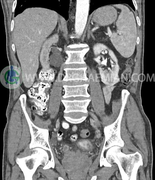
سی تی اسکن لگن و شکم از تشعشعات برای ایجاد تصاویر عرضی مقطعی از لگن و شکم استفاده می کند. در این کیس سرطان سلول انتقالی کلیه، ضایعه کبدی، دیورتیوکولوز، کیست کورتیکال در کلیه چپ، پروستات بزرگ شده، افزایش ضخامت دیواره مثانه دیده می شود.
گزارش پزشک
در سی تی اسکن اسپیرال شکم و لگن با و بدون کنتراست خوراکی و وریدی (مولتی دیدکتور 16 با مقاطع ظریف و بازسازی های ساژیتال و کرونال) :
ضایعه ای در کیسه صفرا، مجاری صفراوی، طحال، کلیه چپ ، پانکراس و آدرنالها مشهود نیست مایع آزاد در حفره شکم و لگن رویت نمی شود.
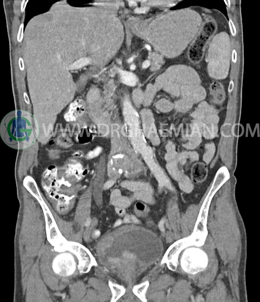
ضایعه کبدی هیپودنس بسیار کوچک به قطر 6mm در سگمان 7 لوب راست کبد مشهود است که با توجه به سایز بسیار کوچک ان در سی تی اسکن به خوبی کارکتریزه نمی شود.
تصویربرداری هایfollow upجهت رد کردن متاستاز توصیه می شود.
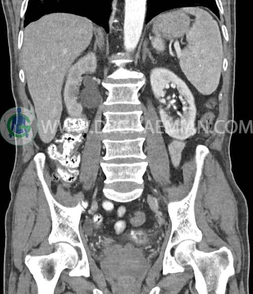
دیورتیکولوز خفیف پراکنده بیشتر در کولون نزولی رویت شد.
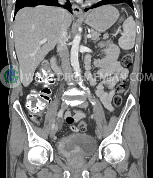
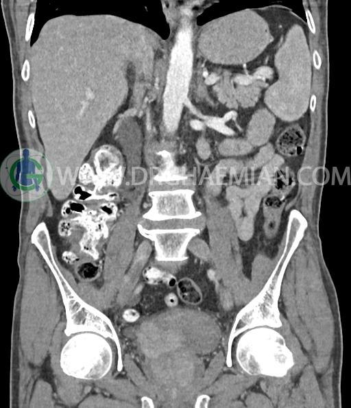
کیست کورتیکال به قطر 15mm در پل تحتانی کلیه چپ دیده می شود.
کلسیفیکاسیون دیواره ائورت مشهود است.
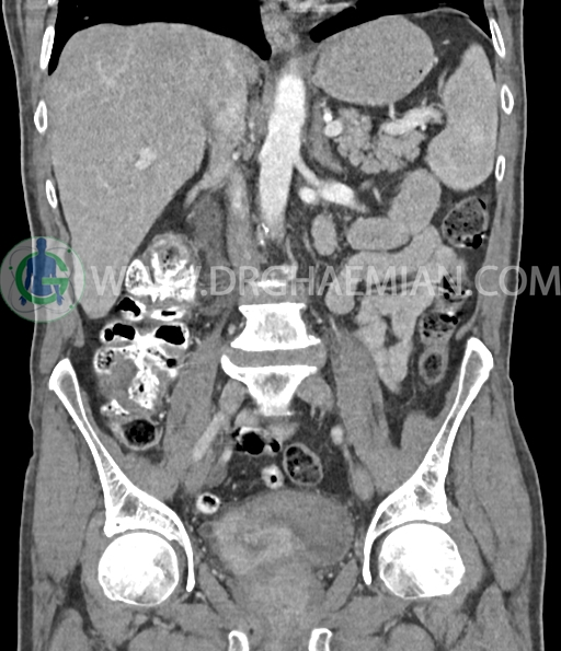
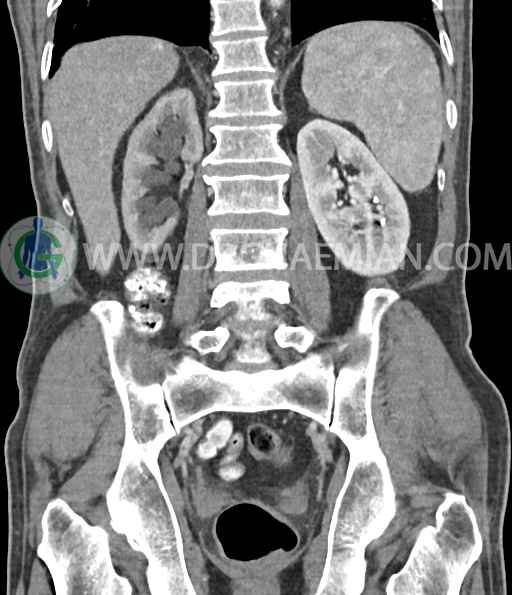
پروستات با دیامتر عرضی 60mmبزرگ تر از نرمال، همراه با bulging لوب مدین به کف مثانه رویت شد.
افزایش ضخامت جداری مثانه مشهود است.
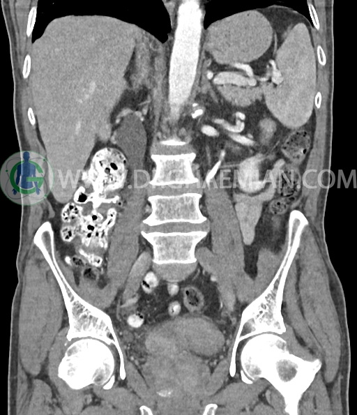
افزایش ضخامت جداری و نامنظمی و لوبولاسیون همراه باenhancement مطرح کننده انفیلتراسیون و ضایعات تومورال در سمت راست ناحیه ترایگون و دیواره لترال راست مثانه دیده می شود که باعث اتساع حالب راست و هیدرونفروز moderate در کلیه راست شده است . این یافته های می توانند مطرح کننده TCC باشند .fat stranding در اطراف مثانه مشهود است. بیرون زدگی توده مانند به قطر 18mm در سمت راست ناحیه ترایگون دیده می شود که می تواند مطرح کننده گسترش اکسترا وزیکولر تومور باشد . لنفادنوپاتی با SAD=10mm درlevel ایلیاک داخلی چپ رویت شد . لنف نود دیگر با SAD= 5mm در همین ناحیه مشهود است. با توجه به این یافته ها stage احتمالی تومور T3، N1 or N2 می باشد .






















