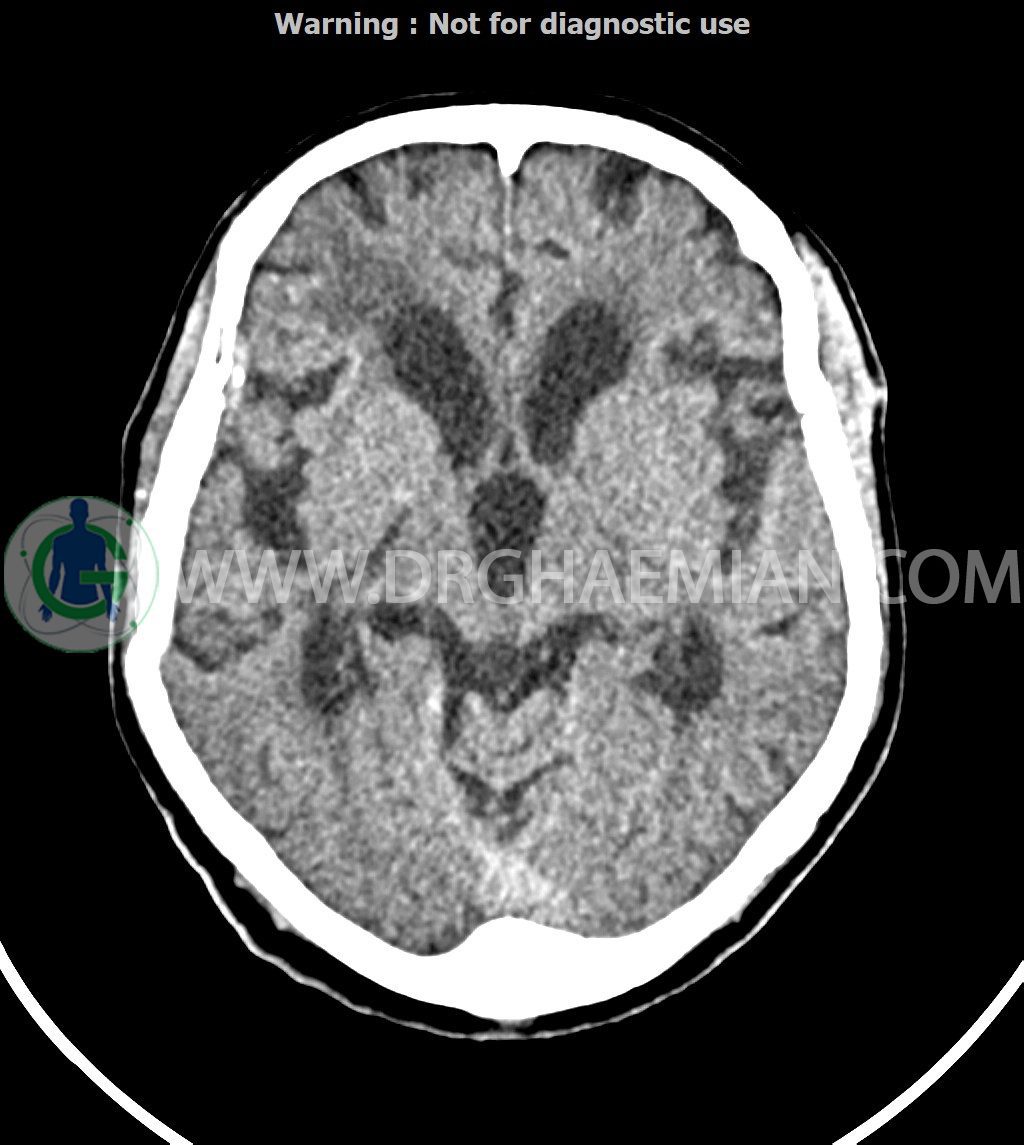
سی تی اسکن مغز با استفاده از اشعات ایکس تصاویری از سر که شامل جمجعه، مغز، حفره های چشمی و سینوس ها است ایجاد می کند. در این کیس پنوموسفالوس مختصر در فرونتوپاریتال راست مشاهده شده.
گزارش پزشک :
سی تی اسکن اسپیرال از مغز بدون کنتراست وریدی ( مولتی دیدکتور 16 با مقاطع ظریف و بازسازی های ساژیتال و کرونال):
افتراق کورتیکو مدولری در حد نرمال می باشد.
دانسیتی پارانشیم مغز شامل هسته های بازال، تالاموس، کپسول داخلی و خارجی، پایک های مغزی، پونس و مخچه در حد نرمال می باشد.
دانسیتی و شکل استخوان های کالواریوم طبیعی است.
در نسج نرم اوربیت ، اسکالپ و سینوس های پارانازال ضایعه ای مشهود نیست.
-شواهد جراحی مغز شامل کرانیوتومی فرونتوپریتوتمپورال سمت راست ، هماتوم و آمفیزم زیرجلدی و پنوموسفالوس مختصر در فرونتوپاریتال راست
-هماتوم ساب دورال (SDH ) مختصر (حداکثر ضخامت 4mm ) در فرونتوپاریتال راست و همچنین در تنتوریوم و فالکس خلفی
-آتروفی خفیف و منتشر پارانشیم مغز (1 GCA )
-ونتریکولومگالی در بطن های جانبی بصورت نامتناسب با اتروفی کورتیکال که می تواند در زمینه NPH (normal pressure hydrocephalus) باشد. تطابق با یافته های بالینی توصیه می شود.
-هایپودنسیتی منتشر در نواحی پری ونتریکولار به نفع Small vessel disease
-کلسیفیکاسیون فالکس قدامی و غده پینه آل (یافته نرمال با توجه به سن ) مشهود است.







