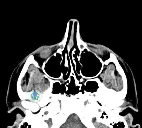
سی تی اسکن سینوس ها یک روش تصویربرداری است که با استفاده از تشعات ایکس تصاویری با جزییات از ناحیه خالی داخل صورت (سینوس ها) ایجاد میکند. در این کیس استئوم فرعی سینوس در دیواره سینوس ماگزیلاری، انحراف سپتوم و کونکا بولوزا مشاهده می شود.
گزارش پزشک :
در HRCT اسپيرال از سينوس هاي پارانازال مقاطع کرونال و آگزيال ( 16 اسلايس و مقاطع ظريف 1.5 mm بدون فاصله ، با پنجره استخواني و نسج نرم ) :
ضايعه ای در سينوسهای فرونتال، اسفنوئيد، ماگزيلاری و اتموئيد مشهود نيست.
شواهدی از توده، سطح گاز – مايع، کدورت سينوسها، افزايش ضخامت مخاط ديواره سينوسها، اروژن ديواره سينوسها و دنسيتی غير طبيعی ديده نمی شود.
– انحراف سپتوم مياني بينی به راست
– کونکا بولوزا در کونکای ميانی چپ و
– اوستيوم فرعي در ديواره مديال سينوس ماگزيلاري راست
مشهود است .
برچسب های مرتبط :














































