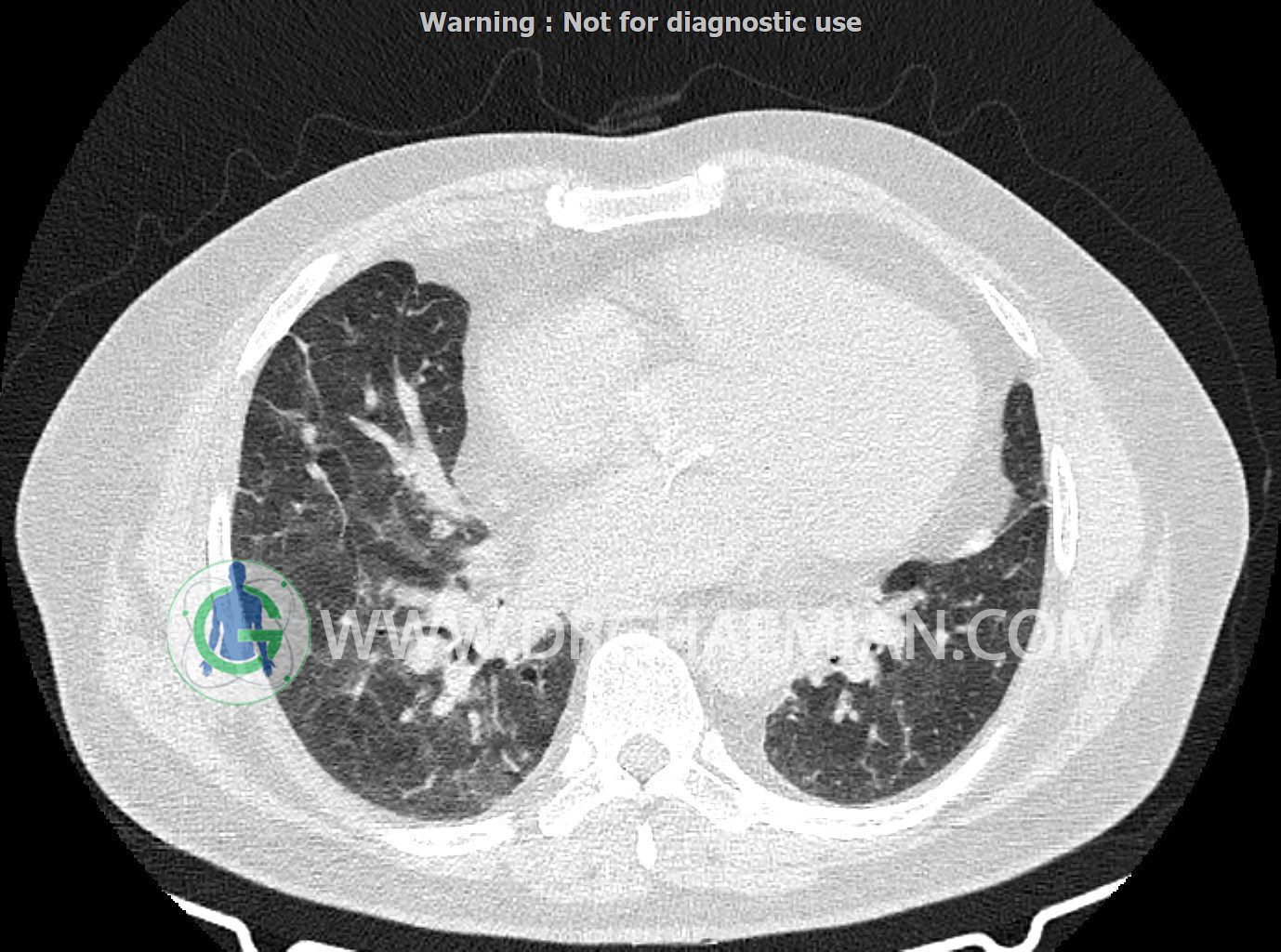
سی تی اسکن ریه یک روش تصویربرداری است که با استفاده از تشعشعات تصاویر عرضی مقطعی از ریه و بالا تنه ایجاد می کند. در این کیس کاردیومگالی،باندهای آتلکتازی و فیبروتیک پراکنده،کدورت های گراند گلاس،زمینه ی ادم قلبی (مراحل اولیه)،مشهده میشود.
گزارش پزشک :
در سی تی اسکن اسپیرال ریه ها و مدیاستن بدون کنتراست وریدی (مولتی دیدکتور 16 با مقاطع ظریف و بازسازی کرونال):
تراشه و برونش های اصلی نرمال اند.
پلورال افیوژن، جابجایی محتویات مدیاستن، کلسیفیکاسیون، کیست، فیبروز ریوی و Collection مشهود نیست.
حجم ریه ها، طرح برونکو واسکولر ریه ها، فیشر های دو طرف طبیعی است.
کاردیومگالی
باندهای آتلکتازی و فیبروتیک پراکنده در دو طرف
smooth septal thickening در لوب فوقانی ریه ها
peribronchial wall-thickening و عروق prominant در هیلوم دو طرف و کدورت های گراند گلاس دو طرفه
مشهود است.
شواهد فوق در درجه اول می تواند در زمینه ی ادم قلبی (مراحل اولیه) باشد.
مطابقت با شرح حال و بالین بیمار توصیه می شود.
در این مرکز سی تی اسکن ریه با کمک از نرم افزار lung CAD برای افزایش دقت detection ندول های ریوی تفسیر می شود.









