سی تی اسکن کیست کلیه در مواقعی مورد استفاده است که پزشک به مشکلی در ناحیه شکم و کلیه مشکوک است اما نمی تواند اطلاعات کافی را از طریق معاینه جسمانی یا تست های آزمایشگاهی بدست آورد.
کیست های کلیه کیسه های دایره ایی شکل و پر از مایعات هستند که بر رو یا داخل کلیه ها ایجاد می شوند. کیست های کلیه را می توان به عارضه هایی جدی که ممکن است به عملکرد های کلیه صدمه بزند ارتباط داد. اما در بیشتر مواقع کیست های کلیه از توع کیست های ساده هستند (کیست هایی غیرسرطانی که بندرت مشکلی ایجاد می کنند) .
چرا سی تی اسکن کیست کلیه تجویز می شود؟
در سی تی اسکن کیست کلیه، دستگاه تصاویری عرضی مقطع ایی از کلیه در ناحیه شکم و لگن ایجاد می کند. این تصویربرداری از اشعه ایکس برای ایجاد تصویر استفاده می کند.
دلیل ایجاد کیست های ساده کلیه نامعلوم است. معمولا یک کیست روی سطح کلیه ایجاد می شود اما چند کیست میتوانند هر دو کلیه را تحت تاثیر قرار دهند. با این حال کیست های ساده کلیه را نباید با کیست های ایجاد شده توسط بیماری کلیه پلیکیستیک اشتباه گرفت.
کیست های ساده کلیه معمولا نشانه یا علائمی ندارند. اگر کیست ساده کلیه به قدر کافی بزرگ شود، علائم آن ممکن است شامل موارد زیر شود:
- دردی مبهم در ناحیه پشت یا پهلو
- تب
- درد در قسمت بالایی شکم
گزارش پزشک:
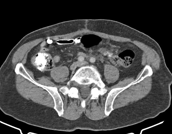
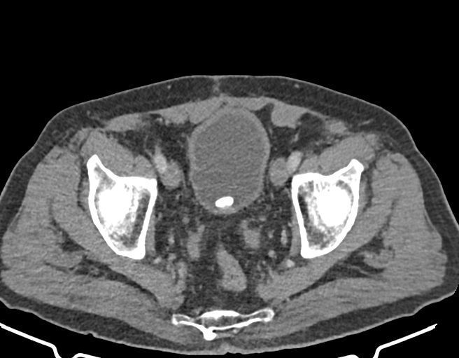
در سي تي اسکن اسپيرال شکم و لگن با و بدون کنتراست- تري فازيک کبد (مولتي ديدکتور 16 با مقاطع ظريف و بازسازي هاي ساژيتال و کرونال):
– سوچورهاي اوپک در محل اناستموز رکتو سيگموئيد، بدون نشانه هاي عود لوکال
– توده هيپودنس به قطر 35 mm در قسمت تحتاني سگمان 6 کبد (بدون تغيير نسبت به سي تي اسکن 1399/07)
– نشانه هاي التهاب در چربي مزانتر مجاور محل اتصال کولون نزولي به سيگموئيد و تصوير شبيه به توده به ابعاد mm 23 x 38 در کنار آن (که نسبت به سي تي اسکن قبل جديد مي باشد)
– کيست کورتيکال 22 mm در قسمت مياني کليه چپ
– سنگ 13 mm در مثانه
– اسکار جراحي در خط وسط ديواره شکم در سوپرا پوبيک
– کلسيفيکاسيون ديواره ائورت و شريان هاي ايلياک
– چربي در کانال اينگوينال راست مطرح کننده هرني
– هيپرلوردوز لومبوساکرال، اسکوليوزيس توراکولومبار و spondylolysis دوطرفه L5 همراه با تغييرات DJD به ويژه در ناحيه توراکولومبار مشهود است .
– targeted sonography از LLQ جهت بررسي عود لوکال پيشنهاد مي شود .

