در سی تی اسکن اسپیرال کووید ریه، دستگاه با سرعت بالا تصاویر با جزییات از بدن ایجاد می کند. این تصویربرداری ممکن است برای گرفتن تصاویری بهتر از ساختار های داخل قفسه سینه استفاده شود. سی تی اسکن یکی از بهترین روش های برای مشاهده نسج نرم مانند قلب و ریه ها است.
از زمان شیوع ویروس کرونا یا همان کووید-۱۹، سی تی اسکن ریه در کنار سایر تست های کرونا یکی از ابزارهای تشخیص بوده است. سی تی اسکن ریه به راحتی می تواند ندول های بسیار کوچک را نشان دهد بنابراین برای تشخیص سرطان ریه در مراحل اولیه بسیار موثر است.
چگونه کووید 19 بر روی ریه تاثیر می گذارد؟
سی تی اسکن اسپیرال کووید ریه با استفاده از اشعه ایکس تصاویر عرضی مقطعی از ریه و بالا تنه ایجاد می کند. ویروس کووید 19 سلول های راه های تنفسی را تحت تاثیر می گزارد. این ویروس به با وصل شدن به نوعی خاص از گیرنده سلولی به نام ACE-2 به سلول ها حمله می کند. این ویروس از ACE-2 به عنوان درگاهی به داخل سول استفاده کرده و سپس این ویروس قابلیت تکثیر سلول را از آن گرفته و در عوض خود را تکثیر کرده و دیگر سلول ها را مبتلا می کند.
احتمال ابتلا به کووید 19 و ذات الریه در افرادی که از عارضه های ریه رنج میبرند بیشتر است، این عارضه ها شامل موارد زیر می شود:
- سندرم اختلال (distress) تنفسی حاد
- آسم
- بیماری مزمن انسداد ریوی
- فیبروز سیستیک
- فیبروز ریوی
- فشار خون ریوی
برخی از عارضه های مزمن قلبی و خونی، دیابت و چاقی نیز ممکن است بر شدت تاثیر کووید 19 بر روی ریه ها متاثر باشد.
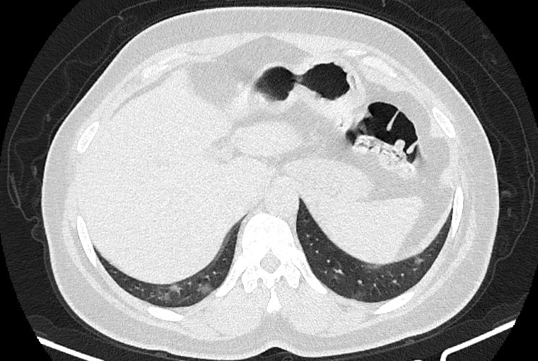
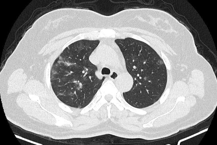
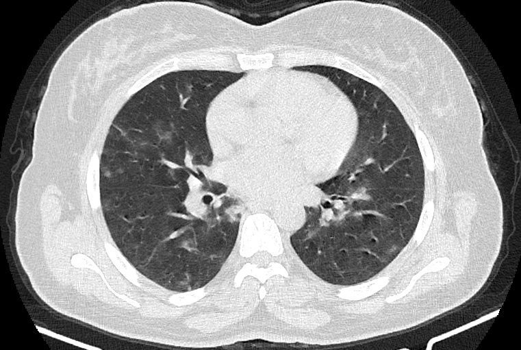
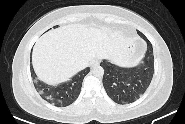
گزارش پزشک:
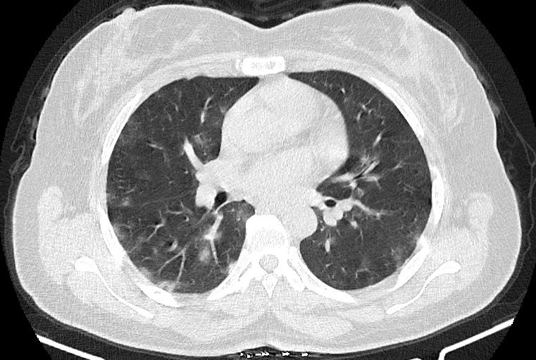
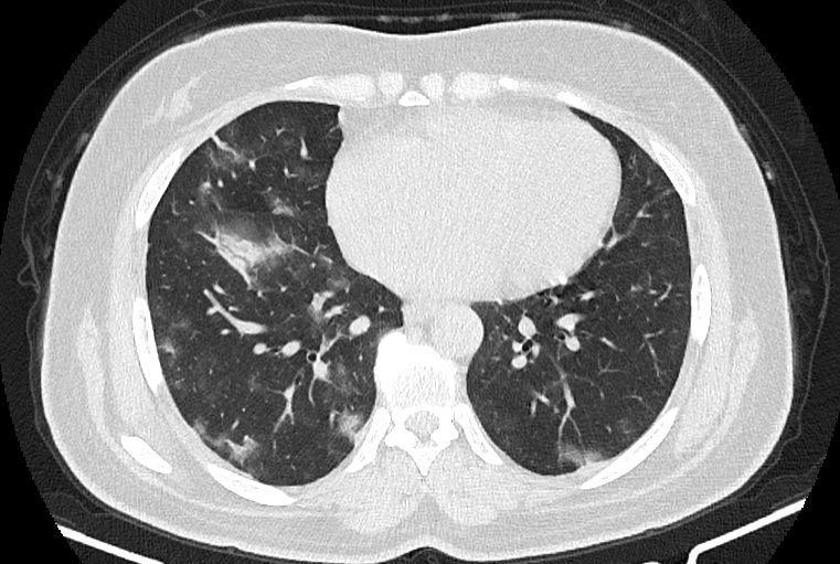
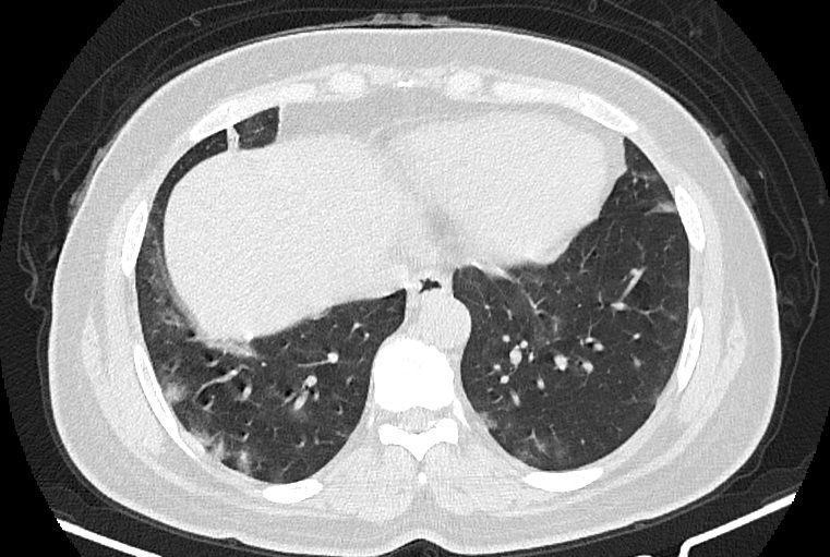
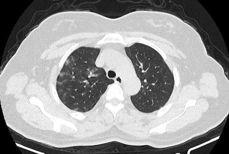
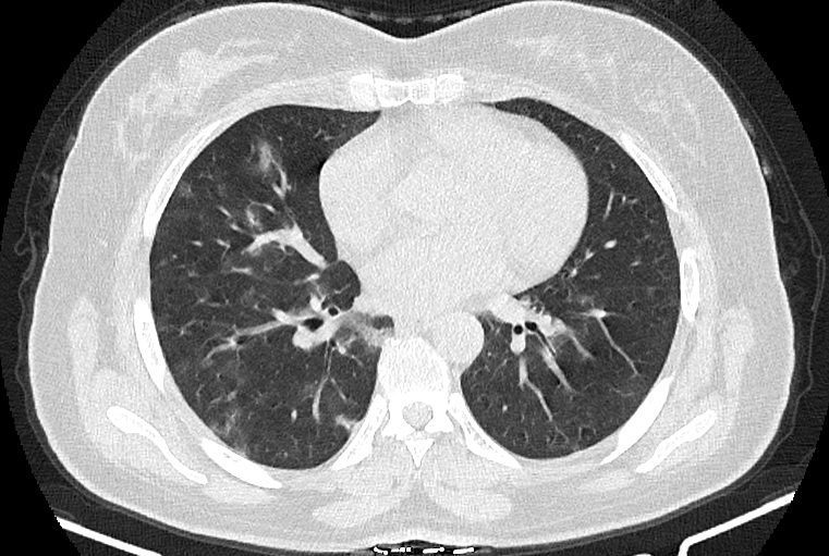
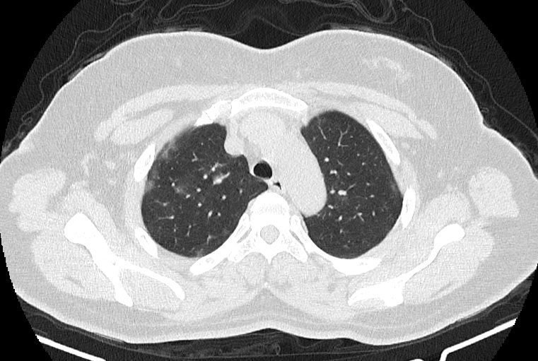
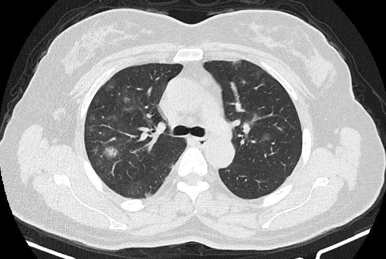
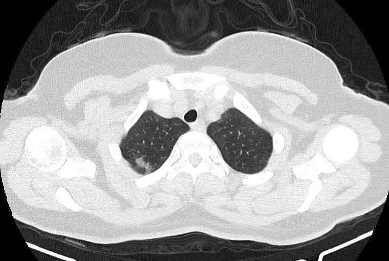
در HRCT از ريه ها(اسپيرال ، مولتي ديتکتور 16، مقاطع اگزيال با ضخامت 1mm بدون فاصله ) ، بدون كنتراست تزريقي :
-Ground glass opacities Patchy پراکنده در ريه ها مشهود است که مطرح کننده Viral pneumonia مي باشد . ( با درگيري 20 درصد حجم ريه )
-کلسیفیکاسیون دیواره آئورت و عروق کرونر ، تغییرات DJD در ستون فقرات ونشانه های CABG مشهود است .
نتیجه : Highly suggestive of COVID-19
















