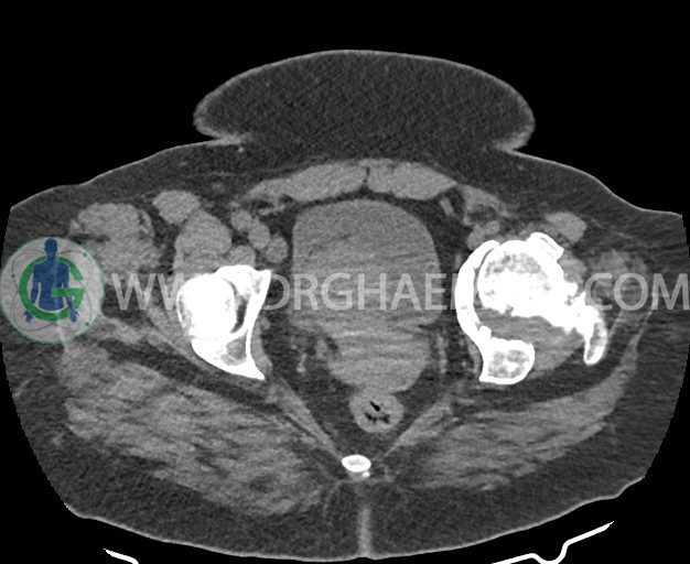
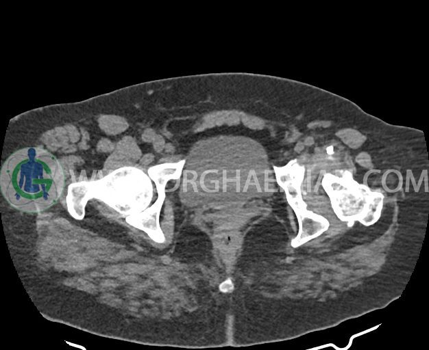
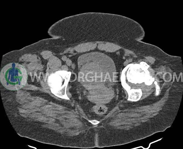
سی تی اسکن شکم و لگن با استفاده از اشعات ایکس تصاویر عرضی از ناحیه شکم و لگن ایجاد میکند. در این کیس استئوآرتریت لگن چپ، چندین سنگ در کلیه راست و اسپوندیلولیز مهره L5 دیده می شود.
گزارش پزشک
در سی تی اسکن اسپیرال شکم و لگن بدون کنتراست (مولتی دیدکتور 16 با مقاطع ظریف و بازسازی های ساژیتال و کرونال) :
ضایعهای در کبد، کیسه صفرا، مجاری صفراوی، طحال، پانکراس و آدرنالها مشهود نیست.
لنف آدنوپاتی در اطراف آئورت و IVC دیده نمیشود.
مایع آزاد در حفره شکم و لگن رویت نمی شود.
توده، کیست و collection مشهود نیست.
ضایعه ای در مثانه و حفره لگن مشهود نیست.
-Stag horn همراه با سنگ های ریز متعدد و فراوان کنارهم در سیستم پیلوکالیسیل کلیه راست با گسترش به UPJ رویت می شود که در ادمه آن حالب غیرمتسع و بدون شواهد وجود سنگ رویت شد.
شواهد استئوآرتریت ثانویه به صورت remodeling اسکلروز و کیست های ساب کندرال و کاهش فاصله مفصلی در کمپارتمان لترال hip چپ همراه با دفورمیتی استابولوم و خصوصا سر فمور و flattening آن دیده می شود.
-Spondylolysis در pars interarticularis سمت راست مهره L5 همراه با aterosclerosis grade 1 مهره مذکور و تغییرات دژنراتیو در L5/S1مشهود است.





















