سی تی اسکن شکم و لگن با استفاده از اشعات ایکس تصاویر عرضی از ناحیه شکم و لگن ایجاد میکند. در این کیس پانکراتیت (التهاب پانکراس)، کیست های کورتیکال در هر دو کلیه، پروستات بزرگتر از نرمال و … مشاهده می شود.
گزارش پزشک
در سی تی اسکن اسپیرال ریه ها و مدیاستن، شکم و لگن با و بدون کنتراست وریدی (مولتی دیدکتور 16 با مقاطع ظریف و بازسازی کرونال) :
تراشه و برونش های اصلی نرمال اند.
پلورال افیوژن، جابجایی محتویات مدیاستن، کلسیفیکاسیون، کیست، فیبروز ریوی و Collection مشهود نیست.
حجم ریه ها، طرح برونکو واسکولر ریه ها، فیشر ها و هیلوم دو طرف طبیعی است.
ضایعه ای در کبد، کیسه صفرا، کلیه ها و آدرنالها مشهود نیست.
کلیه ها کنتراست را ترشح کرده اند و نمای سیستم پیلوکالیسیل و حالب دو طرف نرمال است .
ضایعه ای در معده ، روده باریک و کولون مشهود نیست .
مایع آزاد در حفره شکم و لگن رویت نمی شود.
ضایعه ای در مثانه مشهود نیست.
–لنف نودهای مدیاستن با SAD ≤ 9 mm
–افزایش ضخامت تومورال دیستال مری و GEJ در سگمانی به طول 4cm-5cm (T2 or T3)
-3 لنف نود رژیونال با SAD ≤ 9 mm دیده می شود. (N2)
–توده هیپودنس به قطر 10mm در پارانشیم طحال مشهود است. Quadriphasic MRI پیشنهاد می گردد.
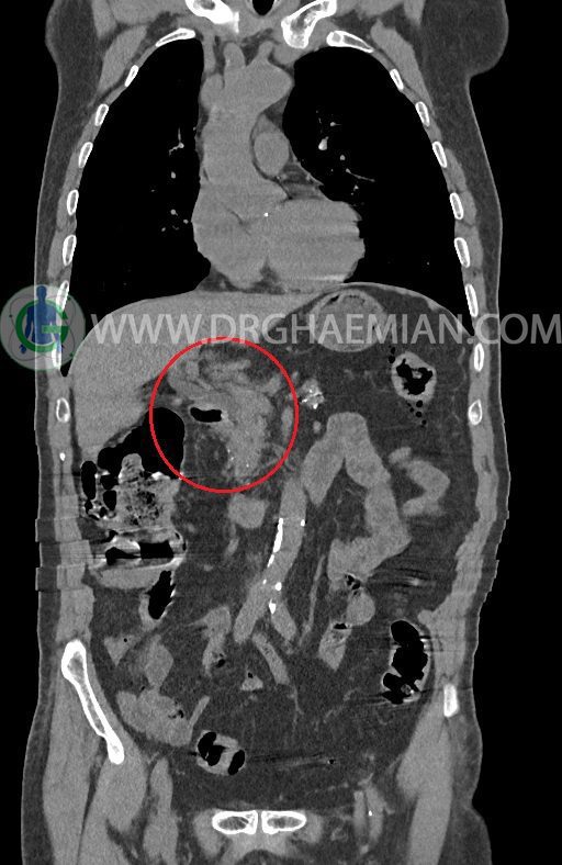
–آتروفی نسبی پانکراس همراه با فوکوس های کلسیفیه ی منتشر پارانشیم مطرح کننده ی پانکراتیت مزمن
-CBD بسیار دیلاته (16mm) همراه با دیلاتاسیون مجاری داخل کبدی سنترال بدون شواهد سنگ یا توده در مسیر
–کیست های کورتیکال متعدد هر دو کلیه به بزرگترین قطر 56mm
–پروستات به دیامتر عرضی بزرگ حاوی فوکوس کلسیفیه
–لومباریزاسیون مهره S1
مشهود است.
نتیجه : T(2or3)/N2/M0

