از سی تی اسکن کیست احتباس سینوس و صورت برای بررسی حفره های سینوس پارانازال ، فضاهای تو خالی و پر از هوا در داخل استخوان های صورت و اطراف حفره های بینی استفاده می شود.
سینوس های پارانازال فضای تو خالی و پر از هوا هستند که در استخوان های صورت و اطراف حفره بینی قرار دارند و دارای یک سیستم کانال هوایی بوده که بینی را به پشت گلو متصل می کند.
چرا سی تی اسکن کیست احتباس سینوس استفاده می شود؟
در سی تی اسکن کیست احتباس سینوس، دستگاه تصاویری جداگانه از این ناحیه بدن ایجاد می کند که به آن ها اسلایس گفته می شود. با در کنارهم قرار دادن این اسلایس ها میتواند مدل های سه بعدی از گردن ایجاد کرد. کیست احتباس سینوس ماگزیلاری ضایعه ایی است که در داخل دیواره سینوس ماگزیلاری رشد می کند. آن ها معمولا توده های نرم و گنبدی شکل هستنند که در قسمت زیرین سینوس ماگزیلاری رشد می کنند.
خوشبختانه، کیست احتباس سینوس ماگزیلاری یک توده خوش خیم یا غیر سرطانی است. با این حال اگر شما مبتلا به کیست احتباس سینوس ماگزیلاری بهتر است درباره آن و راه های درمان ان بیشتر بدانید.
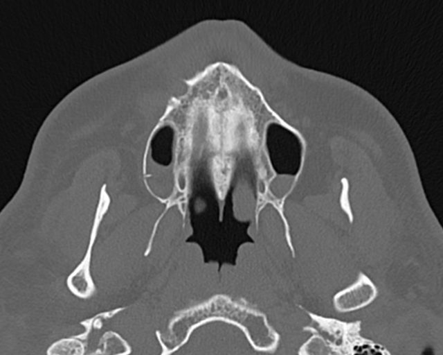
گزارش پزشک:
سی تی اسکن از سقف اربيت تا غضروف تيروئيد ( مقاطع تهيبدون کنتراست (مولتي ديدکتور 16 با مقاطع ظريف و بازسازي هاي ساژيتال و کرونال و 3D):
– انحراف سپتوم مياني بينی به چپ
– Fx با جابجايي خفيف در ديواره آنتريور سينوس ماگزيلاري راست با گسترش به ديواره فوقاني ( کف اربيت راست )
– FX با جابجايي در ديواره پوسترولترال اربيت راست همراه با هماتوم و دفورميتي سينوس
– Fx با جابجايي در ديواره لترال اربيت راست و گسترش به زايگوماي راست
– Fx سگمنتال با جابجايي در قوس زايگوماي راست
-retention cyst در کف سينوس ماگزيلاري چپ مشهود است .

