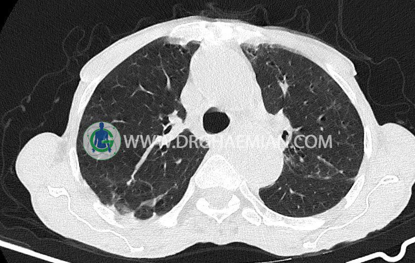
سی تی اسکن ریه یک روش تصویربرداری است که با استفاده از اشعه ایکس تصاویر عرضی مقطعی از ریه و بالا تنه ایجاد می کند. در این کیس برونشيوليت، برونشکتازی سیستیک و سیلندریک، دیلاتاسیون آئورت صعودی و کلسیفیکاسیون دیواره آئورت مشاهده می شود.
گزارش پزشک :
در سی تی اسکن اسپيرال ريه ها و مدياستن بدون کنتراست وريدی (مولتي ديدکتور 16 با مقاطع ظريف و بازسازي کرونال):
تراشه و برونش های اصلی نرمال اند.
پلورال افيوژن، جابجايی محتويات مدياستن، فيبروز ريوی و Collection مشهود نيست.
– برونشکتازي سيستيک و سيلندريک در سگمان خلفي لوب فوقاني چپ
– ندول هاي ساليد ground glass با توزيع پري برونکيال همراه با برونشکتازي سيلندريک در لينگولا و
در لوب مياني راست و ندول هاي ساليد همراه با tree in bud پراکنده در ريه ها مطرح کننده برونشيوليت
و ضايعات التهابي مثل TB
– ديلاتاسيون آئورت صعودي به قطر 43 mm و
– کلسيفيکاسيون ديواره آئورت و عروق کرونر
مشهود است.

























































