سی تی اسکن لوس بادیز زانو یک روش تصویربرداری است که از استفاده از تششعات ایکس از زانو تصاویری با جزییات ایجاد می کند.
لوس بادیز (loose bodies) در ناحیه مفصلی زانو، خورده های شکسته شده غضروف یا استخوان هستند که آزادانه در مایع مفصلی یا زلاله ایی در ناحیه زانو حرکت می کنند.
چرا سی تی اسکن لوس بادیز زانو استفاده می شود؟
لوس بادیز (loose bodies) در ناحیه مفصلی زانو، خورده های شکسته شده غضروف یا استخوان هستند که آزادانه در مایع مفصلی یا زلاله ایی در ناحیه زانو حرکت می کنند. این تکه ها می توانند با قرار گرفتن بین مفصل ها حرکت های خمیدگی و کششی زانو را منحل کند.
لوس بادیز می توانند اندازه های مختلفی از چند میلیمتر تا چند سانتی متر داشته باشند. این شکستگی ها می توانند منجر به آسیب رسیدن به غضروف مفصلی شوند که باعث ایجاد آرتروز می شود.
دلایل ایجاد لوس بادیز:
- آسیب به غضروف در حین تصادف یا سوانح ورزشی می توانند باعث ایجاد لوس بادیز شود.
- آرتروز یا بیماری شارکو، اما دلیل ثانویه، آسیب مستقیم یا غیر مستقیم می باشد.
- لوس بادیز های فیبرینی در صورت وجود مشکلات التهابی در زانو.
- عارضه نادر کندروماتوز سینوویال (Synovial chondromatosis) یا همان استئوکندروماتوز سینوویال (synovial osteochondromatosis). در این عارضه، زلاله بصورت غیر طبیعی رشد می کند و نودل های از جنس غضروف تولید می کند.
گزارش پزشک:
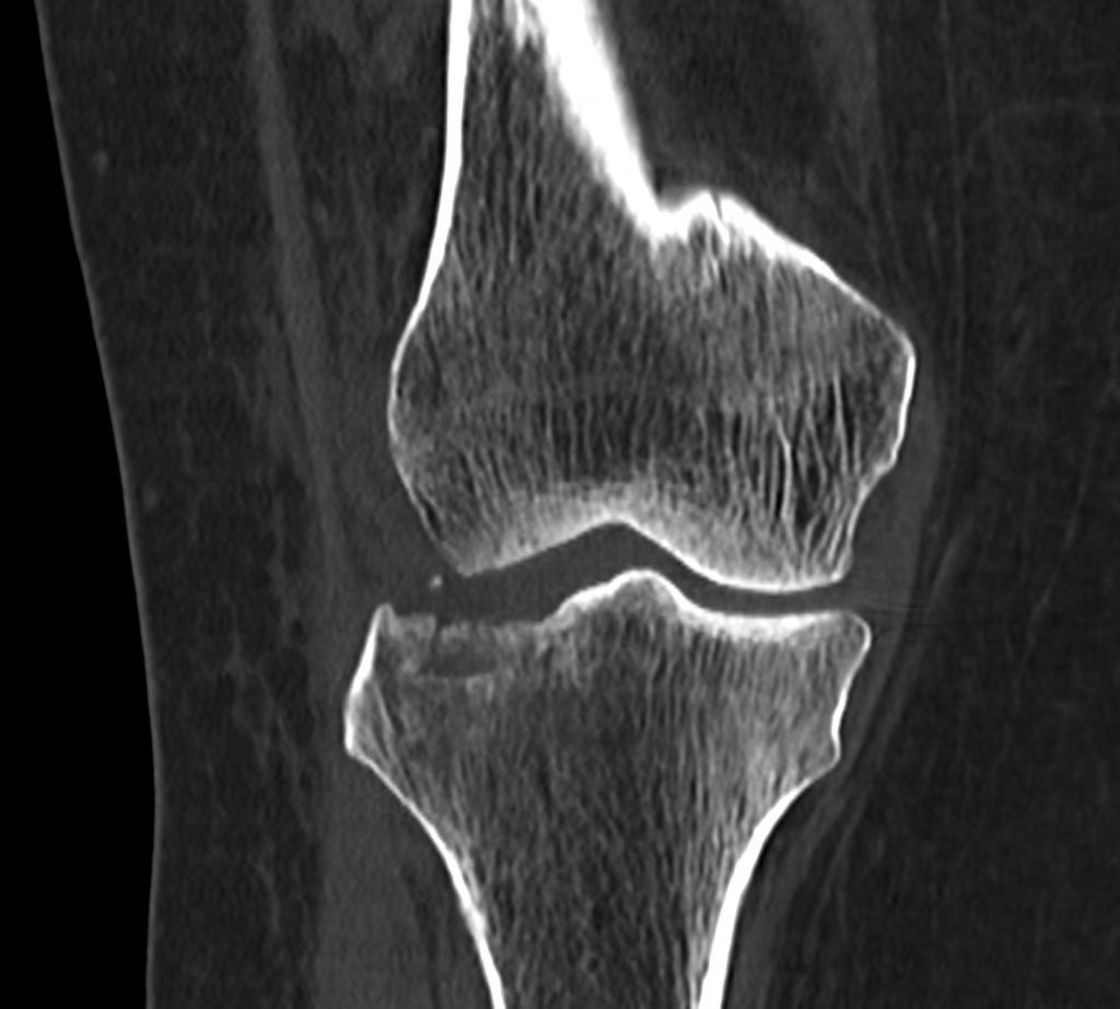
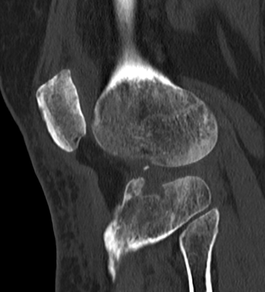
سي تي اسکن اسپيرال زانوي راست ( مولتي ديدکتور 16 با مقاطع ظريف و بازسازي هاي ساژيتال و کرونال و 3D):
– دفورميتي پلاتوي لترال تيبيا ناشي از depressed Fx و فرورفتگي در سطح مفصلي پلاتوي لترال
– نشانه هاي cortical Fx بدون جابجايي در کنديل لترال فمور
– loose body استخواني به ابعاد mm 2 x 3 در انترولترال مفصل زانو و
– افيوژن خفيف در مفصل زانو همراه با تورم نسج نرمي در اطراف آن
مشهود است .
در رادیوگرافی ارسالی 05/10/99 زانوی راست :
depressed Fx در پلاتوي لترال تيبيا مشهود است .

