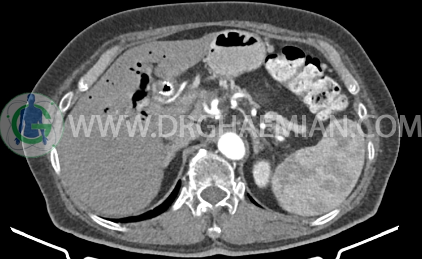
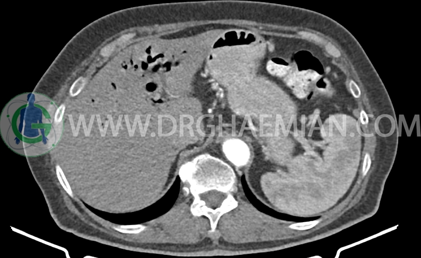
سی تی اسکن شکم و لگن از تشعشعات برای ایجاد تصاویر عرضی مقطعی از شکم و نایحه بین استخوان های لگن استفاده میکند. در این کیس سرطان پانکراس، اتروفی پانکراس، آسیت در ناحیه لگن و کلسیفیکاسیون شریان آئورت و ایلیاک دیده می شود.
گزارش پزشک
در سی تی اسکن اسپیرال شکم و لگن با و بدون کنتراست خوراکی و وریدی- پروتکل پانکراس (مولتی دیدکتور 16 با مقاطع ظریف و بازسازی های ساژیتال و کرونال) :
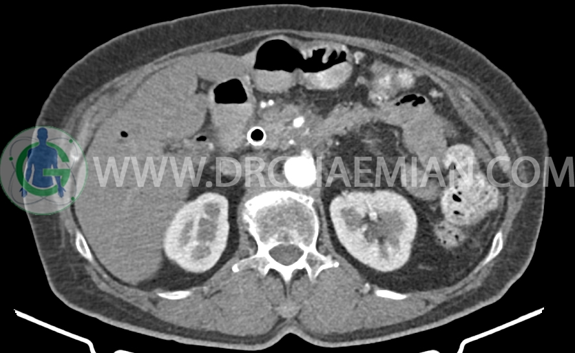
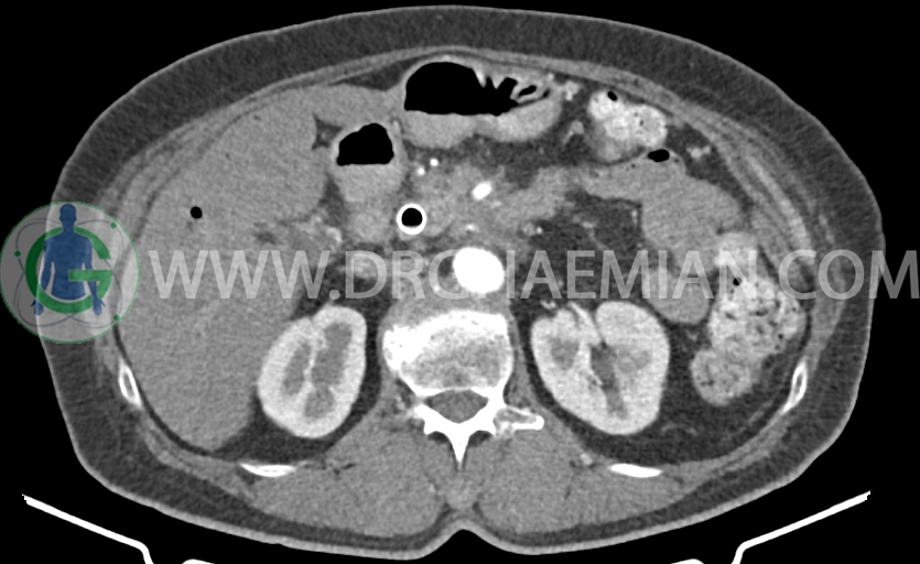
ضایعه ای در کبد، طحال، کلیه راست و آدرنالها مشهود نیست.
کلیه ها کنتراست را ترشح کرده اند و نمای سیستم پیلوکالیسیل و حالب راست نرمال است .
ضایعه ای در روده باریک و کولون مشهود نیست .
ضایعه ای در مثانه، رحم، تخمدانها و آدنکس ها مشهود نیست.
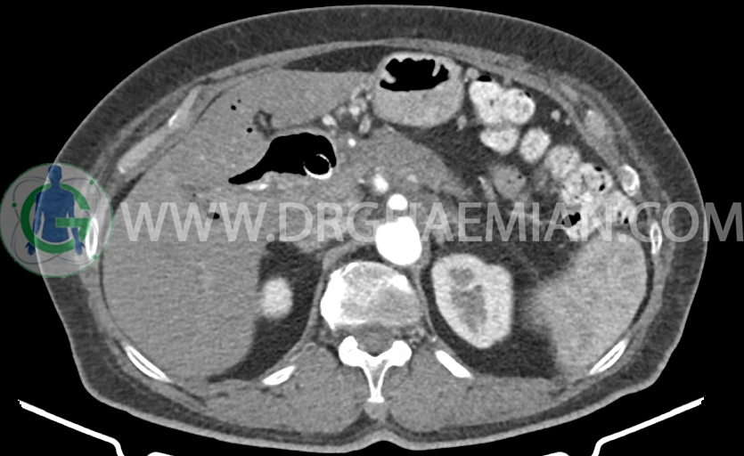
– Stent در CBD
–دانسیته هوا در CBD و مجاری صفراوی داخل و خارج کبدی و کیسه صفرا (ثانویه به دستکاری)
–مجاری صفراوی داخل کبدی مختصر دیلاته است.
-CHD دیلاته (20mm)
– توده هیپودنس ill – defined با حداکثر دیامتر تقریبی 50mm در ناحیه گردن و پروگزیمال body پانکراس( بدون تغییر قابل توجه در سایز نسبت به سی تی اسکن 1401/9/17 )
همراه با encasement در SMA ،SMV، شریان اسپلنیک، شریان هپاتیک و پروگزیمال ورید پورت (بدون تغییر نسبت به سی تی اسکن 1401/9/17)
– اتروفی دیستال پانکراس (بدون تغییر نسبت به سی تی اسکن 1401/9/17)
– شواهد فوق مطرح کننده ضایعات malignant پانکراس ( آدنوکارسینوم ) می باشد که بر اساس معیار های
NCCN ،localy advanced و unresectable می باشد.
– لنف نودهای متعدد با حداکثر SAD=6mm در اطراف توده فوق الذکر، پانکراس و مزانتر (بدون تغییر قابل توجه نسبت به سی تی اسکن 1401/9/17)
-Fat stranding در اطراف پانکراس و فضاهای مزانتر در Mid line و Mid abdomen
– Fullness در سیستم پیلوکالیسیل کلیه ها (بیشتر سمت چپ) احتمالاً فاقد اهمیت بالینی است و نسبت به سی تی اسکن قبلی بهبود نشان می دهد.
–پرومیننسی عروق لگنی، بدون تغییر نسبت به سی تی اسکن قبلی) (?Pelvic congestion syndrome )
-مایع آسیت اندک در حفره لگن (کاهش نسبت به سی تی اسکن قبلی)
-کلسیفیکاسیون جدار آئورت و ایلیاک
–نمای شبیه به افزایش ضخامت جداری Circumferential در ناحیه آنتروپیلور معده با نمای غیراختصاصی دیده شد.
– spondylolysis دوطرفه L5/S1 همراه با spondylolisthesis گرید 1 در L5/S1 و DJD خفیف در مهره های توراکولومبار
مشهود است.






















