سی تی اسکن شکم و لگن از تششعات برای ایجاد تصاویر عرضی مقطعی از نایحه شکم و لگن استفاده می کند. در این کیس سرطان روده بزرگ، افزایش ضخامت دیواره رکتوم، کلسیفیکاسیون دیواره آئورت و … دیده می شود.
گزارش پزشک
در سی تی اسکن اسپیرال ریه، مدیاستن و شکم و لگن با کنتراست خوراکی و وریدی (مولتی دیدکتور 16 با مقاطع ظریف و بازسازی های ساژیتال و کرونال) :
تراشه و برونش های اصلی نرمال اند.
پنومونی، پلورال افیوژن، جابجایی محتویات مدیاستن، فیبروز ریوی و Collection مشهود نیست.
ضایعه ای در کبد، کیسه صفرا، مجاری صفراوی، کلیه ها، پانکراس و آدرنالها مشهود نیست.
کلیه ها کنتراست را ترشح کرده اند و نمای سیستم پیلوکالیسیل و حالب دو طرف نرمال است .
مایع آزاد در حفره شکم و لگن رویت نمی شود.ضایعه ای در مثانه مشهود نیست.
ندول ایزودنس به قطر 13mm در لوب راست تیروئید ( نیازمند مطابقت سونولوژیک )
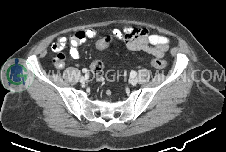
دو لنف نود کوچک با طرح benign و با حداکثر SAD=6mm در محل آئورتوایلیاک چپ
accessory spleen به قطر 10 مجاور قطب تحتانی طحال
افزایش ضخامت دیواره رکتوم در ناحیه ای به طول 60mm همراه با نامنظمی سطح سروزال و حدود ده لنفادنوپاتی رژیونال با حداکثر SAD= 10mm
نشانه های TAH – BSO با vginal cuff نرمال
کلسیفیکاسیون دیواره آئورت، شریان های ایلیاک و عروق کرونر
اپاندیس نرمال رتروسکال به قطر 7mm و تغییرات DJD در ناحیه توراسیک
مشهود است.
collorectal cancer staging :T4a,N2b,Mx(M0? )
در صورت تایید پاتولوژیک
































