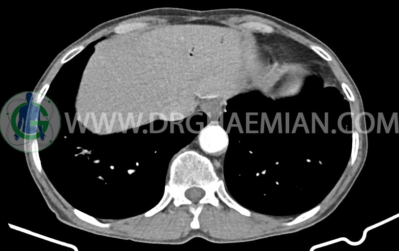
سی تی اسکن ریه با استفاده از اشعه ایکس تصاویر عرضی مقطعی از ریه و بالا تنه ایجاد می کند. در این کیس توده ریه به ابعاد mm 51x33x24، لنف نود های متعدد، افزایش ضحامت ناحیه کاردیا و … دیده می شود.
گزارش پزشک
در سی تی اسکن اسپیرال ریه، مدیاستن و شکم و لگن با کنتراست خوراکی و وریدی (مولتی دیدکتور 16 با مقاطع ظریف و بازسازی های ساژیتال و کرونال) و مقایسه با سی تی اسکن 1401/06/06:
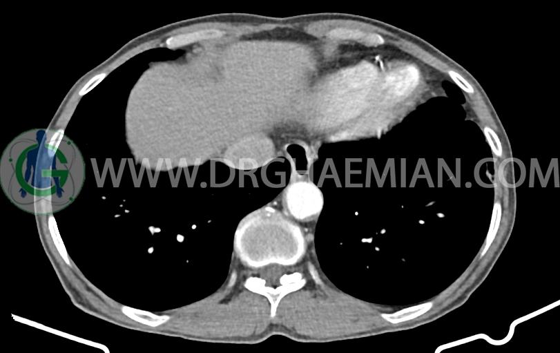
تراشه و برونش های اصلی نرمال اند. پنومونی، پلورال افیوژن، جابجایی محتویات مدیاستن و Collection مشهود نیست.
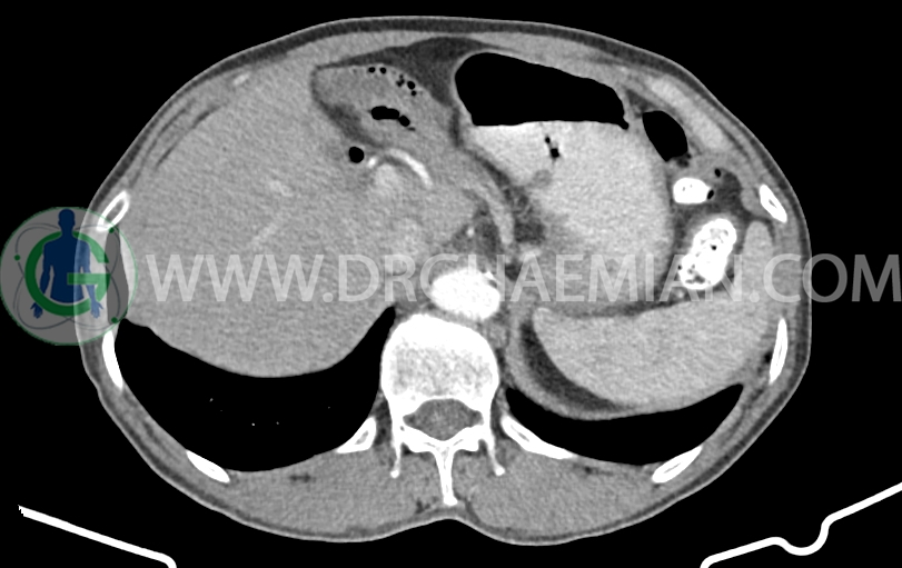
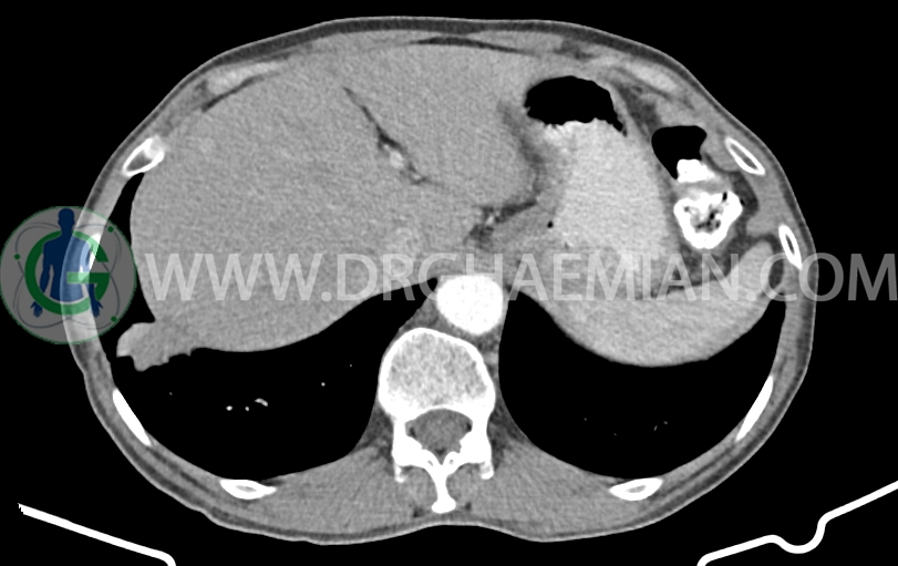
ضایعه ای در مجاری صفراوی، طحال، کلیه ها و آدرنالها مشهود نیست.
کلیه ها کنتراست را ترشح کرده اند و نمای سیستم پیلوکالیسیل و حالب دو طرف نرمال است .
مایع آزاد در حفره شکم و لگن رویت نمی شود.ضایعه ای در مثانه و پروستات مشهود نیست.
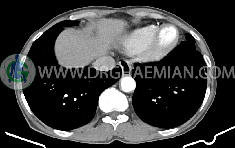
شواهدی استرنوتومی و کاردیومگالی خفیف
ژنیکوماستی خفیف دو طرفه
لنف نودهای مدیاستینال به حداکثر )جدید نسبت به سی تی اسکن 1401/06/06(
ندول های ground glass سنتری لوبولار پراکنده در دو طرفه همراه با تغیرات برونشکتازی سیستیک در LLL
باند فیبروتیک در لتروبازال LLL
مشهود است.
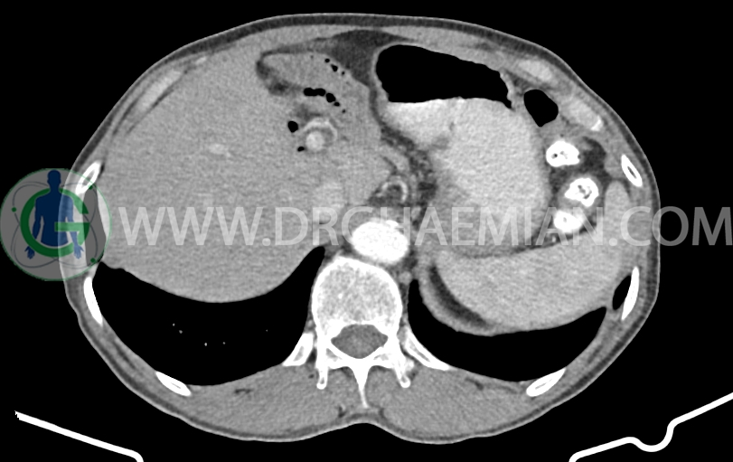
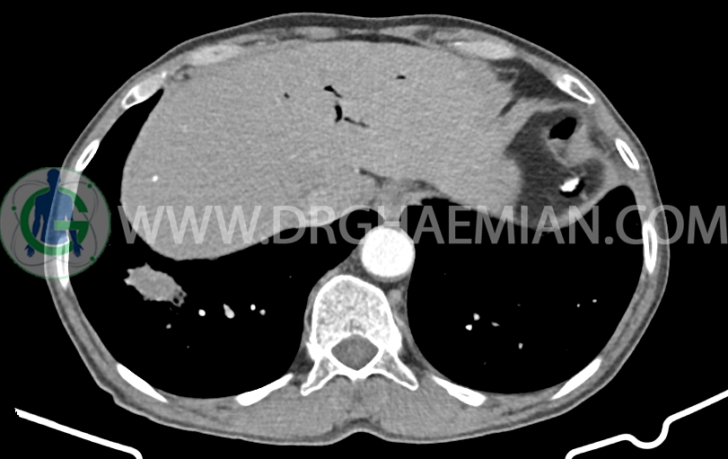
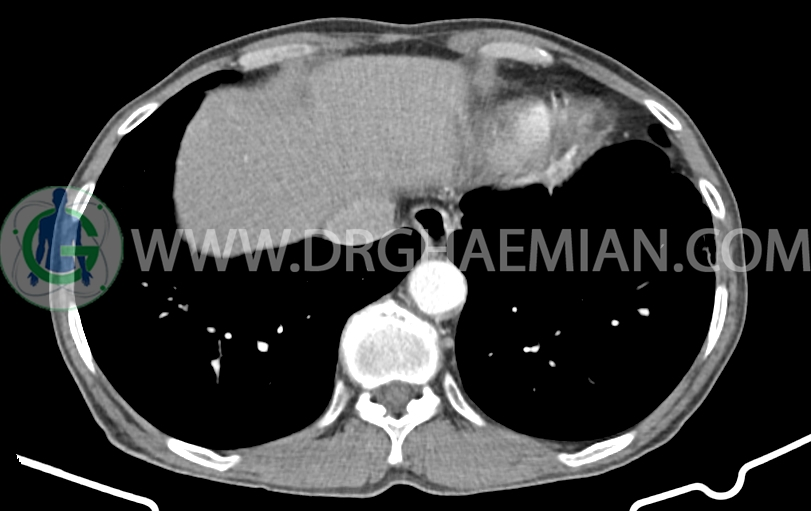
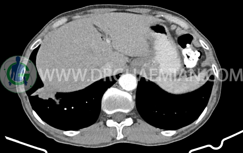
توده با حدود اسپیکوله به ابعاد mm 51x33x24 حاوی چند کانون کلسیفیه کوچک در قاعده ریه راست مجاور دیافراگم مشهود است که مطرح کننده ضایعه نئوپلازیک مثل توده اولیه و متاستاز می باشد. (نیازمند بررسی بافتی – یافته جدید نسبت به سی تی اسکن 1401/06/06 (
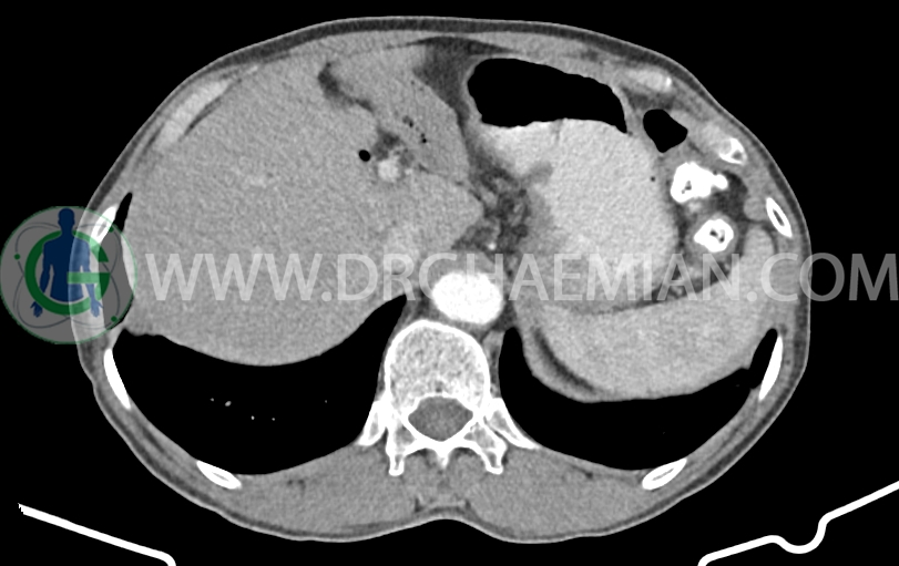
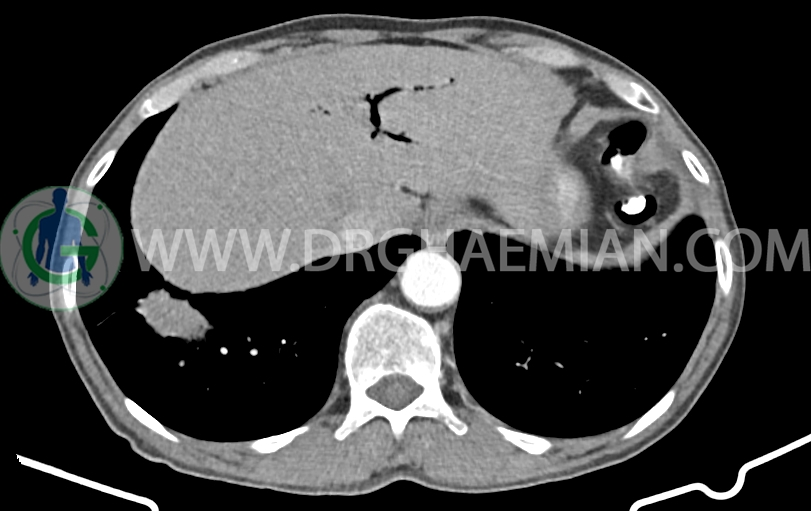
لنف نود به ابعاد mm 14×10 در مجاورت origin SMA دیده می شود. (بدون تغییر نسبت به سی تی اسکن قبلی)
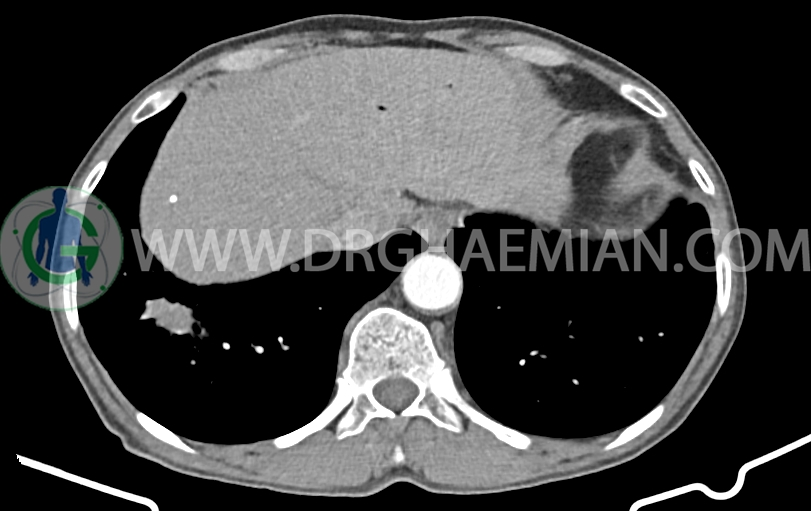
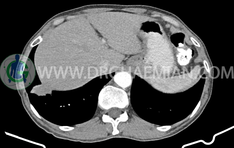
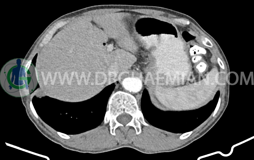
شواهد جراحی ویپل به صورت partial pancratectomy و کوله سیستکتومی و همچنین گاستروژژنوستومی و پانکراتیکوژژنوستومی – هپاتوژژنوستومی مشهود است .
کانون کلسیفیه کوچک فاقد اهمیت بالینی در لوب راست کبد رویت شد
پنوموبینی در لوب چپ کبد مشهود است.
افزایش ضخامت ناحیه کاردیا مشاهده می شود )تطبیق با اندوسکوپی)
MPD دیلاته به قطر 8mm (حاوی استنت می باشد)
body پانکراس کمی کوچک و اتروفیک است






















