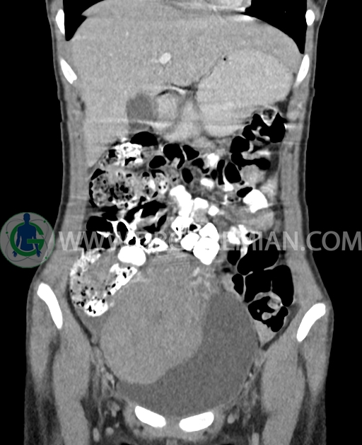
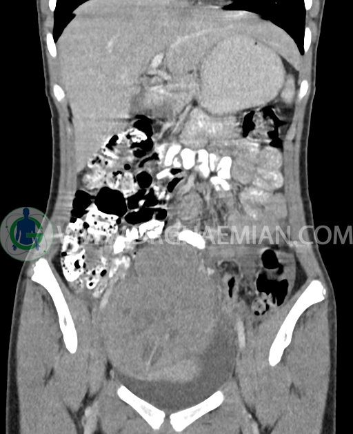
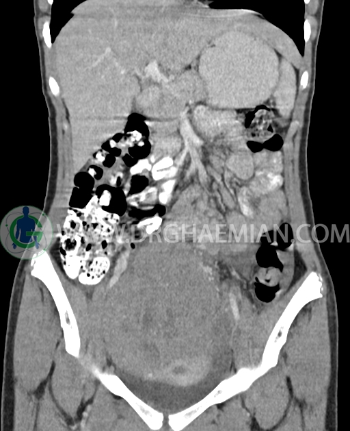
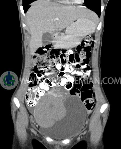
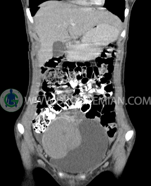
سی تی اسکن شکم و لگن از تشعشعات برای ایجاد تصاویر عرضی مقطعی از نایحه شکم و بین استخوان های لگن استفاده می کند. در این کیس تومور سلول زایا به ابعاد mm 125 x 112 x 80 دیده می شود.
گزارش پزشک
در سی تی اسکن اسپیرال شکم و لگن با کنتراست خوراکی و وریدی (مولتی دیدکتور 16 با مقاطع ظریف و بازسازی های ساژیتال و کرونال) :
ضایعه ای در کبد، کیسه صفرا، مجاری صفراوی، طحال، کلیه ها، پانکراس و آدرنالها مشهود نیست.
لنف آدنوپاتی در اطراف آئورت و IVC دیده نمیشود .
کلیه ها کنتراست را ترشح کرده اند و نمای سیستم پیلوکالیسیل و حالب دو طرف نرمال است .
ضایعه ای در معده ، روده باریک و کولون مشهود نیست .
مایع آزاد در حفره شکم و لگن رویت نمی شود.
ضایعه ای در مثانه مشهود نیست.
توده هیپردنس لوبوله بزرگ به ابعاد 125x112x80mm حاوی نواحی سیستیک داخلی و enhancement قابل توجه پریفرال همراه با آسیت متوسط در فضای شکم و لگن با احتمال بیشتر با منشا از تخمدان راست، درون لگن دیده می شود که در درجه اول مطرح کننده germ cell tumor می باشد .

