سی تی اسکن ریه یک روش تصویربرداری است که با استفاده از اشعه ایکس تصاویر عرضی مقطعی از ریه و بالا تنه ایجاد می کند. در این کیس آمفزیم پاراسپتال هر دو سمت، آمفزیم سنتری هر دو سمت، ندول پری فیشرال، لنف نود در مدیاستن، همانژیوم کبدی، سنگ کلیه چپ، کیست کورتیکال ، هرنی انسیزیونال، هرنی اینگوئیال دیده می شود.
گزارش پزشک
در سی تی اسکن اسپیرال ریه و مدیاستن- شکم و لگن با و بدون کنتراست خوراکی و وریدی (مولتی دیدکتور 16 با مقاطع ظریف و بازسازی های ساژیتال و کرونال) :
تراشه و برونش های اصلی نرمال اند.
توده ریوی، پلورال افیوژن، جابجایی محتویات مدیاستن، کلسیفیکاسیون، کیست، فیبروز ریوی و Collection مشهود نیست.
ضایعه ای در کیسه صفرا، مجاری صفراوی، طحال، پانکراس و آدرنالها مشهود نیست.
لنف آدنوپاتی در اطراف آئورت و IVC دیده نمیشود.
کلیه ها کنتراست را ترشح کرده اند و نمای سیستم پیلوکالیسیل و حالب کلیه راست نرمال است .
ضایعه ای در معده، روده باریک مشهود نیست .
مایع آزاد در حفره شکم و لگن رویت نمی شود.
ضایعه ای در مثانه و پروستات مشهود نیست.
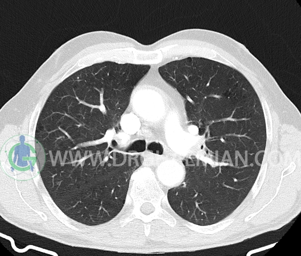
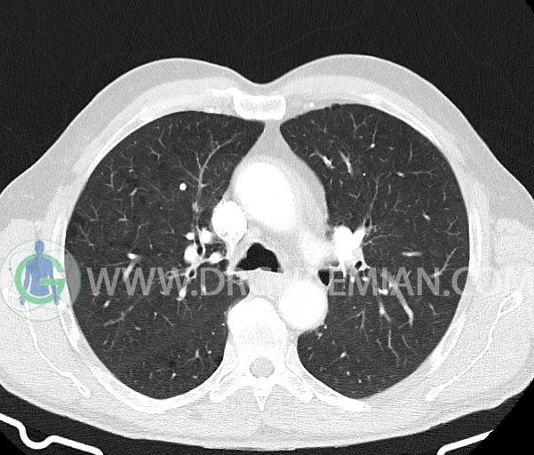
– آمفیزم سنتری لوبولار در لوب فوقانی هر دو سمت با ارجحیت در سمت راست
–آمفیزم پاراسپتال در هر دو ریه
–ندول Solid با حدود صاف به سایز 6x5mm (متوسط 6mm) در سگمان پوستریور بازال لوب تحتانی راست (تطبیق با مدارک قبلی )
– ندول پری فیشرال به سایز 6mm در فیشر مینور راست (بدون اهمیت بالینی )
–چند لنف نود در مدیاستن میانی و قدامی به حداکثر SAD=8mm در پره کارینا (بدون اهمیت بالینی)
–دو لنف نود در هیلوم ریه راست به حداکثر SAD=8mm
–توده هایپودنس به سایز 10x7mm در ساب کپسولار سگمان 8کبد با Enhancement هوموژن با نمای Blood pool match مطرح کننده همانژیوم کبدی
–سنگ به سایز 3mm در کالیس میانی کلیه چپ
– کیست کورتیکال در هر دو کلیه به حداکثر سایز 19mm در سمت چپ و 7mm در سمت راست (Bosniack 1)
–اسکار جراحی در خط وسط جدار شکم
–شواهد همی کولکتومی راست همراه با آناستوموز کولون عرضی بدون شواهد عود لوکال
–دیفکت به سایز تقریبی 26mm در اپیگاستر همراه با ساک هرنی حاوی چربی مطرح کننده هرنی انسیزیونال
–دیفکت دیگر در مجاورت راست هرنی فوق به سایز 17mm همراه با ورود لوپ روده به درون ساک هرنی
–هرنی اینگوئینال غیرمستقیم در سمت چپ حاوی چربی
-bridging osteophytes در قسمت قدامی مهره های توراسیک
مشهود است






















