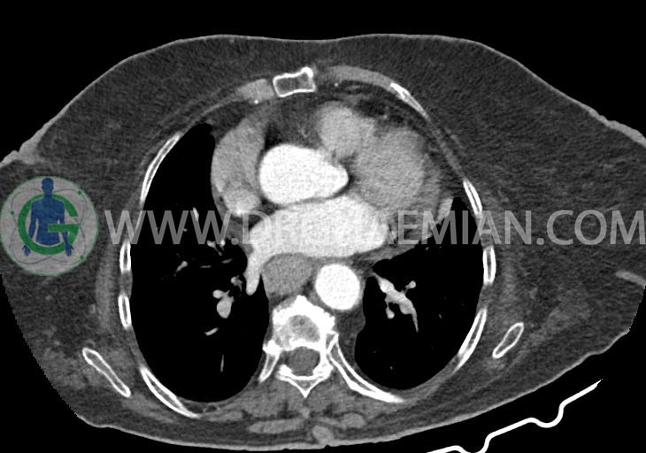
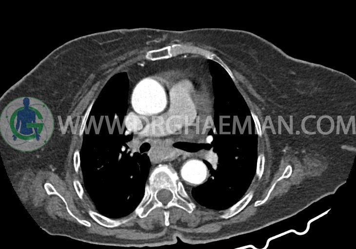
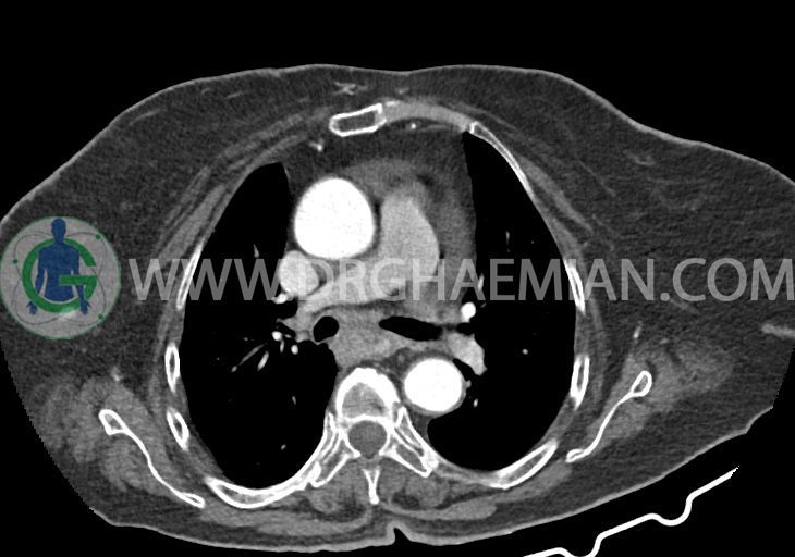
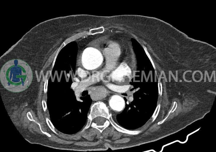
–کاردیومگالی همراه با pericardial effusion خفیف
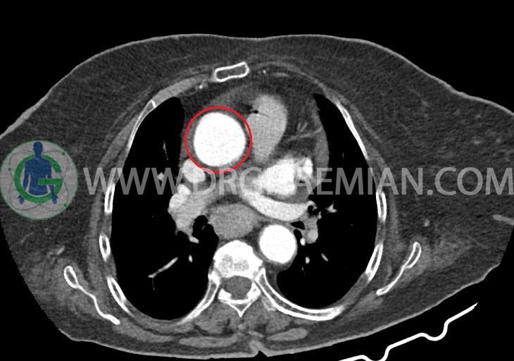
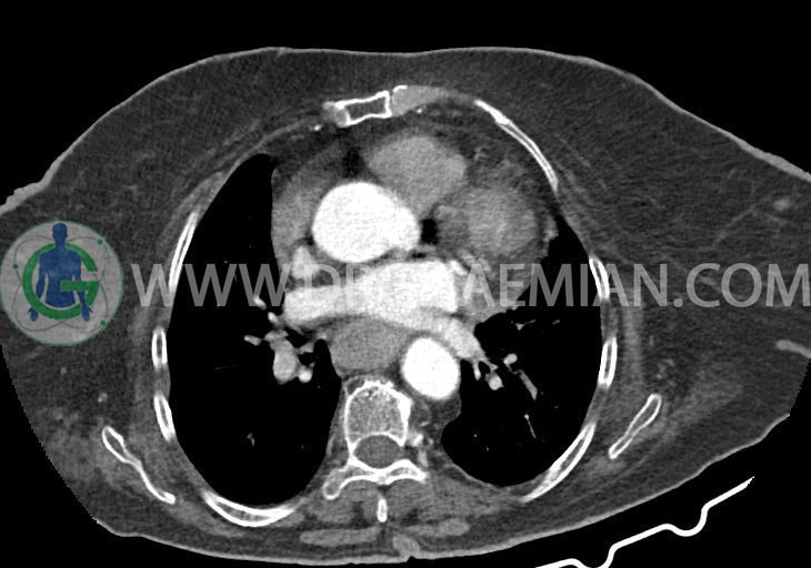
–یک ندول به ابعاد 19x18mm با حدود اسپیلوکه در سگمان لترال RML و دو ندول کوچکتر در مجاورت فوقانی آن به اقطار 6mm و 5mm ( مطرح کننده کارسینوم برونکوژنیک یا متاستاز )
–دیلاتاسیون نیمه فوقانی مری توراسیک ناشی از افزایش ضخامت circumferential توده مانند در یک سوم دیستال مری به طول 50mm ، که می تواند مطرح کننده انفیلتراسیون تومورال همراه با تنگی
–تصویر یک ناحیه نسج نرمی با ابعاد تقریبی 37x22mm ، که بنظر از جدار قدامی قسمت دوم دئودنوم برخاسته است و واجد ناحیه هایپردنس متالیک با آرتیفکت Streak ( با HU= 20000 ) مطرح کننده دیورتیکول دئودنوم، حاوی جسم خارجی و یا باریوم باقیمانده و غلیظ شده از مطالعات قبل
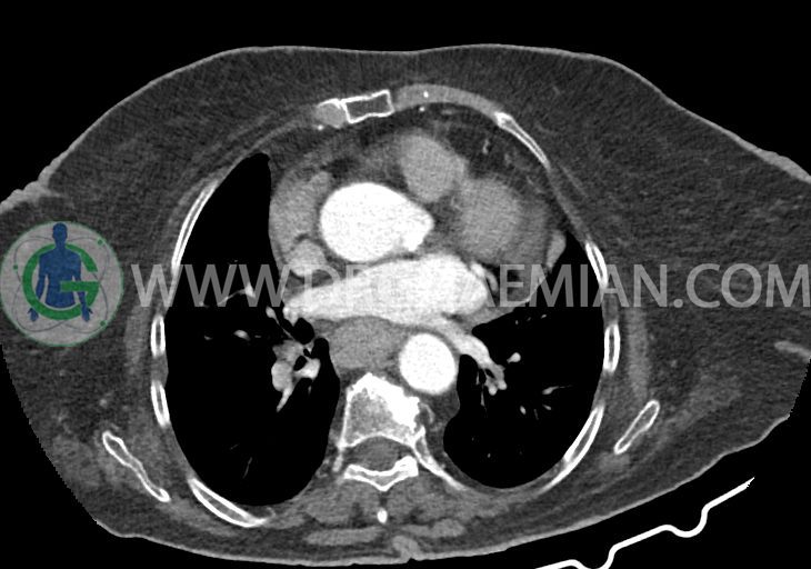
–لنف نودهای non significant مدیاستینال با حداکثر SAD=6mm در فضای پره کارینا
–ندول کلسیفیه به قطر 6mm در لوب چپ تیروئید (نیازمند تطابق سونولوژیک)
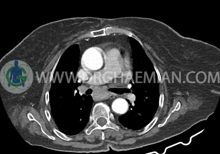
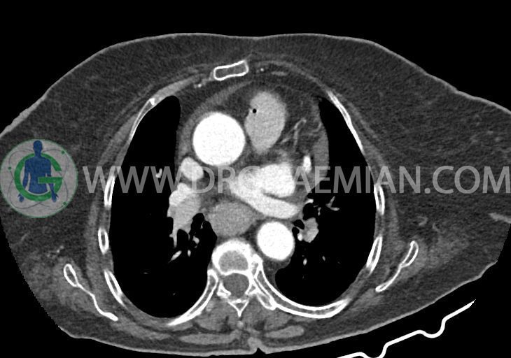
–آئورت صعودی دیلاته به قطر 38mm
–سنگ به قطر 3mm در پل فوقانی کلیه چپ
–دو کیست کورتیکال با قطر حداکثر 22mm در پل میانی کلیه راست
–افزایش ضخامت مثانه
–تغییرات دژنراتیو مهره های توراسیک و اسکولیوز توراکولومبار
اپاندیس نرمال حاوی کنتراست به قطر 6mm در اینفرومدیال به سکوم
تغییرات post menopausal در رحم وتخمدانها
مشهود است.





















