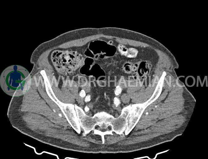
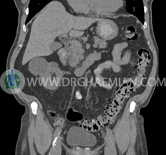
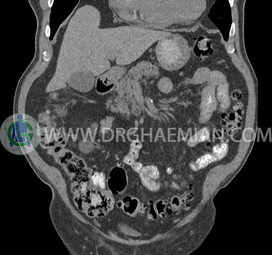
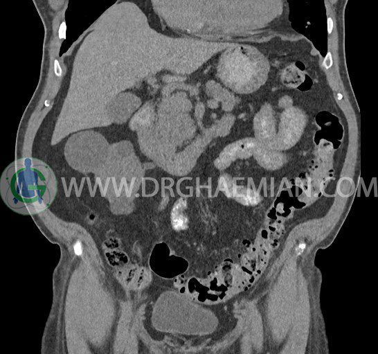
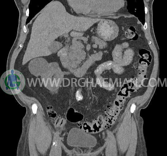
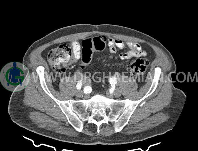
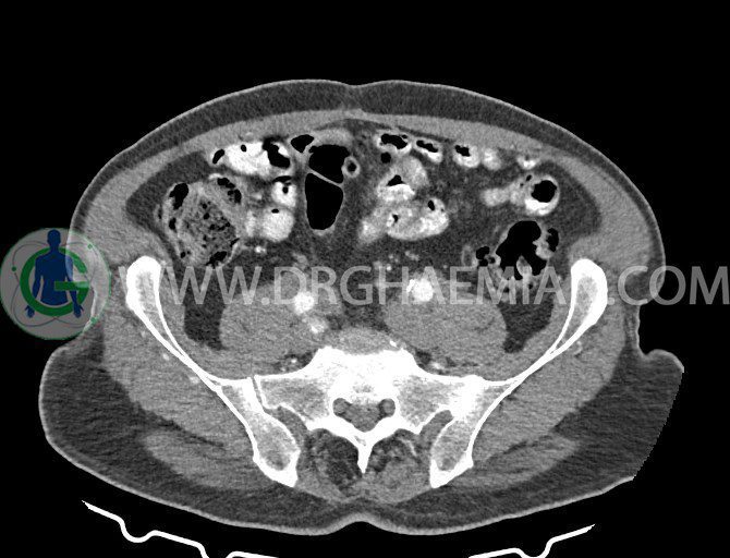
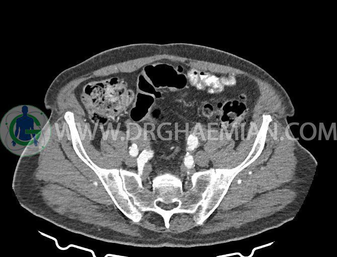
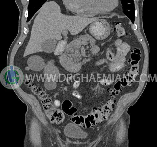
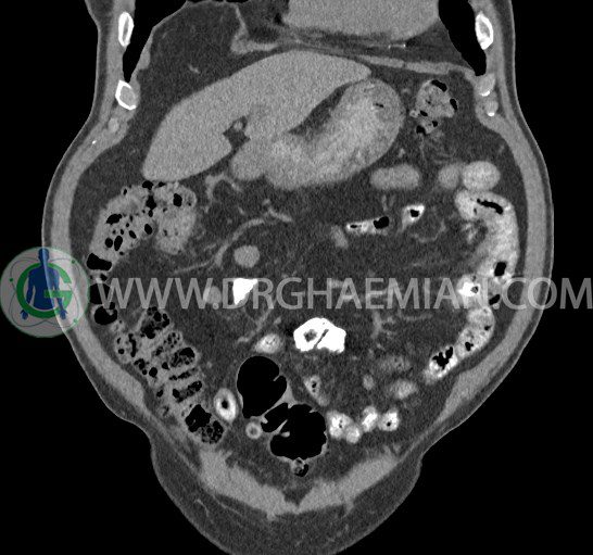
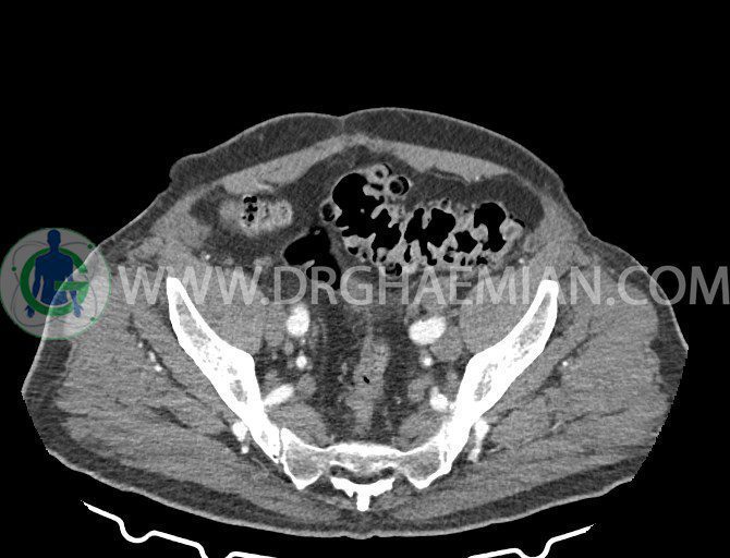
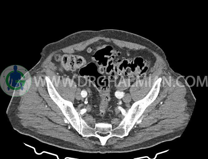
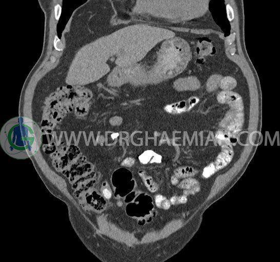
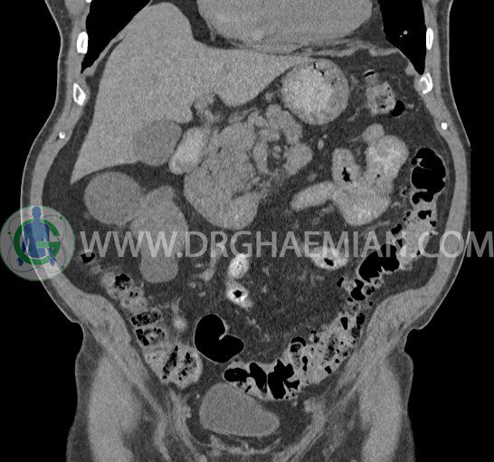
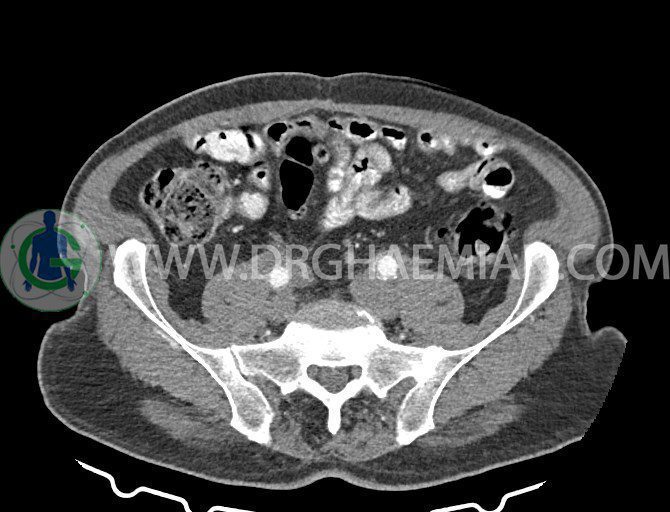
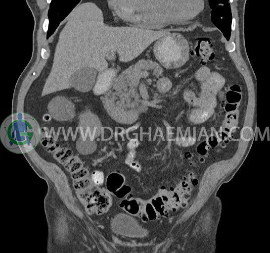
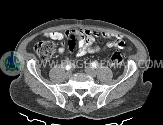
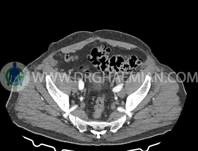
سی تی اسکن لگن یکی از روش های تصویربرداری با سی تی اسکن است. این روش با استفاده از تشعشعات تصاویر عرضی از ناحیه شکمی ایجاد میکند. در این کیس ديورتيكولوزيس، کیست های کورتیکال در هر دو کلیه، لنفادنوپاتی، کلسیفیکاسیون دیواره آئورت و شریان ایلیاک، تغییرات DJD ناحیه توراکولومبار و پروستات بزرگتر از عادی دیده می شود.
گزارش پزشک :
در سي تي اسکن اسپيرال شکم و لگن با و بدون کنتراست خوراکی و وريدی (مولتي ديدکتور 16 با مقاطع ظريف و بازسازي هاي ساژيتال و کرونال):
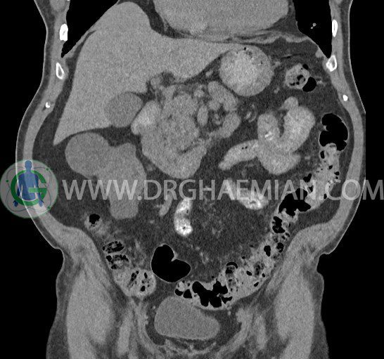
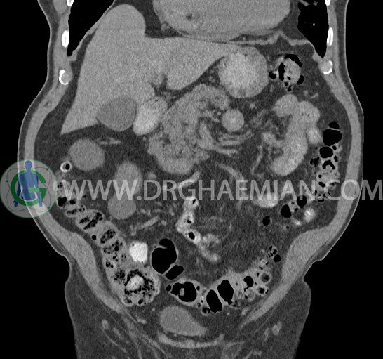
ضايعه ای در کبد، کيسه صفرا، مجاری صفراوی، طحال، کليه ها، پانکراس و آدرنالها مشهود نيست.
کليه ها کنتراست را ترشح کرده اند و نماي سيستم پيلوکاليسيل و حالب دو طرف نرمال است .
مايع آزاد در حفره شکم و لگن رويت نمی شود.
ضايعه ای در مثانه مشهود نيست.
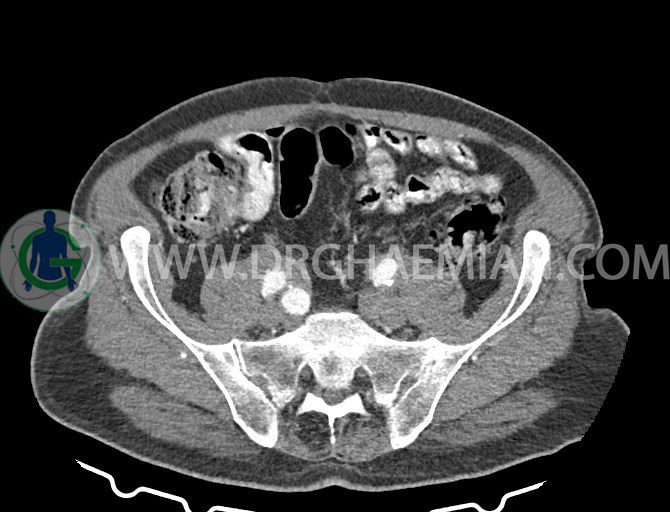
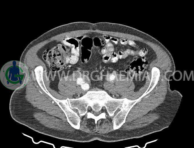
– کيست هاي کورتيکال ساده به قطر 5 mm تا 50 mm در کليه راست و به قطر 5mm تا 55 mm در کليه چپ
– توده ايزودنس به ابعاد mm 17 x 28 در پره ائورت مجاور قسمت تحتاني D3 دئودنوم مطرح کننده لنفادنوپاتي و با احتمال کمتر آنوريسم ترومبوزه (نيازمند مطابقت سونولوژيک)
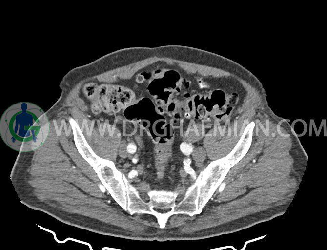
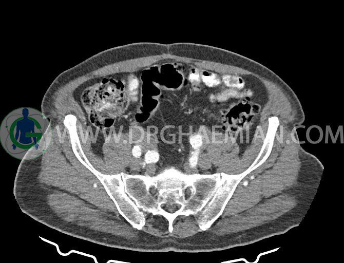
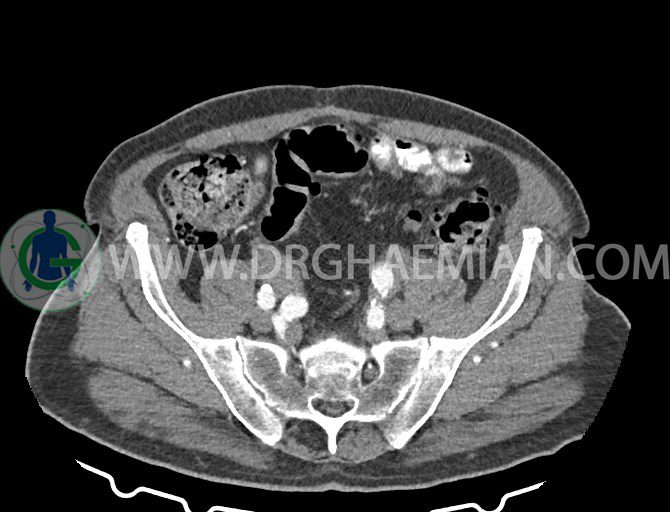
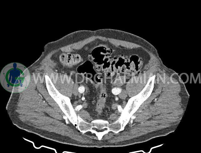
– کلسيفيکاسيون ديواره آئورت و شريان ها ايلياک همراه با نشانه هاي ترومبوز مورال در بيفورکاسيون ائورت با امتداد به پروگزيمال هاي شريان هاي ايلياک
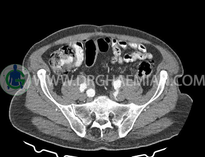
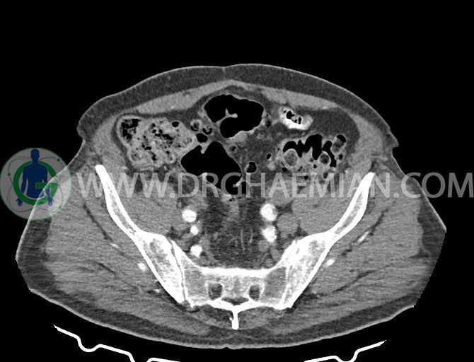
– ديورتيكولوزيس در کولون نزولي وسيگموئيد
لنفادنوپاتي به ابعاد mm 22 x 25 مجاور شريان ايلياک خارجي چپ و به ابعاد mm 17 x 28 مجاور شريان ايلياک خارجي راست
– تغييرات DJD در ناحيه توراکولومبار و
– پروستات به ابعاد mm 45 x 54، بزرگ تر از نرمال
مشهود است.
– مطابقت سونولوژيک و بررسي بافتي لنفادنوپاتي پيشنهاد مي شود . (sono guided CNB)

